Papillary adenocarcinoma
| Papillary adenocarcinoma | |
|---|---|
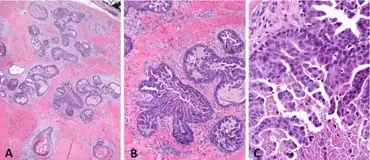
![]() | |
| Papillary adenocarcinoma in situ- a)Lesion in fibrotic dermis b) papillary structure formation c)necrosis and peripheral myoepithelial cell layer | |
Papillary adenocarcinoma is a variant of adenocarcinoma, which is identified by presence of a papillary growth manner (thyroid gland papillary carcinoma, invasive papillary breast carcinoma)[1][2]
References
- ↑ "NCI Thesaurus". ncit.nci.nih.gov. Archived from the original on 2 February 2022. Retrieved 1 February 2022. Archived 2 February 2022 at the Wayback Machine
- ↑ Travis WD, Brambilla E, Muller-Hermelink HK, Harris CC, eds. (2004). World Health Organization Classification of Tumours. Pathology and Genetics of Tumours of the Lung, Pleura, Thymus and Heart. Lyon, France: IARC Press.
External links
- [1] World Health Organization Classification of Tumours. Pathology and Genetics of Tumours of the Lung, Pleura, Thymus and Heart (Download Page).
