Neutropenia

Neutropenia
Blood film with a striking absence of neutrophils, leaving only red blood cells and platelets
SpecialtyInfectious disease, Hematology
CausesAplastic anemia, Glycogen storage disease, Cohen syndrome,[1][2] gene mutations
Diagnostic methodCBC[3]
TreatmentAntibiotics, Splenectomy if needed,[3] G-CSF

Neutropenia is an abnormally low concentration of neutrophils (a type of white blood cell) in the blood.[4] Neutrophils make up the majority of circulating white blood cells and serve as the primary defense against infections by destroying bacteria, bacterial fragments and immunoglobulin-bound viruses in the blood.[5] People with neutropenia are more susceptible to bacterial infections and, without prompt medical attention, the condition may become life-threatening (neutropenic sepsis).[6]

Neutropenia can be divided into congenital and acquired, with severe congenital neutropenia (SCN) and cyclic neutropenia (CyN) being autosomal dominant and mostly caused by heterozygous mutations in the ELANE gene (neutrophil elastase).[7] Neutropenia can be acute (temporary) or chronic (long lasting). The term is sometimes used interchangeably with "leukopenia" ("deficit in the number of white blood cells").[8]

Decreased production of neutrophils is associated with deficiencies of vitamin B12 and folic acid, aplastic anemia, tumors, drugs, metabolic disease, nutritional deficiency and immune mechanisms. In general, the most common oral manifestations of neutropenia include ulcer, gingivitis, and periodontitis. Agranulocytosis can be presented as whitish or greyish necrotic ulcer in oral cavity, without any sign of inflammation. Acquired agranulocytosis is much more common than the congenital form. The common causes of acquired agranulocytosis including drugs (non-steroidal anti-inflammatory drugs, antiepileptics, antithyroid and antibiotics) and viral infection. Agranulocytosis has a mortality rate of 7–10%. To manage this, the application of granulocyte colony stimulating factor (G-CSF) or granulocyte transfusion and the use of broad-spectrum antibiotics to protect against bacterial infections are recommended.[9]

Signs and symptoms

Otitis

Signs and symptoms of neutropenia include fever, painful swallowing, gingival pain, skin abscesses, and otitis. These symptoms may exist because individuals with neutropenia often have infection.[3]

Children may show signs of irritability and poor feeding.[10]

Additionally, hypotension has also been observed in individuals who suffer from this condition.[6]

Causes

Vitamin B12

The causes of neutropenia can be divided between problems that are transient and those that are chronic. Causes can be divided into these groups:[1][2][11][12]

Severe bacterial infections, especially in people with underlying hematological diseases or alcoholism, can deplete neutrophil reserves and lead to neutropenia.[2] Gram-positive bacteria are present in 60–70% of bacterial infections. There are serious concerns regarding antibiotic-resistant organisms. These would include as methicillin-resistant Staphylococcus aureus (MRSA) or vancomycin-resistant Enterococcus (VRE).[31]

Nutritional deficiencies, such as deficiency in vitamin B12, folate, copper or protein-calorie malnutrition are associated with chronic neutropenia. However, nutritional deficiencies are usually associated with decreases in other cell lines (multiple cytopenia or pancytopenia) rather than isolated neutropenia.[2]

Other causes of congenital neutropenia are Shwachman–Diamond syndrome, Cyclic neutropenia, bone marrow failure syndromes, cartilage–hair hypoplasia, reticular dysgenesis, and Barth syndrome. Viruses that infect neutrophil progenitors can also be the cause of neutropenia. Viruses identified that have an effect on neutrophils are rubella and cytomegalovirus.[1] Though the body can manufacture a normal level of neutrophils, in some cases the destruction of excessive numbers of neutrophils can lead to neutropenia. These are:[1]

  • Bacterial or fungal sepsis
  • Necrotizing enterocolitis, circulating neutrophil population depleted due to migration into the intestines and peritoneum
  • Alloimmune neonatal neutropenia, the mother produces antibodies against fetal neutrophils
  • Inherited autoimmune neutropenia, the mother has autoimmune neutropenia
  • Autoimmune neutropenia of infancy, the sensitization to self-antigens

Pathophysiology

a-c) Pathogenetic mechanisms of neutropenia[32]

The pathophysiology of neutropenia can be divided into congenital and acquired. The congenital neutropenia (severe and cyclic type) is autosomal dominant, with mutations in the ELA2 gene (neutrophil elastase) as the most common genetic reason for this condition.[7]

