| Prolymphocytic leukemia |
|---|
 |
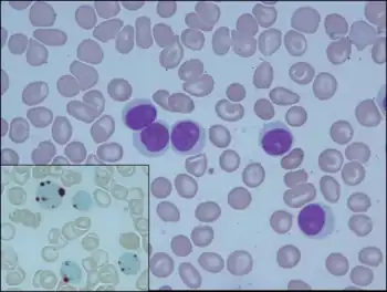
| Medium sized lymphoid cells, with oval nucleus, a visible nucleolus and moderate amount of basophilic agranular cytoplasm |
 |
| Specialty | Hematology, oncology |
|---|
Prolymphocytic leukemia is divided into two types according to the kind of cell involved: B-cell prolymphocytic leukemia and T-cell prolymphocytic leukemia. It is usually classified as a kind of chronic lymphocytic leukemia.[1]
References
- ↑ Hsi, Eric D. (1 January 2012). "12 - B-Cell Leukemias of Mature Lymphocytes". Hematopathology (Second Edition). W.B. Saunders. pp. 387–402. ISBN 978-1-4377-2606-0. Archived from the original on 22 November 2021. Retrieved 22 November 2021. Archived 22 November 2021 at the Wayback Machine
External links