Infantile neuronal ceroid lipofuscinosis

Infantile neuronal ceroid lipofuscinosis
Other names: Santavuori disease, Hagberg-Santavuori disease, Santavuori-Haltia disease, Infantile Finnish type neuronal ceroid lipofuscinosis, Balkan disease
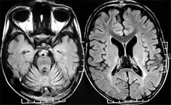
MRI of cranium revealed cerebellar atrophy out of proportion to the cerebral atrophy
SpecialtyEndocrinology

Infantile neuronal ceroid lipofuscinoses (INCL) or Santavuori disease[1] or Hagberg-Santavuori disease[2] or Santavuori-Haltia disease[2] or Infantile Finnish type neuronal ceroid lipofuscinosis[3] or Balkan disease[3] is a form of NCL and inherited as a recessive autosomal genetic trait. The disorder is progressive, degenerative and fatal, extremely rare worldwide – with approximately 60 official cases reported by 1982,[4] perhaps 100 with the condition in total today – but relatively common in Finland due to the local founder effect.

Signs and symptoms

The development of children born with INCL is normal for the first 8–18 months, but will then flounder and start to regress both physically and mentally. Motor skills and speech are lost, and optic atrophy causes blindness. A variety of neurological symptoms, such as epilepsy and myoclonic seizures, appear. The senses of hearing and touch remain unaffected. The average lifespan of an INCL child is 9–11 years.

Causes

It has been associated with palmitoyl-protein thioesterase.[5]

Diagnosis

In terms of the evaluation of this disease we find that the following is done:[6]

Treatment

Treatment is limited. Drugs can alleviate the symptoms, such as sleep difficulties and epilepsy. Physiotherapy helps affected children retain the ability to remain upright for as long as possible, and prevents some of the pain.

Recent attempts to treat INCL with cystagon have been unsuccessful.

See also

  • FAIDD

References

  1. Santavuori P, Haltia M, Rapola J (October 1974). "Infantile type of so-called neuronal ceroid-lipofuscinosis". Dev Med Child Neurol. 16 (5): 644–53. doi:10.1111/j.1469-8749.1974.tb04183.x. PMID 4371326. S2CID 23169241.
  2. 2.0 2.1 "ORPHA:79263". Archived from the original on 2017-07-29. Retrieved 2022-07-29.
  3. 3.0 3.1 "Classic Infantile CLN1 Disease". Archived from the original on 2022-05-13. Retrieved 2022-07-29.
  4. Baumann RJ, Markesbery WR (November 1982). "Santavuori disease: diagnosis by leukocyte ultrastructure". Neurology. 32 (11): 1277–81. doi:10.1212/wnl.32.11.1277. PMID 6890163. S2CID 30186235.
  5. Voznyi YV, Keulemans JL, Mancini GM, et al. (June 1999). "A new simple enzyme assay for pre- and postnatal diagnosis of infantile neuronal ceroid lipofuscinosis (INCL) and its variants". J. Med. Genet. 36 (6): 471–4. doi:10.1136/jmg.36.6.471. PMC 1734393. PMID 10874636.
  6. "Classic Infantile CLN1 Disease - Symptoms, Causes, Treatment | NORD". rarediseases.org. Archived from the original on 4 June 2023. Retrieved 3 August 2023.

External links

Classification