Acquired neutropenia (immune-associated neutropenia) is due to anti-neutrophil antibodies that target neutrophil-specific antigens, ultimately altering neutrophil function.[33]

Furthermore, emerging research suggests neutropenia without an identifiable etiology (idiopathic neutropenia) may be the result of a low-grade, chronic inflammatory process with an abnormal excessive production of myelosuppressive cytokines in a study conducted in the island of Crete.[34]

Neutropenia fever can complicate the treatment of cancers. Observations of children noted that fungal infections are more likely to develop in those with neutropenia. Mortality increases during cancer treatments if neutropenia is also present.[6]

Congenital neutropenia is determined by blood neutrophil counts (absolute neutrophil counts or ANC) < 0.5 × 109/L and recurrent bacterial infections beginning very early in childhood.[35]

Congenital neutropenia is related to alloimmunization, sepsis, maternal hypertension, twin-to-twin transfusion syndrome, and Rh hemolytic disease.[1]

Diagnosis

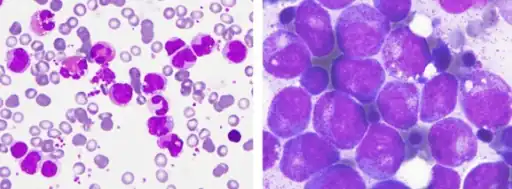
Feverish neutropenia-buffy coat smear left and bone marrow aspirate right

Neutropenia can be the result of a variety of consequences, including from certain types of drugs, environmental toxins, vitamin deficiencies, metabolic abnormalities, as well as cancer or infections. Neutropenia itself is a rare entity, but can be clinically common in oncology[36] and immunocompromised individuals as a result of chemotherapy (drug-induced neutropenia). Additionally, acute neutropenia can be commonly seen from people recovering from a viral infection or in a post-viral state. Meanwhile, several subtypes of neutropenia exist which are rarer and chronic, including acquired (idiopathic) neutropenia, cyclic neutropenia, autoimmune neutropenia, and congenital neutropenia.

Neutropenia that is developed in response to chemotherapy typically becomes evident in seven to fourteen days after treatment, this period is known as the Nadir . Conditions that indicate the presence of neutropenic fever are implanted devices; leukemia induction; the compromise of mucosal, mucociliary and cutaneous barriers; a rapid decline in absolute neutrophil count, duration of neutropenia >7–10 days, and other illnesses that exist in the patient.[31]

Signs of infection can be subtle. Fevers are a common and early observation. Sometimes overlooked is the presence of hypothermia, which can be present in sepsis. Physical examination and accessing the history and physical examination is focused on sites of infection. Indwelling line sites, areas of skin breakdown, sinuses, nasopharynx, bronchi and lungs, alimentary tract, and skin are assessed.[31]

The diagnosis of neutropenia is done via the low neutrophil count detection on a complete blood count. Generally, other investigations are required to arrive at the right diagnosis. When the diagnosis is uncertain, or serious causes are suspected, bone marrow biopsy may be necessary. A bone marrow biopsy can identify abnormalities in myelopoesis contributing to neutropenia such as the stage of arrest in the development of myeloid progenitor cells.[2] Bone marrow biopsies can also be used to monitor the development of myelodysplastic syndrome (MDS) or acute myeloid leukemia (AML) in patients with chronic neutropenia (especially in those with severe congenital neutropenia (SCN) which carries a higher risk of MDS and AML)).[2] Other investigations commonly performed: serial neutrophil counts for suspected cyclic neutropenia, tests for antineutrophil antibodies, autoantibody screen (and investigations for systemic lupus erythematosus), vitamin B12 and folate assays.[37][38] Rectal examinations are usually not performed due to the increased risk of introducing bacteria into the blood stream and the possible development of rectal abscesses.[31]

Classification

Neutrophil

Generally accepted reference range for absolute neutrophil count (ANC) in adults is 1500 to 8000 cells per microliter (µl) of blood. Three general guidelines are used to classify the severity of neutropenia based on the ANC (expressed below in cells/µl):[39]

  • Mild neutropenia (1000 <= ANC < 1500): minimal risk of infection
  • Moderate neutropenia (500 <= ANC < 1000): moderate risk of infection
  • Severe neutropenia (ANC < 500): severe risk of infection.

