Psittacosis
| Psittacosis | |
|---|---|
| Other names: Chlamydophila psittaci infection[1] | |
![]() ![]() | |
| Specialty | Infectious medicine Pulmonology |
| Symptoms | Fevers, chills, headaches, and cough[4] |
| Complications | Endocarditis, myocarditis, DIC, meningoencephalitis, hepatitis[4] |
| Causes | Chlamydia psittaci[4] |
| Diagnostic method | Chest x-ray, serological test[4] |
| Differential diagnosis | Q fever,Typhoid fever,Brucellosis, fungal pneumonia[4] |
| Treatment | Doxycycline[4] |
| Frequency | >100 cases U.S. [5][6] |
Psittacosis—also known as parrot fever, and ornithosis—is a zoonotic infectious disease in humans caused by a bacterium called Chlamydia psittaci and contracted from infected parrots, such as macaws, cockatiels, and budgerigars, and from pigeons, sparrows, ducks, hens, gulls and many other species of birds.[4][7]
In certain contexts, the word is used when the disease is carried by any species of birds belonging to the family Psittacidae, whereas ornithosis is used when other birds carry the disease.[8]
In humans doxycycline may be used for treatment[4]
Signs and symptoms

In humans, after an incubation period of 1 to 2 weeks, the disease course ranges from asymptomatic to systemic illness with severe pneumonia. It presents chiefly as an atypical pneumonia. In the first week of psittacosis, the symptoms mimic typhoid fever, causing high fevers, joint pain, diarrhea, conjunctivitis, nose bleeds, and low level of white blood cells.Rose spots called Horder's spots sometimes appear during this stage. Spleen enlargement is common towards the end of the first week, after which Psittacosis may develop into a serious lung infection. Headache can be so severe that it suggests meningitis and some nuchal rigidity is not unusual. Towards the end of the first week, stupor or even coma can result in severe cases.[9] [4][10]
The following week is more akin to acute bacteremic pneumococcal pneumonia with continuous high fevers, headaches, cough, and dyspnea. X-rays at that stage show patchy infiltrates or a diffuse whiteout of lung fields.[11][4]
Cause

C. psittaci is an intracellular pathogen and has thus undergone significant genome reduction. Most C. psittaci genomes encode between 1,000 and 1,400 proteins.[12]
A total of 911 core genes were found to be present in all 20 strains sequenced by Read et al., corresponding to 90% of the genes present in each genome.[12]
The Chlamydia psittaci bacterium that causes psittacosis can be transmitted by mouth-to-beak contact, or through the airborne inhalation of feather dust, dried faeces, or the respiratory secretions of infected birds.[13]
Person-to-person transmission is possible, but rare.[13]
Risk factors
Among those who are at greater risk of contracting Psittacosis are individuals who tend to be in more contact with birds such as:
- Bird owners(and pet shop employees)
- Poultry workers
Mechanism
In terms of the pathophysiology we find that once C. psittaci infection happens, it does so in the alveolar epithelial cells. This in turn causes influx of neutrophils, which is thought to be due to release of chemokines. An eventual inflammatory cascade promotes from the bloodstream accumulation of phagocytes and immune cells to the infection. Finally, this process causes tissue damage and disruption of alveolar-capillary membrane[4][11]
Diagnosis
Blood analysis usually shows a normal white cell count, but marked leukocytosis is occasionally apparent. Liver enzymes are abnormal in half of the patients, with mild elevation of aspartate transaminase. The erythrocyte sedimentation rate and C-reactive protein can be markedly elevated. Exposure history is paramount to diagnosis.Diagnosis involves microbiological cultures from respiratory secretions of patients or serologically with a fourfold or greater increase in antibody titers against C. psittaci in blood samples combined with the probable course of the disease. Culture of C. psittaci is hazardous and should only be carried out in biosafety laboratories.[14][10][4]
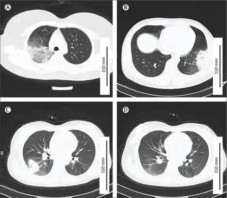
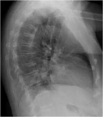
-
a-d)CTs of individual with Chlamydia psittaci infection -
Chest X-ray shows patchy retrocardial infiltrate.
