Myasthenia gravis

Myasthenia gravis
Eye deviation and a drooping eyelid in a person with myasthenia gravis trying to open her eyes
SpecialtyNeurology
SymptomsVarying degrees muscle weakness, double vision, drooping eyelids, trouble talking, trouble walking[1]
Usual onsetWomen under 40, men over 60[1]
DurationLong term[1]
CausesAutoimmune disease[1]
Diagnostic methodBlood tests for specific antibodies, edrophonium test, nerve conduction studies[1]
Differential diagnosisGuillain–Barré syndrome, botulism, organophosphate poisoning, brainstem stroke[2]
TreatmentMedications, surgical removal of the thymus, plasmapheresis[1]
MedicationAcetylcholinesterase inhibitors (neostigmine, pyridostigmine), immunosuppressants[1]
Frequency50 to 200 per million[3][4]

Myasthenia gravis (MG) is a long-term neuromuscular disease that leads to varying degrees of skeletal muscle weakness.[1] The most commonly affected muscles are those of the eyes, face, and swallowing.[1] It can result in double vision, drooping eyelids, trouble talking, and trouble walking.[1] Onset can be sudden.[1] Those affected often have a large thymus or develop a thymoma.[1]

Myasthenia gravis is an autoimmune disease which results from antibodies that block or destroy nicotinic acetylcholine receptors at the junction between the nerve and muscle.[1] This prevents nerve impulses from triggering muscle contractions.[1] Some medicines may worsen the weakness.[5] Rarely, an inherited genetic defect in the neuromuscular junction results in a similar condition known as congenital myasthenia.[6][7] Babies of mothers with myasthenia may have symptoms during their first few months of life, known as neonatal myasthenia.[1] Diagnosis can be supported by blood tests for specific antibodies, the edrophonium test, or a nerve conduction study.[1]

Myasthenia gravis is generally treated with medications known as acetylcholinesterase inhibitors such as neostigmine and pyridostigmine.[1] Immunosuppressants, such as prednisone or azathioprine, may also be used.[1] The surgical removal of the thymus may improve symptoms in certain cases.[1] Plasmapheresis and high dose intravenous immunoglobulin may be used during sudden flares of the condition.[1] If the breathing muscles become significantly weak, mechanical ventilation may be required.[1] Once intubated acetylcholinesterase inhibitors may be temporarily held to reduce airway secretions.[8]

MG affects 50 to 200 per million people.[3][4] It is newly diagnosed in three to 30 per million people each year.[9] Diagnosis is becoming more common due to increased awareness.[9] It most commonly occurs in women under the age of 40 and in men over the age of 60.[1] It is uncommon in children.[1] With treatment, most of those affected lead relatively normal lives and have a normal life expectancy.[1] The word is from the Greek "mys" "muscle" and "astheneia" "weakness", and the Latin "gravis" "serious".[10]

Signs and symptoms

The initial, main symptom in MG is painless weakness of specific muscles, not fatigue.[11] The muscle weakness becomes progressively worse during periods of physical activity and improves after periods of rest. Typically, the weakness and fatigue are worse toward the end of the day.[12] MG generally starts with ocular (eye) weakness; it might then progress to a more severe generalized form, characterized by weakness in the extremities or in muscles that govern basic life functions.[13]

Eyes

In about two-thirds of individuals, the initial symptom of MG is related to the muscles around the eye.[11] There may be eyelid drooping (ptosis due to weakness of levator palpebrae superioris)[14] and double vision (diplopia,[11] due to weakness of the extraocular muscles).[12] Eye symptoms tend to get worse when watching television, reading, or driving, particularly in bright conditions.[11] Consequently, some affected individuals choose to wear sunglasses.[11] The term "ocular myasthenia gravis" describes a subtype of MG where muscle weakness is confined to the eyes, i.e. extraocular muscles, levator palpebrae superioris, and orbicularis oculi.[14] Typically, this subtype evolves into generalized MG, usually after a few years.[14]