Each of these are either derived from laboratory tests or via the formula below:

ANC = (%neutrophils+%bands)×(WBC)(100)[1][39][40]

Treatment

A fever, when combined with profound neutropenia (febrile neutropenia), is considered a medical emergency and requires broad spectrum antibiotics. An absolute neutrophil count less than 200 is also considered a medical emergency and almost always requires hospital admission and initiation of broad spectrum antibiotics with selection of specific antibiotics based on local resistance patterns.[2]

Precautions to avoid opportunistic infections in those with chronic neutropenia include maintaining proper soap and water hand hygiene, good dental hygiene and avoiding highly contaminated sources that may contain a large fungal reservoirs such as mulch, construction sites and bird or other animal waste.[2]

Neutropenia can be treated with the hematopoietic growth factor granulocyte-colony stimulating factor (G-CSF). These are cytokines that are present naturally in the body. The factors promote neutrophil recovery following anticancer therapy or in chronic neutropenia.[1] Recombinant G-CSF factor preparations, such as filgrastim[41] can be effective in people with congenital forms of neutropenia including severe congenital neutropenia and cyclic neutropenia;[42] the amount needed (dosage) to stabilize the neutrophil count varies considerably (depending on the individual's condition).[43] Guidelines for neutropenia regarding diet are currently being studied.[44] Those who have chronic neutropenia and fail to respond to G-CSF or who have an increased risk of developing MDS or AML (due to increased dosage requirements of G-CSF or having abnormal precursor cells in the bone marrow) often require hematopoietic stem cell transplantation as a treatment.[2]

Most cases of neonatal neutropenia are temporary. Antibiotic prophylaxis is not recommended because of the possibility of encouraging the development of multidrug-resistant bacterial strains.[1]

These are cytokines that are present naturally in the body. The factors promote neutrophil recovery following anticancer therapy.[1]

The administration of intravenous immunoglobulins (IVIGs) has had some success in treating neutropenias of alloimmune and autoimmune origins with a response rate of about 50%. Blood transfusions have not been effective.[1]

Patients with neutropenia caused by cancer treatment can be given antifungal drugs. A Cochrane review [45] found that lipid formulations of amphotericin B had fewer side effects than conventional amphotericin B, though it is not clear whether there are particular advantages over conventional amphotericin B if given under optimal circumstances. Another Cochrane review [46] was not able to detect a difference in effect between amphotericin B and fluconazole because available trial data analysed results in a way that disfavoured amphotericin B.

Trilaciclib, a CDK4/6 inhibitor, administered approximately thirty minutes before chemotherapy, has been shown in three clinical trials to significantly reduce the occurrence of chemotherapy-induced neutropenia and the associated need for interventions such as the administration of G-CSF’s. The drug is currently under review by the FDA for use in small cell lung cancer with a decision expected by February 15, 2021.[47]

Prognosis

If left untreated, people with fever and absolute neutrophil count <500 have a mortality of up to 70% within 24 hours.[31] The prognosis of neutropenia depends on the cause. Antibiotic agents have improved the prognosis for individuals with severe neutropenia. Neutropenic fever in individuals treated for cancer has a mortality of 4–30%.[48]

Epidemiology

Neutropenia is usually detected shortly after birth, affecting 6% to 8% of all newborns in neonatal intensive care units (NICUs). Out of the approximately 600,000 neonates annually treated in NICUs in the United States, 48,000 may be diagnosed as neutropenic. The incidence of neutropenia is greater in premature infants. Six to fifty-eight percent of preterm neonates are diagnosed with this auto-immune disease. The incidence of neutropenia correlates with decreasing birth weight. The disorder is seen up to 38% in infants that weigh less than 1000g, 13% in infants weighing less than 2500g, and 3% of term infants weighing more than 2500 g. Neutropenia is often temporary, affecting most newborns in only first few days after birth. In others, it becomes more severe and chronic indicating a deficiency in innate immunity.[1]

Furthermore, the prevalence of chronic neutropenia in the general public is rare. In a study conducted in Denmark, over 370,000 people were assessed for the presence of neutropenia. Results published demonstrated only 1% of those evaluated were neutropenic, and were commonly seen in those suffering from HIV, viral infections, acute leukemias, and myelodysplastic syndromes. The study concluded the presence of neutropenia is an ominous sign that warrants further investigation and follow-up.[49]