Differential diagnosis

As to the DDx we find the following should be considered:[4]
- Legionella pneumonia
- Tularemia
- Influenza
- Q fever
- Typhoid fever
- Bacterial pneumonia
- Viral pneumonia
Treatment

The infection is treated with antibiotics; tetracyclines and chloramphenicol are the choice for treating patients. Most people respond to oral therapy doxycycline, tetracycline hydrochloride, or chloramphenicol palmitate. For initial treatment of severely ill patients, doxycycline hyclate may be administered intravenously. Relapse can occur, and treatment must continue for at least 10–14 days after fever subsides.[15][4][16]
Prognosis
In terms of prognosis currently the mortality rate is less than 1 percent. However, prior to the availability of antimicrobial agents mortality was as high as 20 percent.[4]
Epidemiology

Psittacosis was first reported in Europe in 1879.[17]
In 1929, a highly publicized outbreak of psittacosis hit the United States. Although not the first report of psittacosis in the United States, it was the largest up to that time. It led to greater controls on the import of pet parrots.[17]
The aftermath of the outbreak and how it was handled led to the establishment of the National Institutes of Health.[18]
From 2002 through 2009, 66 human cases of psittacosis were reported to the Centers for Disease Control and Prevention,and most resulted from exposure to infected pet birds, usually cockatiels, parakeets, and macaws. Many more cases may occur that are not correctly diagnosed or reported. Bird owners, pet shop employees, zookeepers, and veterinarians are at risk of the infection. Some outbreaks of psittacosis in poultry-processing plants have been reported[6][5]
Society and culture
Psittacosis was one of more than a dozen agents that the United States researched as potential biological weapons before the nation suspended its biological weapons program.[19]
History

As to history we find that Psittacosis was first described by French bacteriologist Morange in 1892. [7]
Dr. Charles Armstrong was a epidemiologist and virologist who made many contributions to public health, including his work on psittacosis.In the 1920s, Dr. Armstrong played a important role in investigating and controlling a major outbreak of psittacosis in the U.S., which helped to identify the disease and create measures to prevent its spread[20][21]
Other animals
In birds, Chlamydia psittaci infection is referred to as avian chlamydiosis. Infected birds shed the bacteria through feces and nasal discharges, which can remain infectious for several months. Many strains remain quiescent in birds until activated under stress. Birds are excellent, highly mobile vectors for the distribution of chlamydial infection because they feed on, and have access to, the detritus of infected animals of all sorts.C. psittaci in birds is often systemic and infections can be inapparent, severe, acute, or chronic with intermittent shedding. Signs in birds include "inflamed eyes, difficulty in breathing, watery droppings, and green urates."[22]Initial diagnosis may be by symptoms, but is usually confirmed by an antigen and antibody test. A polymerase chain reaction-based test is also available. Although any of these tests can confirm psittacosis, false negatives are possible, so a combination of clinical and laboratory tests is recommended before giving the bird a clean bill of health.[22] Infection is usually by the droppings of another infected bird, though it can also be transmitted by feathers and eggs,[23] and is typically either inhaled or ingested.[22]Treatment is usually with antibiotics, such as doxycycline or tetracycline, and can be administered through drops in the water or injections.[23]
C. psittaci strains in birds infect mucosal epithelial cells and macrophages of the respiratory tract. Septicaemia eventually develops and the bacteria become localized in epithelial cells and macrophages of most organs, conjunctiva, and gastrointestinal tract. It can also be passed in the eggs. Stress commonly triggers onset of severe symptoms, resulting in rapid deterioration and death. C. psittaci strains are similar in virulence, grow readily in cell culture, have 16S-rRNA genes that differ by <0.8%, and belong to eight known serovars. All should be considered to be readily transmissible to humans.[24]
C. psittaci serovar A is endemic among psittacine birds and has caused sporadic zoonotic disease in humans, other mammals, and tortoises. Serovar B is endemic among pigeons, has been isolated from turkeys, and has also been identified as the cause of abortion in a dairy herd. Serovars C and D are occupational hazards for slaughterhouse workers and for people in contact with birds. Serovar E isolates have been obtained from a variety of avian hosts worldwide.[25][26]
References
- The initial content for this article was adapted from sources available at https://www.cdc.gov.