Eating

The weakness of the muscles involved in swallowing may lead to swallowing difficulty (dysphagia). Typically, this means that some food may be left in the mouth after an attempt to swallow,[15] or food and liquids may regurgitate into the nose rather than go down the throat (velopharyngeal insufficiency).[12] Weakness of the muscles that move the jaw (muscles of mastication) may cause difficulty chewing. In individuals with MG, chewing tends to become more tiring when chewing tough, fibrous foods.[11] Difficulty in swallowing, chewing, and speaking is the first symptom in about one-sixth of individuals.[11]

Speaking

Weakness of the muscles involved in speaking may lead to dysarthria and hypophonia.[11] Speech may be slow and slurred,[16] or have a nasal quality.[12] In some cases, a singing hobby or profession must be abandoned.[15]

Head and neck

Due to weakness of the muscles of facial expression and muscles of mastication, facial weakness may manifest as the inability to hold the mouth closed[11] (the "hanging jaw sign") and as a snarling expression when attempting to smile.[12] With drooping eyelids, facial weakness may make the individual appear sleepy or sad.[11] Difficulty in holding the head upright may occur.[16]

Other

The muscles that control breathing and limb movements can also be affected; rarely do these present as the first symptoms of MG, but develop over months to years.[17] In a myasthenic crisis, a paralysis of the respiratory muscles occurs, necessitating assisted ventilation to sustain life.[18] Crises may be triggered by various biological stressors such as infection, fever, an adverse reaction to medication, or emotional stress.[18]

Pathophysiology

MG is an autoimmune synaptopathy. The disorder occurs when the immune system malfunctions and generates antibodies that attack the body's tissues. The antibodies in MG attack a normal human protein, the nicotinic acetylcholine receptor, or a related protein called MuSK a muscle-specific kinase.[19] Other less frequent antibodies are found against LRP4, Agrin and titin proteins.[20][21]

Human leukocyte antigen (HLA) haplotypes are associated with increased susceptibility to myasthenia gravis and other autoimmune disorders. Relatives of people with MG have a higher percentage of other immune disorders.[22][23]

The thymus gland cells form part of the body's immune system. In those with myasthenia gravis, the thymus gland is large and abnormal. It sometimes contains clusters of immune cells which indicate lymphoid hyperplasia, and the thymus gland may give wrong instructions to immune cells.[24]

In pregnancy

For women who are pregnant and already have MG, in a third of cases, they have been known to experience an exacerbation of their symptoms, and in those cases it usually occurs in the first trimester of pregnancy.[25] Signs and symptoms in pregnant mothers tend to improve during the second and third trimesters. Complete remission can occur in some mothers.[26] Immunosuppressive therapy should be maintained throughout pregnancy, as this reduces the chance of neonatal muscle weakness, and controls the mother's myasthenia.[27]

About 10–20% of infants with mothers affected by the condition are born with transient neonatal myasthenia (TNM), which generally produces feeding and respiratory difficulties that develop about 12 hours to several days after birth.[25][27] A child with TNM typically responds very well to acetylcholinesterase inhibitors, and the condition generally resolves over a period of three weeks as the antibodies diminish and generally does not result in any complications.[25] Very rarely, an infant can be born with arthrogryposis multiplex congenita, secondary to profound intrauterine weakness. This is due to maternal antibodies that target an infant's acetylcholine receptors. In some cases, the mother remains asymptomatic.[27]

Diagnosis

MG can be difficult to diagnose, as the symptoms can be subtle and hard to distinguish from both normal variants and other neurological disorders.[15]

Three types of myasthenic symptoms in children can be distinguished:[28]

  1. Transient neonatal myasthenia occurs in 10 to 15% of babies born to mothers afflicted with the disorder, and disappears after a few weeks.
  2. Congenital myasthenia, the rarest form, occurs when genes are present from both parents.
  3. Juvenile myasthenia gravis is most common in females.