See also

References

  1. 1.00 1.01 1.02 1.03 1.04 1.05 1.06 1.07 1.08 1.09 1.10 Ohls, Robin (2012). Hematology, immunology and infectious disease neonatology questions and controversies. Philadelphia, PA: Elsevier/Saunders. ISBN 978-1-4377-2662-6: Access provided by the University of Pittsburgh{{cite book}}: CS1 maint: postscript (link)
  2. 2.00 2.01 2.02 2.03 2.04 2.05 2.06 2.07 2.08 2.09 2.10 Newburger PE, Dale DC (July 2013). "Evaluation and management of patients with isolated neutropenia". Seminars in Hematology. 50 (3): 198–206. doi:10.1053/j.seminhematol.2013.06.010. PMC 3748385. PMID 23953336.
  3. 3.0 3.1 3.2 Neutropenia~clinical at eMedicine
  4. "Neutropenia". National Center for Biotechnology, National Library of Medicine. Retrieved 8 December 2015.
  5. "Neutrophils". National Center for Biotechnology, National Library of Medicine. Archived from the original on 6 March 2018. Retrieved 8 December 2015. Archived 6 March 2018 at the Wayback Machine
  6. 6.0 6.1 6.2 Fung M, Kim J, Marty FM, Schwarzinger M, Koo S (2015). "Meta-Analysis and Cost Comparison of Empirical versus Pre-Emptive Antifungal Strategies in Hematologic Malignancy Patients with High-Risk Febrile Neutropenia". PLOS ONE. 10 (11): e0140930. Bibcode:2015PLoSO..1040930F. doi:10.1371/journal.pone.0140930. PMC 4640557. PMID 26554923.
  7. 7.0 7.1 Horwitz MS, Corey SJ, Grimes HL, Tidwell T (February 2013). "ELANE mutations in cyclic and severe congenital neutropenia: genetics and pathophysiology". Hematology/Oncology Clinics of North America. 27 (1): 19–41, vii. doi:10.1016/j.hoc.2012.10.004. PMC 3559001. PMID 23351986.
  8. Boxer LA (8 December 2012). "How to approach neutropenia". Hematology. American Society of Hematology. Education Program. 2012 (1): 174–82. doi:10.1182/asheducation.v2012.1.174.3798251. PMID 23233578.
  9. Nakai, Yukie; Ishihara, Chikako; Ogata, Sagiri; Shimono, Tsutomu (July 2003). "Oral manifestations of cyclic neutropenia in a Japanese child: case report with a 5-year follow-up" (PDF). Pediatric Dentistry. 25 (4): 383–8. PMID 13678105. S2CID 24909338. Archived (PDF) from the original on 3 November 2021. Retrieved 22 September 2021. Archived 3 November 2021 at the Wayback Machine
  10. Hazinski, Mary Fran (4 May 2012). Nursing Care of the Critically Ill Child. Elsevier Health Sciences. p. 835. ISBN 978-0323086035. Archived from the original on 22 January 2022. Retrieved 22 September 2021.
  11. Donadieu J, Beaupain B, Fenneteau O, Bellanné-Chantelot C (November 2017). "Congenital neutropenia in the era of genomics: classification, diagnosis, and natural history". British Journal of Haematology. 179 (4): 557–574. doi:10.1111/bjh.14887. PMID 28875503.
  12. Muturi-Kioi V, Lewis D, Launay O, Leroux-Roels G, Anemona A, Loulergue P, et al. (4 August 2016). "Neutropenia as an Adverse Event following Vaccination: Results from Randomized Clinical Trials in Healthy Adults and Systematic Review". PLOS ONE. 11 (8): e0157385. Bibcode:2016PLoSO..1157385M. doi:10.1371/journal.pone.0157385. PMC 4974007. PMID 27490698.
  13. "Aplastic Anemia". The Lecturio Medical Concept Library. Archived from the original on 9 July 2021. Retrieved 1 August 2021. Archived 9 July 2021 at the Wayback Machine
  14. Evans RS, Takahashi K, Duane RT, Payne R, Liu C (1951). "Primary thrombocytopenic purpura and acquired hemolytic anemia; evidence for a common etiology". Archives of Internal Medicine. 87 (1): 48–65. doi:10.1001/archinte.1951.03810010058005. PMID 14782741.
  15. "Evans syndrome". Genetic and Rare Diseases Information Center. Archived from the original on 11 August 2021. Retrieved 17 April 2018. Archived 11 August 2021 at the Wayback Machine
