| Neonatal adrenoleukodystrophy |
|---|
|
 |
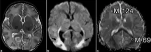
| Neonatal adrenoleukodystrophy a) The axial T2-weighted MR image is normal (b) the diffusion-weighted image (b = 1000 sec/mm2) reveals high-signal changes in the splenium of the corpus callosum, and occipital lobes (black arrows) c) the ADC map reveals that the ADC values of the involved regions is low (0.69 × 10–3 mm2/sec), compared to the frontal regions (1.24 × 10–3 mm2/s). |
 |
Neonatal adrenoleukodystrophy is an inborn error of peroxisome biogenesis. It is part of the Zellweger spectrum. It has been linked with multiple genes (at least five) associated with peroxisome biogenesis, and has an autosomal recessive pattern of inheritance.[2]
References
External links
| Classification | |
|---|
| External resources | |
|---|