- ↑ "Chlamydophila psittaci Infection (Concept Id: C0276108) - MedGen - NCBI". www.ncbi.nlm.nih.gov. Retrieved 23 January 2025.
- ↑ 2.0 2.1 Wang, Jiewen; Wang, Buwei; Xiao, Jian; Chen, Yuqing; Wang, Chuan (31 December 2024). "Chlamydia psittaci: A zoonotic pathogen causing avian chlamydiosis and psittacosisissn=2150-5594". Virulence. 15 (1). doi:10.1080/21505594.2024.2428411. PMC 11622591. PMID 39541409.
- ↑ Nieuwenhuizen, Annelies A.; Dijkstra, Frederika; Notermans, Daan W.; van der Hoek, Wim (30 August 2018). "Laboratory methods for case finding in human psittacosis outbreaks: a systematic review". BMC Infectious Diseases. 18 (1): 442. doi:10.1186/s12879-018-3317-0. ISSN 1471-2334. PMID 30165831.
- ↑ 4.00 4.01 4.02 4.03 4.04 4.05 4.06 4.07 4.08 4.09 4.10 4.11 4.12 4.13 4.14 Chu, Justin; Yarrarapu, Siva Naga S.; Vaqar, Sarosh; Durrani, Muhammad I. (2025). "Psittacosis". StatPearls. StatPearls Publishing. Archived from the original on 2025-02-07. Retrieved 2025-01-22.
- ↑ 5.0 5.1 "Psittacosis Surveillance and Trends". Psittacosis. 23 January 2025. Archived from the original on 4 February 2025. Retrieved 4 February 2025.
- ↑ 6.0 6.1 "Compendium of Measures To Control Chlamydophila psittaci Infection Among Humans (Psittacosis) and Pet Birds (Avian Chlamydiosis), 2010" (PDF). West virginia.gov. Archived (PDF) from the original on 26 May 2022. Retrieved 28 January 2025. Archived 26 May 2022 at the Wayback Machine
- ↑ 7.0 7.1 "Psittacosis (Parrot Fever): Background, Pathophysiology, Epidemiology". eMedicine. 24 September 2024. Archived from the original on 16 December 2023. Retrieved 20 January 2025. Archived 16 December 2023 at the Wayback Machine
- ↑ "ornithosis" at Dorland's Medical Dictionary
- ↑ Dugdale, David. "Psittacosis". MediLine Plus. Archived from the original on 5 July 2016. Retrieved 9 September 2012. Archived 5 July 2016 at the Wayback Machine
- ↑ 10.0 10.1 "Psittacosis: MedlinePlus Medical Encyclopedia". medlineplus.gov. Archived from the original on 5 July 2016. Retrieved 2 February 2025. Archived 5 July 2016 at the Wayback Machine
- ↑ 11.0 11.1 Ojeda Rodriguez, Jafet A.; Modi, Pranav; Brady, Mark F. (2025). "Psittacosis Pneumonia". StatPearls. StatPearls Publishing. Archived from the original on 2024-05-07. Retrieved 2025-01-30. Archived 2024-05-07 at the Wayback Machine
- ↑ 12.0 12.1 Read TD, Joseph SJ, Didelot X, Liang B, Patel L, Dean D (March 2013). "Comparative analysis of Chlamydia psittaci genomes reveals the recent emergence of a pathogenic lineage with a broad host range". mBio. 4 (2): e00604–12. doi:10.1128/mBio.00604-12. PMC 3622922. PMID 23532978.
- ↑ 13.0 13.1 Australian Guidelines for the Prevention and Control of Infection in Healthcare (PDF). National Health and Medical Research Council. May 2019. p. 274. ISBN 978-1-86496-028-0. Archived from the original (PDF) on 14 May 2020. Retrieved 23 January 2020. Archived 14 May 2020 at the Wayback Machine
- ↑ Saif, Y. M. (2003). Diseases of poultry. Ames, Iowa: Iowa State Press. p. 863. ISBN 0-8138-0423-X.