Congenital myasthenias cause muscle weakness and fatigability similar to those of MG.[29] The signs of congenital myasthenia usually are present in the first years of childhood, although they may not be recognized until adulthood.[30]

Classification

Myasthenia Gravis Foundation of America Clinical Classification[31]
Class Description
I Any eye muscle weakness, possible ptosis, no other evidence of muscle weakness elsewhere
II Eye muscle weakness of any severity, mild weakness of other muscles
IIa Predominantly limb or axial muscles
IIb Predominantly bulbar and/or respiratory muscles
III Eye muscle weakness of any severity, moderate weakness of other muscles
IIIa Predominantly limb or axial muscles
IIIb Predominantly bulbar and/or respiratory muscles
IV Eye muscle weakness of any severity, severe weakness of other muscles
IVa Predominantly limb or axial muscles
IVb Predominantly bulbar and/or respiratory muscles
V Intubation needed to maintain airway

When diagnosed with MG, a person is assessed for his or her neurological status and the level of illness is established. This is usually done using the accepted Myasthenia Gravis Foundation of America Clinical Classification scale.

Physical examination

During a physical examination to check for MG, a doctor might ask the person to perform repetitive movements. For instance, the doctor may ask one to look at a fixed point for 30 seconds and to relax the muscles of the forehead. This is done because a person with MG and ptosis of the eyes might be involuntarily using the forehead muscles to compensate for the weakness in the eyelids.[15] The clinical examiner might also try to elicit the "curtain sign" in a person by holding one of the person's eyes open, which in the case of MG will lead the other eye to close.[15]

Blood tests

If the diagnosis is suspected, serology can be performed:

  • One test is for antibodies against the acetylcholine receptor;[15] the test has a reasonable sensitivity of 80–96%, but in ocular myasthenia, the sensitivity falls to 50%.
  • A proportion of the people without antibodies against the acetylcholine receptor have antibodies against the MuSK protein.[32]
  • In specific situations, testing is performed for Lambert-Eaton syndrome.[33]

Electrodiagnostics

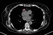
A chest CT-scan showing a thymoma (red circle)
Photograph of a person showing right partial ptosis (left picture), the left lid shows compensatory pseudo lid retraction because of equal innervation of the levator palpabrae superioris (Hering's law of equal innervation): Right picture: after an edrophonium test, note the improvement in ptosis.

Muscle fibers of people with MG are easily fatigued, which the repetitive nerve stimulation test can help diagnose. In single-fiber electromyography (SFEMG), which is considered to be the most sensitive (although not the most specific) test for MG,[15] a thin needle electrode is inserted into different areas of a particular muscle to record the action potentials from several samplings of different individual muscle fibers. Two muscle fibers belonging to the same motor unit are identified, and the temporal variability in their firing patterns is measured. Frequency and proportion of particular abnormal action potential patterns, called "jitter" and "blocking", are diagnostic. Jitter refers to the abnormal variation in the time interval between action potentials of adjacent muscle fibers in the same motor unit. Blocking refers to the failure of nerve impulses to elicit action potentials in adjacent muscle fibers of the same motor unit.[34]

Ice test

Applying ice for two to five minutes to the muscles reportedly has a sensitivity and specificity of 76.9% and 98.3%, respectively, for the identification of MG. Acetylcholinesterase is thought to be inhibited at the lower temperature, and this is the basis for this diagnostic test. This generally is performed on the eyelids when a ptosis is present, and is deemed positive if a ≥2 mm rise in the eyelid occurs after the ice is removed.[35]

Edrophonium test

This test requires the intravenous administration of edrophonium chloride or neostigmine, drugs that block the breakdown of acetylcholine by cholinesterase (acetylcholinesterase inhibitors).[36] This test is no longer typically performed, as its use can lead to life-threatening bradycardia (slow heart rate) which requires immediate emergency attention.[37] Production of edrophonium was discontinued in 2008.[18]

Imaging

A chest X-ray may identify widening of the mediastinum suggestive of thymoma, but computed tomography (CT) or magnetic resonance imaging (MRI) are more sensitive ways to identify thymomas and are generally done for this reason.[38] MRI of the cranium and orbits may also be performed to exclude compressive and inflammatory lesions of the cranial nerves and ocular muscles.[39]

Pulmonary function test

The forced vital capacity may be monitored at intervals to detect increasing muscular weakness. Acutely, negative inspiratory force may be used to determine adequacy of ventilation; it is performed on those individuals with MG.[40][41]

Management

Treatment is by medication and/or surgery. Medication consists mainly of acetylcholinesterase inhibitors to directly improve muscle function and immunosuppressant drugs to reduce the autoimmune process.[42] Thymectomy is a surgical method to treat MG.[43]