  16. "Systemic Lupus Erythematosus". The Lecturio Medical Concept Library. Archived from the original on 22 January 2022. Retrieved 11 August 2021. Archived 22 January 2022 at the Wayback Machine
  17. Kolehmainen J, Black GC, Saarinen A, Chandler K, Clayton-Smith J, Träskelin AL, Perveen R, Kivitie-Kallio S, Norio R, Warburg M, Fryns JP, de la Chapelle A, Lehesjoki AE (June 2003). "Cohen syndrome". American Journal of Human Genetics. 72 (6): 1359–69. doi:10.1086/375454. PMC 1180298. PMID 12730828.
  18. Scheiber, Ivo; Dringen, Ralf; Mercer, Julian F. B. (2013). "Chapter 11. Copper: Effects of Deficiency and Overload". In Astrid Sigel, Helmut Sigel and Roland K. O. Sigel (ed.). Interrelations between Essential Metal Ions and Human Diseases. Metal Ions in Life Sciences. Vol. 13. Springer. pp. 359–387. doi:10.1007/978-94-007-7500-8_11. PMID 24470097.
  19. Hunt, A.; Harrington, D.; Robinson, S. (4 September 2014). "Vitamin B12 deficiency". BMJ. 349 (sep04 1): g5226. doi:10.1136/bmj.g5226. PMID 25189324.
  20. "Enteric Fever (Typhoid Fever)". The Lecturio Medical Concept Library. 27 August 2020. Archived from the original on 20 July 2021. Retrieved 11 August 2021. Archived 20 July 2021 at the Wayback Machine
  21. "Tuberculosis". The Lecturio Medical Concept Library. Archived from the original on 23 June 2021. Retrieved 11 August 2021. Archived 23 June 2021 at the Wayback Machine
  22. Alfarouk KO, Stock CM, Taylor S, Walsh M, Muddathir AK, Verduzco D, et al. (15 July 2015). "Resistance to cancer chemotherapy: failure in drug response from ADME to P-gp". Cancer Cell International. 15 (1): 71. doi:10.1186/s12935-015-0221-1. PMC 4502609. PMID 26180516.{{cite journal}}: CS1 maint: unflagged free DOI (link)
  23. Johnstone RW, Ruefli AA, Lowe SW (January 2002). "Apoptosis: a link between cancer genetics and chemotherapy". Cell. 108 (2): 153–64. doi:10.1016/S0092-8674(02)00625-6. PMID 11832206. S2CID 7429296.
  24. "Cytomegalovirus". Lecturio. Archived from the original on 11 August 2021. Retrieved 11 August 2021. Archived 11 August 2021 at the Wayback Machine
  25. "Penicillamine". The American Society of Health-System Pharmacists. Archived from the original on 21 December 2016. Retrieved 8 December 2016. Archived 21 December 2016 at the Wayback Machine
  26. "Sulfonamides and Trimethoprim". The Lecturio Medical Concept Library. Archived from the original on 11 August 2021. Retrieved 11 August 2021. Archived 11 August 2021 at the Wayback Machine
  27. "Clozapine". The American Society of Health-System Pharmacists. Archived from the original on 8 December 2015. Retrieved 1 December 2015. Archived 8 December 2015 at the Wayback Machine
  28. "Valproic Acid". The American Society of Health-System Pharmacists. Archived from the original on 31 July 2017. Retrieved 23 October 2015. Archived 31 July 2017 at the Wayback Machine
  29. "Vaccination". The Lecturio Medical Concept Library. 19 October 2020. Archived from the original on 11 August 2021. Retrieved 11 August 2021. Archived 11 August 2021 at the Wayback Machine
  30. "Venclyxto EPAR". European Medicines Agency (EMA). Archived from the original on 16 April 2020. Retrieved 1 July 2021. Archived 16 April 2020 at the Wayback Machine
  31. 31.0 31.1 31.2 31.3 31.4 Williams, Mark (2007). Comprehensive hospital medicine an evidence based approach. Philadelphia: Saunders Elsevier. ISBN 978-1-4160-0223-9; Access provided by the University of Pittsburgh{{cite book}}: CS1 maint: postscript (link)
  32. Calabretto, Giulia; Teramo, Antonella; Barilà, Gregorio; Vicenzetto, Cristina; Gasparini, Vanessa Rebecca; Semenzato, Gianpietro; Zambello, Renato (October 2021). "Neutropenia and Large Granular Lymphocyte Leukemia: From Pathogenesis to Therapeutic Options". Cells. 10 (10): 2800. doi:10.3390/cells10102800. ISSN 2073-4409.{{cite journal}}: CS1 maint: unflagged free DOI (link)
