Rickettsia japonica
| Rickettsia japonica | |
|---|---|
| |
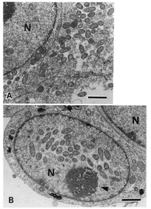
| a) Rickettsiae in cytoplasm of heavily infected Vero C1008 cells. b) Rickettsiae in a nucleus | |
| Scientific classification | |
| Domain: | Bacteria |
| Kingdom: | Pseudomonadati |
| Phylum: | Pseudomonadota |
| Class: | Alphaproteobacteria |
| Subclass: | "Rickettsidae" |
| Order: | Rickettsiales |
| Family: | Rickettsiaceae |
| Genus: | Rickettsia |
| Species group: | Spotted fever group |
| Species: | R. japonica
|
| Binomial name | |
| Rickettsia japonica Uchida et al., 1992
| |
Rickettsia japonica is a species of Rickettsia.[1][2][3] It can cause Japanese spotted fever.[4]
References
- ↑ Hanaoka N, Matsutani M, Kawabata H, et al. (December 2009). "Diagnostic assay for Rickettsia japonica". Emerging Infect. Dis. 15 (12): 1994–7. doi:10.3201/eid1512.090252. PMC 3044520. PMID 19961684. Archived from the original on 2010-05-07. Retrieved 2021-12-04. Archived 2010-05-07 at the Wayback Machine
- ↑ Uchida T, Uchiyama T, Kumano K, Walker DH (April 1992). "Rickettsia japonica sp. nov., the etiological agent of spotted fever group rickettsiosis in Japan". Int. J. Syst. Bacteriol. 42 (2): 303–5. doi:10.1099/00207713-42-2-303. PMID 1581190.
{{cite journal}}: CS1 maint: url-status (link) - ↑ Dong X, El Karkouri K, Robert C, Raoult D, Fournier PE (December 2012). "Genomic analysis of Rickettsia japonica strain YHT". J. Bacteriol. 194 (24): 6992. doi:10.1128/JB.01928-12. PMC 3510609. PMID 23209240.
- ↑ Inc, GIDEON Informatics; Berger, Dr Stephen (2017). Infectious Diseases of Japan: 2017 edition. GIDEON Informatics Inc. p. 237. ISBN 9781498813846. Retrieved 11 November 2017.
{{cite book}}:|last1=has generic name (help)