Medication

Neostigmine, chemical structure
Azathioprine, chemical structure

Worsening may occur with medication such as fluoroquinolones, aminoglycosides, and magnesium.[44] About 10% of people with generalized MG are considered treatment-refractory.[45] Autologous hematopoietic stem cell transplantation (HSCT) is sometimes used in severe, treatment-refractory MG. Available data provide preliminary evidence that HSCT can be an effective therapeutic option in carefully selected cases.[46]

Acetylcholinesterase inhibitors

Acetylcholinesterase inhibitors can provide symptomatic benefit and may not fully remove a person's weakness from MG.[47] While they might not fully remove all symptoms of MG, they still may allow a person the ability to perform normal daily activities.[47] Usually, acetylcholinesterase inhibitors are started at a low dose and increased until the desired result is achieved. If taken 30 minutes before a meal, symptoms will be mild during eating, which is helpful for those who have difficulty swallowing due to their illness. Another medication used for MG, atropine, can reduce the muscarinic side effects of acetylcholinesterase inhibitors.[48] Pyridostigmine is a relatively long-acting drug (when compared to other cholinergic agonists), with a half-life around four hours with relatively few side effects.[49] Generally, it is discontinued in those who are being mechanically ventilated as it is known to increase the amount of salivary secretions.[49] A few high-quality studies have directly compared cholinesterase inhibitors with other treatments (or placebo); their practical benefit may be such that it would be difficult to conduct studies in which they would be withheld from some people.[50]

Immune suppressants

The steroid prednisone might also be used to achieve a better result, but it can lead to the worsening of symptoms for 14 days and takes 6–8 weeks to achieve its maximal effectiveness.[49] Due to the myriad symptoms that steroid treatments can cause, it is not the preferred method of treatment.[49] Other immune suppressing medications may also be used including rituximab.[51]

Plasmapheresis and IVIG

If the myasthenia is serious (myasthenic crisis), plasmapheresis can be used to remove the putative antibodies from the circulation. Also, intravenous immunoglobulins (IVIGs) can be used to bind the circulating antibodies. Both of these treatments have relatively short-lived benefits, typically measured in weeks, and often are associated with high costs which make them prohibitive; they are generally reserved for when MG requires hospitalization.[49][52]

Surgery

As thymomas are seen in 10% of all people with the MG, people are often given a chest X-ray and CT scan to evaluate their need for surgical removal of their thymus and any cancerous tissue that may be present.[18][37] Even if surgery is performed to remove a thymoma, it generally does not lead to the remission of MG.[49] Surgery in the case of MG involves the removal of the thymus, although in 2013 there was no clear indication of any benefit except in the presence of a thymoma.[53] A 2016 randomized controlled trial, however, found some benefits.[54]

Physical measures

People with MG should be educated regarding the fluctuating nature of their symptoms, including weakness and exercise-induced fatigue. Exercise participation should be encouraged with frequent rest.[13] In people with generalized MG, some evidence indicates a partial home program including training in diaphragmatic breathing, pursed-lip breathing, and interval-based muscle therapy may improve respiratory muscle strength, chest wall mobility, respiratory pattern, and respiratory endurance.[55]

Medical imaging

In people with myasthenia gravis, older forms of iodinated contrast used for medical imaging have caused an increased risk of exacerbation of the disease, but modern forms have no immediate increased risk.[56]

Prognosis

The prognosis of people with MG is generally good, as is quality of life, given very good treatment.[57] Monitoring of a person with MG is very important, as at least 20% of people diagnosed with it will experience a myasthenic crisis within two years of their diagnosis, requiring rapid medical intervention.[49] Generally, the most disabling period of MG might be years after the initial diagnosis.[47] In the early 1900s, 70% of detected cases died from lung problems; now, that number is estimated to be around 3–5%, which is attributed to increased awareness and medications to manage symptoms.[49]

Epidemiology

Myasthenia gravis occurs in all ethnic groups and both sexes. It most commonly affects women under 40 and people from 50 to 70 years old of either sex, but it has been known to occur at any age. Younger people rarely have thymoma. The number of people affected in the United States is estimated at between 0.5 and 20.4 cases per 100,000, with an estimated 60,000 Americans affected.[18][58] Within the United Kingdom, an estimated 15 cases of MG occur per 100,000 people.[37]