- ↑ Gregory DW, Schaffner W (1997). "Psittacosis". Semin Respir Infect. 12 (1): 7–11. PMID 9097370.
- ↑ Stewardson, Andrew J.; Grayson, M. Lindsay (March 2010). "Psittacosis". Infectious Disease Clinics of North America. 24 (1): 7–25. doi:10.1016/j.idc.2009.10.003. ISSN 1557-9824. PMID 20171542. Archived from the original on 2024-05-06. Retrieved 2025-01-29. Archived 2024-05-06 at the Wayback Machine
- ↑ 17.0 17.1 Potter ME, Kaufmann AK, Plikaytis BD (February 1983). "Psittacosis in the United States, 1979". MMWR Morb. Mortal. Wkly. Rep. 32 (1): 27SS – 31SS. PMID 6621602. Archived from the original on 2019-04-06. Retrieved 2023-04-29. Archived 2019-04-06 at the Wayback Machine
- ↑ "In 1929, Parrot Fever Gripped The Country". National Public Radio All Things Considered. May 31, 2009. Archived from the original on September 21, 2019. Retrieved April 29, 2023. Archived September 21, 2019, at the Wayback Machine
- ↑ "Chemical and Biological Weapons: Possession and Programs Past and Present", James Martin Center for Nonproliferation Studies, Middlebury College, April 9, 2002, accessed November 14, 2008.
- ↑ Armstrong, Charles (1930). Psittacosis: Epidemiological Considerations with Reference to the 1929-30 Outbreak in the United States. pp. 2013–2023. Archived from the original on 2020-02-13. Retrieved 2025-02-14. Archived 2020-02-13 at the Wayback Machine
- ↑ "The NIH Catalyst, July–August 2004". nihsearch.cit.nih.gov. Archived from the original on 10 April 2021. Retrieved 14 February 2025. Archived 10 April 2021 at the Wayback Machine
- ↑ 22.0 22.1 22.2 "Winged Wisdom Pet Bird Magazine - Zoonotic (Bird-Human) Diseases: Psittacosis, Salmonellosis". Archived from the original on 2007-11-01. Retrieved 2007-12-29. Archived 2007-11-01 at the Wayback Machine
- ↑ 23.0 23.1 "PSITTACOSIS DISEASE - Pet Birds, Pet Parrots, Exotic Birds". Archived from the original on 2007-11-29. Retrieved 2007-12-29. Archived 2007-11-29 at the Wayback Machine
- ↑ van Buuren, C. E.; Dorrestein, G. M.; van Dijk, J. E. (March 1994). "Chlamydia psittaci infections in birds: a review on the pathogenesis and histopathological features". The Veterinary Quarterly. 16 (1): 38–41. doi:10.1080/01652176.1994.9694414. ISSN 0165-2176. PMID 8009817. Archived from the original on 2024-04-19. Retrieved 2025-02-04. Archived 2024-04-19 at the Wayback Machine
- ↑ Fadly, Aly M.; Glisson, J. R.; McDougald, L. R.; Nolan, L. K.; Swayne, David E. (16 November 2011). Diseases of Poultry. John Wiley & Sons. ISBN 978-1-119-94950-3.
- ↑ Geens, Tom; Desplanques, Ann; Van Loock, Marnix; Bönner, Brigitte M.; Kaleta, Erhard F.; Magnino, Simone; Andersen, Arthur A.; Everett, Karin D. E.; Vanrompay, Daisy (May 2005). "Sequencing of the Chlamydophila psittaci ompA Gene Reveals a New Genotype, E/B, and the Need for a Rapid Discriminatory Genotyping Method". Journal of Clinical Microbiology. 43 (5): 2456–2461. doi:10.1128/JCM.43.5.2456-2461.2005. PMC 1153750. PMID 15872282.
External links
- Psittacosis on Birds n Ways
- Ornithosis in Pigeons - Pigeonpedia Archived 2023-07-01 at the Wayback Machine
| Classification | |
|---|---|
| External resources |

