Refractory anemia with excess of blasts
| Refractory anemia with excess of blasts | |
|---|---|
![]() | |
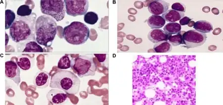
| a-c) Aspirate bone marrow d) biopsy | |
Refractory anemia with excess of blasts (RAEB) is a type of myelodysplastic syndrome[1] with a marrow blast percentage of 5% to 19%.[2]
In MeSH, "Smoldering leukemia" is classified under RAEB.[3]
References
- ↑ Palmieri S, D'Arco AM, Celentano M, et al. (July 2006). "An antecedent diagnosis of refractory anemia with excess blasts has no prognostic relevance in acute myeloid leukemia of older adult patients". Ann. Oncol. 17 (7): 1146–51. doi:10.1093/annonc/mdl083. PMID 16687417.
- ↑ Estey E, Thall P, Beran M, Kantarjian H, Pierce S, Keating M (October 1997). "Effect of diagnosis (refractory anemia with excess blasts, refractory anemia with excess blasts in transformation, or acute myeloid leukemia [AML]) on outcome of AML-type chemotherapy". Blood. 90 (8): 2969–77. doi:10.1182/blood.V90.8.2969. PMID 9376577. Archived from the original on 2022-12-12. Retrieved 2021-11-20. Archived 2022-12-12 at the Wayback Machine
- ↑ Leukemia,+Smoldering at the US National Library of Medicine Medical Subject Headings (MeSH)
External links
- Smoldering leukemia Archived 2012-10-27 at the Wayback Machine entry in the public domain NCI Dictionary of Cancer Terms
| Classification |
|---|
This article incorporates public domain material from the U.S. National Cancer Institute document: "Dictionary of Cancer Terms".
Template:Oncology-stub