History

The first to write about MG were Thomas Willis, Samuel Wilks, Erb, and Goldflam.[14] The term "myasthenia gravis pseudo-paralytica" was proposed in 1895 by Jolly, a German physician.[14] Mary Walker treated a person with MG with physostigmine in 1934.[14] Simpson and Nastuck detailed the autoimmune nature of the condition.[14] In 1973, Patrick and Lindstrom used rabbits to show that immunization with purified muscle-like acetylcholine receptors caused the development of MG-like symptoms.[14]

Research

Immunomodulating substances, such as drugs that prevent acetylcholine receptor modulation by the immune system, are currently being researched.[59] Some research recently has been on anti-c5 inhibitors for treatment research as they are safe and used in the treatment of other diseases.[60] Ephedrine seems to benefit some people more than other medications, but it has not been properly studied as of 2014.[7][61] In the laboratory MG is mostly studied in model organisms, such as rodents. In addition, in 2015, scientists developed an in vitro functional all-human, neuromuscular junction assay from human embryonic stem cells and somatic-muscle stem cells. After the addition of pathogenic antibodies against the acetylcholine receptor and activation of the complement system, the neuromuscular co-culture shows symptoms such as weaker muscle contractions.[62]

References

  1. 1.00 1.01 1.02 1.03 1.04 1.05 1.06 1.07 1.08 1.09 1.10 1.11 1.12 1.13 1.14 1.15 1.16 1.17 1.18 1.19 1.20 1.21 1.22 1.23 "Myasthenia Gravis Fact Sheet". NINDS. 10 May 2016. Archived from the original on 27 July 2016. Retrieved 8 August 2016.
  2. Kahan, Scott (2005). In a Page: Neurology. Lippincott Williams & Wilkins. p. 118. ISBN 978-1-4051-0432-6. Archived from the original on 8 September 2017.
  3. 3.0 3.1 Kaminski, Henry J. (2009). Myasthenia Gravis and Related Disorders (2 ed.). Springer Science & Business Media. p. 72. ISBN 978-1-59745-156-7. Archived from the original on 8 September 2017.
  4. 4.0 4.1 Adams, James G. (2012). Emergency Medicine: Clinical Essentials (2 ed.). Elsevier Health Sciences. p. 844. ISBN 978-1-4557-3394-1. Archived from the original on 8 September 2017.
  5. "Emergent Management of Myasthenia Gravis: Overview, Patient History, Physical Examination". emedicine. 20 September 2018. Archived from the original on 5 November 2021. Retrieved 1 February 2022.
  6. Principles of Neural Science (5 ed.). 2012. pp. 318–319. {{cite book}}: Unknown parameter |authors= ignored (help)
  7. 7.0 7.1 Vrinten C, van der Zwaag AM, Weinreich SS, Scholten RJ, Verschuuren JJ (December 2014). "Ephedrine for myasthenia gravis, neonatal myasthenia and the congenital myasthenic syndromes". The Cochrane Database of Systematic Reviews. 12 (12): CD010028. doi:10.1002/14651858.CD010028.pub2. PMID 25515947.
  8. Godoy, DA; Mello, LJ; Masotti, L; Di Napoli, M (September 2013). "The myasthenic patient in crisis: an update of the management in Neurointensive Care Unit". Arquivos de Neuro-psiquiatria. 71 (9A): 627–39. doi:10.1590/0004-282X20130108. PMID 24141444.
  9. 9.0 9.1 McGrogan A, Sneddon S, de Vries CS (2010). "The incidence of myasthenia gravis: a systematic literature review". Neuroepidemiology. 34 (3): 171–183. doi:10.1159/000279334. PMID 20130418.