  33. Schwartzberg LS (1 January 2006). "Neutropenia: etiology and pathogenesis". Clinical Cornerstone. 8 Suppl 5: S5-11. doi:10.1016/s1098-3597(06)80053-0. PMID 17379162.
  34. Dale DC, Bolyard AA (January 2017). "An update on the diagnosis and treatment of chronic idiopathic neutropenia". Current Opinion in Hematology. 24 (1): 46–53. doi:10.1097/MOH.0000000000000305. PMC 5380401. PMID 27841775.
  35. Makaryan V, Rosenthal EA, Bolyard AA, Kelley ML, Below JE, Bamshad MJ, et al. (July 2014). "TCIRG1-associated congenital neutropenia". Human Mutation. 35 (7): 824–7. doi:10.1002/humu.22563. PMC 4055522. PMID 24753205.
  36. Singh, Navdeep; Singh, Sandeep; Dabrowski, Lech (10 September 2019). "Isolated Chronic and Transient Neutropenia". Cureus. 11 (9): e5616. doi:10.7759/cureus.5616. PMC 6823038. PMID 31720132.{{cite journal}}: CS1 maint: unflagged free DOI (link)
  37. Levene, Malcolm I.; Lewis, S. M.; Bain, Barbara J.; Imelda Bates (2001). Dacie & Lewis Practical Haematology. London: W B Saunders. p. 586. ISBN 978-0-443-06377-0.
  38. "Neutropenic Patients and Neutropenic Regimes | Patient". Patient. Archived from the original on 1 October 2021. Retrieved 8 December 2015. Archived 1 October 2021 at the Wayback Machine
  39. 39.0 39.1 Hsieh MM, Everhart JE, Byrd-Holt DD, Tisdale JF, Rodgers GP (April 2007). "Prevalence of neutropenia in the U.S. population: age, sex, smoking status, and ethnic differences". Annals of Internal Medicine. 146 (7): 486–92. doi:10.7326/0003-4819-146-7-200704030-00004. PMID 17404350.
  40. "Absolute Neutrophil Count Calculator". reference.medscape.com. Archived from the original on 4 August 2019. Retrieved 8 December 2015. Archived 4 August 2019 at the Wayback Machine
  41. Schouten, H.C. (September 2006). "Neutropenia management". Annals of Oncology. 17: x85 – x89. doi:10.1093/annonc/mdl243. PMID 17018758.
  42. James RM, Kinsey SE (October 2006). "The investigation and management of chronic neutropenia in children". Archives of Disease in Childhood. 91 (10): 852–8. doi:10.1136/adc.2006.094706. PMC 2066017. PMID 16990357.
  43. Agranulocytosis—Advances in Research and Treatment: 2012 Edition: ScholarlyBrief. ScholarlyEditions. 26 December 2012. p. 95. ISBN 9781481602754. Archived from the original on 1 October 2021. Retrieved 22 September 2021.
  44. Jubelirer SJ (6 April 2011). "The benefit of the neutropenic diet: fact or fiction?". The Oncologist. 16 (5): 704–7. doi:10.1634/theoncologist.2011-0001. PMC 3228185. PMID 21471277.
  45. Johansen HK, Gøtzsche PC (September 2014). "Amphotericin B lipid soluble formulations versus amphotericin B in cancer patients with neutropenia". The Cochrane Database of Systematic Reviews (9): CD000969. doi:10.1002/14651858.cd000969.pub2. PMC 6457843. PMID 25188673.
  46. Johansen HK, Gøtzsche PC (September 2014). "Amphotericin B versus fluconazole for controlling fungal infections in neutropenic cancer patients". The Cochrane Database of Systematic Reviews (9): CD000239. doi:10.1002/14651858.cd000239.pub2. PMC 6457742. PMID 25188769.
  47. staff, By. "FDA Grants Priority Review of Trilaciclib for Treating Small Cell Lung Cancer". www.uspharmacist.com. Archived from the original on 20 January 2021. Retrieved 2 January 2021. Archived 20 January 2021 at the Wayback Machine
  48. Neutropenia at eMedicine
  49. Andersen CL, Tesfa D, Siersma VD, Sandholdt H, Hasselbalch H, Bjerrum OW, et al. (June 2016). "Prevalence and clinical significance of neutropenia discovered in routine complete blood cell counts: a longitudinal study". Journal of Internal Medicine. 279 (6): 566–75. doi:10.1111/joim.12467. PMID 26791682.

External links

Classification
External resources