Pineocytoma

Pineocytoma
Other names: Pinealocytoma
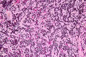
Micrograph of a pineocytoma. HPS stain.

Pineocytoma, is a benign, slowly growing tumor of the pineal gland. Unlike the similar condition pineal gland cyst, it is uncommon.

Pineocytomas are diagnosed from tissue, i.e. a brain biopsy.They consist of:

  • cytologically benign cells (with nuclei of uniform size, regular nuclear membranes, and light chromatin) and,
  • have the characteristic pineocytomatous/neurocytic rosettes, which is an irregular circular/flower-like arrangement of cells with a large meshwork of fibers (neuropil) at the centre.[1] Pineocytomatous/neurocytic rosettes are superficially similar to Homer Wright rosettes; however, they differ from Homer Wright rosettes as they have (1) more neuropil at centre of the rosette and, (2) the edge of neuropil meshwork irregular/undulating.
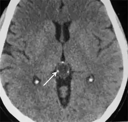
Pineocytoma in a 35-year-old person

See also

References

  1. Wippold FJ, Perry A (March 2006). "Neuropathology for the neuroradiologist: rosettes and pseudorosettes". AJNR Am J Neuroradiol. 27 (3): 488–92. PMID 16551982.

External links

Classification