Pelvic congestion syndrome
| Pelvic venous disease | |
|---|---|
| Other names: Pelvic congestion syndrome | |
![]() | |
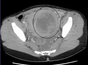
| A very large (9 cm) fibroid of the uterus which is causing pelvic congestion syndrome as seen on X-ray computed tomography | |
| Specialty | [Interventional Radiology], gynecology |
| Symptoms | Chronic pelvic pain[1] |
| Usual onset | Females in 20s[2] |
| Diagnostic method | Ultrasound, CT scan, MRI, laparoscopy[1] |
| Medication | Medroxyprogesterone, nonsteroidal anti-inflammatory drugs (NSAIDs)[1] |
| Frequency | 30% of women[3] |
Pelvic congestion syndrome, also known as pelvic vein incompetence, is a long term condition believed to be due to enlarged veins in the lower abdomen.[1][4] The condition may cause chronic pain, such as a constant dull ache, which can be worsened by standing or sex.[1] Pain in the legs or lower back may also occur.[1]
Onset is typically in females in their 20s.[2] While the condition is believed to be due to blood flowing back into pelvic veins as a result of faulty valves in the veins, this hypothesis is not certain.[4] The condition may occur or worsen during pregnancy.[1] The presence of estrogen is believed to be involved in the mechanism.[1] Diagnosis may be supported by ultrasound, CT scan, MRI, or laparoscopy.[1]
Early treatment options include medroxyprogesterone or nonsteroidal anti-inflammatory drugs (NSAIDs).[1] Surgery to block the varicose veins may also be done.[1] About 30% of women of reproductive age are affected.[3] It is believed to be the cause of about a third of chronic pelvic pain cases.[5] While pelvic venous insufficiency was identified in the 1850s it was only linked with pelvic pain in the 1940s.[5]
Signs and symptoms
Women with this condition experience a constant pain that may be dull and aching, but is occasionally more acute. The pain is worse at the end of the day and after long periods of standing, and those affected get relief when they lie down. The pain is worse during or after sexual intercourse, and can be worse just before the onset of the menstrual period.[6]
Women with pelvic congestion syndrome have a larger uterus and a thicker endometrium. 56% of women manifest cystic changes to the ovaries,[7] and many report other symptoms, such as dysmenorrhea, back pain, vaginal discharge, abdominal bloating, mood swings or depression, and fatigue.[6]
Causes
- Local pelvic hormonal milieu
- Venous outflow obstruction, such as May-Thurner syndrome, Nutcracker syndrome, Budd-Chiari syndrome, or left renal vein thrombosis
- External compression due to tumor (including fibroids, endometriosis), or scarring [8]
Diagnosis

Diagnosis can be made using ultrasound or laparoscopy testing. The condition can also be diagnosed with a venogram, CT scan, or an MRI. Ultrasound is the diagnostic tool most commonly used.[6] Some research has suggested that transvaginal duplex ultrasound is the best test for pelvic venous reflux.[9]
Treatment
Early treatment options include pain medication using nonsteroidal anti-inflammatory drugs,[6] and suppression of ovarian function.[7]
More advanced treatment includes a minimally invasive procedure performed by an Interventional Radiologist. This minimally invasive procedure involves stopping blood within the pelvic varicose veins using a minimally invasive procedure called a catheter directed embolization. The procedure rarely requires an overnight stay in hospital and is usually performed as an outpatient procedure, and is done using local anesthetic and moderate sedation.[10] Patients report an 80% success rate, as measured by the amount of pain reduction experienced.[10]
See also
References
- ↑ 1.00 1.01 1.02 1.03 1.04 1.05 1.06 1.07 1.08 1.09 1.10 "Pelvic Congestion Syndrome - Women's Health Issues". Merck Manuals Consumer Version. Archived from the original on 4 May 2015. Retrieved 27 September 2019. Archived 4 May 2015 at the Wayback Machine
- ↑ 2.0 2.1 Di Serafino, Marco; Iacobellis, Francesca; Schillirò, Maria Laura; Verde, Francesco; Grimaldi, Dario; Dell'Aversano Orabona, Giuseppina; Caruso, Martina; Sabatino, Vittorio; Rinaldo, Chiara; Cantisani, Vito; Vallone, Gianfranco; Romano, Luigia (9 April 2022). "Pelvic Pain in Reproductive Age: US Findings". Diagnostics (Basel, Switzerland). 12 (4): 939. doi:10.3390/diagnostics12040939. ISSN 2075-4418. PMID 35453987. Archived from the original on 17 March 2023. Retrieved 17 March 2023.
{{cite journal}}: CS1 maint: unflagged free DOI (link) Archived 17 March 2023 at the Wayback Machine - ↑ 3.0 3.1 Cheema, Omer Saadat; Singh, Pramvir (2020). "Pelvic Congeston Syndrome". Statpearls. PMID 32809625.
Text was copied from this source, which is available under a Creative Commons Attribution 4.0 International License Archived 2017-10-16 at the Wayback Machine.
- ↑ 4.0 4.1 Champaneria, R; Shah, L; Moss, J; Gupta, JK; Birch, J; Middleton, LJ; Daniels, JP (January 2016). "The relationship between pelvic vein incompetence and chronic pelvic pain in women: systematic reviews of diagnosis and treatment effectiveness". Health Technology Assessment. 20 (5): 1–108. doi:10.3310/hta20050. PMC 4781546. PMID 26789334.
- ↑ 5.0 5.1 Brown, CL; Rizer, M; Alexander, R; Sharpe EE, 3rd; Rochon, PJ (March 2018). "Pelvic Congestion Syndrome: Systematic Review of Treatment Success". Seminars in Interventional Radiology. 35 (1): 35–40. doi:10.1055/s-0038-1636519. PMC 5886772. PMID 29628614.
{{cite journal}}: CS1 maint: numeric names: authors list (link) - ↑ 6.0 6.1 6.2 6.3 "Dysmenorrhea". Merck Online Medical Manual. December 2008. Archived from the original on November 18, 2010. Retrieved December 23, 2010. Archived November 18, 2010, at the Wayback Machine
- ↑ 7.0 7.1 Phillip Reginald, MD. "Pelvic Congestion". The International Pelvic Pain Society. Archived from the original (PDF) on September 16, 2014. Retrieved December 23, 2010. Archived September 16, 2014, at the Wayback Machine
- ↑ Rutherford's vascular surgery references. [S.l.]: Elsevier Saunders. 2014. ISBN 978-0323243056.
- ↑ Whiteley M, Dos Santos S, Harrison C, Holdstock J, Lopez A (Oct 2014). "Transvaginal duplex ultrasonography appears to be the gold standard investigation for the haemodynamic evaluation of pelvic venous reflux in the ovarian and internal iliac veins in women". Phlebology. 30 (10): 706–13. doi:10.1177/0268355514554638. PMID 25324278. S2CID 25053851.
- ↑ 10.0 10.1 "Pelvic Pain (Pelvic Congestion Syndrome)". Johns Hopkins. Archived from the original on February 6, 2009. Retrieved December 23, 2010. Archived February 6, 2009, at the Wayback Machine
External links
| Classification |
|---|