  10. Ehrlich, Ann; Schroeder, Carol L. (2014). Introduction to Medical Terminology. Cengage Learning. p. 87. ISBN 978-1-133-95174-2. Archived from the original on 8 September 2017.
  11. 11.00 11.01 11.02 11.03 11.04 11.05 11.06 11.07 11.08 11.09 Engel AG (2012). Myasthenia Gravis and Myasthenic Disorders (2nd ed.). Oxford University Press, US. pp. 109–110. ISBN 978-0-19-973867-0. Archived from the original on 8 September 2017.
  12. 12.0 12.1 12.2 12.3 12.4 Scully C (2014). Scully's Medical Problems in Dentistry. Elsevier Health Sciences UK. ISBN 978-0-7020-5963-6. Archived from the original on 8 September 2017.
  13. 13.0 13.1 "Myasthenia Gravis: Practice Essentials, Background, Anatomy". 6 June 2015. Archived from the original on 23 June 2015. {{cite journal}}: Cite journal requires |journal= (help) Archived 23 June 2015 at the Wayback Machine
  14. 14.0 14.1 14.2 14.3 14.4 14.5 14.6 14.7 Nair AG, Patil-Chhablani P, Venkatramani DV, Gandhi RA (October 2014). "Ocular myasthenia gravis: a review". Indian Journal of Ophthalmology. 62 (10): 985–991. doi:10.4103/0301-4738.145987. PMC 4278125. PMID 25449931.{{cite journal}}: CS1 maint: unflagged free DOI (link)
  15. 15.0 15.1 15.2 15.3 15.4 15.5 15.6 Scherer K, Bedlack RS, Simel DL (April 2005). "Does this patient have myasthenia gravis?". JAMA. 293 (15): 1906–1914. doi:10.1001/jama.293.15.1906. PMID 15840866.
  16. 16.0 16.1 Rajendran A; Sundaram S (2014). Shafer's Textbook of Oral Pathology (7th ed.). Elsevier Health Sciences APAC. p. 867. ISBN 978-81-312-3800-4. Archived from the original on 2 April 2017.
  17. MedlinePlus Encyclopedia: Myasthenia gravis
  18. 18.0 18.1 18.2 18.3 18.4 Marx, John A. Marx (2014). Rosen's emergency medicine : concepts and clinical practice (8th ed.). Philadelphia: Elsevier/Saunders. pp. 1441–1444. ISBN 978-1-4557-0605-1.
  19. "Myasthenia gravis". Genetics Home Reference. Archived from the original on 11 July 2015. Retrieved 10 July 2015. Archived 11 July 2015 at the Wayback Machine
  20. Phillips WD, Vincent A (1 January 2016). "Pathogenesis of myasthenia gravis: update on disease types, models, and mechanisms". F1000Research. 5: 1513. doi:10.12688/f1000research.8206.1. PMC 4926737. PMID 27408701.{{cite journal}}: CS1 maint: unflagged free DOI (link)
  21. Sinmaz N, Nguyen T, Tea F, Dale RC, Brilot F (August 2016). "Mapping autoantigen epitopes: molecular insights into autoantibody-associated disorders of the nervous system". Journal of Neuroinflammation. 13 (1): 219. doi:10.1186/s12974-016-0678-4. PMC 5006540. PMID 27577085.{{cite journal}}: CS1 maint: unflagged free DOI (link)
  22. Sathasivam, Sivakumar (January 2014). "Diagnosis and management of myasthenia gravis". Progress in Neurology and Psychiatry. 18 (1): 6–14. doi:10.1002/pnp.315.
  23. "Myasthenia Gravis". PubMed Health. Bethesda, MD: National Library of Medicine. Archived from the original on 18 October 2016. Retrieved 9 July 2015. Archived 18 October 2016 at the Wayback Machine
  24. "Myasthenia Gravis Fact Sheet". www.ninds.nih.gov. National Institute of Neurological Disorders and Stroke (NINDS). Archived from the original on 11 July 2015. Retrieved 10 July 2015. Archived 27 July 2016 at the Wayback Machine
  25. 25.0 25.1 25.2 Varner M (June 2013). "Myasthenia gravis and pregnancy". Clinical Obstetrics and Gynecology. 56 (2): 372–381. doi:10.1097/GRF.0b013e31828e92c0. PMID 23563874.
  26. Téllez-Zenteno, José F; Hernández-Ronquillo, Lizbeth; Salinas, Vicente; Estanol, Bruno; da Silva, Orlando (16 November 2004). "Myasthenia gravis and pregnancy: clinical implications and neonatal outcome". BMC Musculoskeletal Disorders. 5 (1): 42. doi:10.1186/1471-2474-5-42. PMC 534111. PMID 15546494.{{cite journal}}: CS1 maint: unflagged free DOI (link)
  27. 27.0 27.1 27.2 Warrell, David A; Cox, Timothy M; et al. (2003). Oxford Textbook of Medicine. Vol. Volume 3 (Fourth ed.). Oxford. p. 1170. ISBN 978-0-19-852787-9. {{cite book}}: |volume= has extra text (help)
  28. Rudd, Kathryn; Kocisko, Diane (2013). Pediatric Nursing: The Critical Components of Nursing Care. F.A. Davis. ISBN 978-0-8036-4053-5. Archived from the original on 3 June 2016.
  29. Engel AG, Shen XM, Selcen D, Sine SM (April 2015). "Congenital myasthenic syndromes: pathogenesis, diagnosis, and treatment". The Lancet. Neurology. 14 (4): 420–434. doi:10.1016/S1474-4422(14)70201-7. PMC 4520251. PMID 25792100.
  30. "Congenital Myasthenia Information Page: National Institute of Neurological Disorders and Stroke (NINDS)". www.ninds.nih.gov. Archived from the original on 12 July 2015. Retrieved 11 July 2015. Archived 12 July 2015 at the Wayback Machine
  31. Wolfe, Gil I.; Barohn, Richard J. (2009). "Myasthenia Gravis: Classification and Outcome Measurements". Myasthenia Gravis and Related Disorders. pp. 293–302. doi:10.1007/978-1-59745-156-7_18. ISBN 978-1-58829-852-2.
  32. Leite, Maria Isabel; Jacob, Saiju; Viegas, Stuart; Cossins, Judy; Clover, Linda; Morgan, B. Paul; Beeson, David; Willcox, Nick; Vincent, Angela (July 2008). "IgG1 antibodies to acetylcholine receptors in 'seronegative' myasthenia gravis". Brain. 131 (7): 1940–1952. doi:10.1093/brain/awn092. PMC 2442426. PMID 18515870.
  33. MedlinePlus Encyclopedia: Lambert-Eaton syndrome
  34. Selvan VA (January 2011). "Single-fiber EMG: A review". Annals of Indian Academy of Neurology. 14 (1): 64–67. doi:10.4103/0972-2327.78058. PMC 3108086. PMID 21654930.{{cite journal}}: CS1 maint: unflagged free DOI (link)
  35. Kearsey, Christopher; Fernando, Prabhath; D'costa, Domnick; Ferdinand, Phillip (30 June 2010). "The Use of the Ice Pack Test in Myasthenia Gravis". JRSM Short Reports. 1 (1): 14. doi:10.1258/shorts.2009.090037. PMC 2984327. PMID 21103106.
  36. MedlinePlus Encyclopedia: Tensilon test
  37. 37.0 37.1 37.2 Spillane, J.; Higham, E.; Kullmann, D. M. (21 December 2012). "Myasthenia gravis". BMJ. 345 (dec21 3): e8497. doi:10.1136/bmj.e8497. PMID 23261848.
  38. de Kraker M, Kluin J, Renken N, Maat AP, Bogers AJ (June 2005). "CT and myasthenia gravis: correlation between mediastinal imaging and histopathological findings". Interactive Cardiovascular and Thoracic Surgery. 4 (3): 267–271. doi:10.1510/icvts.2004.097246. PMID 17670406.
  39. Allan H. Ropper, Robert H. Brown Adams and Victor's Principles of Neurology McGraw-Hill Professional; 8 edition (2005)
  40. MedlinePlus Encyclopedia: Pulmonary function tests
  41. Emergent Management of Myasthenia Gravis at eMedicine
  42. Mehndiratta, Man Mohan; Pandey, Sanjay; Kuntzer, Thierry (13 October 2014). "Acetylcholinesterase inhibitor treatment for myasthenia gravis". Cochrane Database of Systematic Reviews (10): CD006986. doi:10.1002/14651858.CD006986.pub3. PMID 25310725.
  43. Gronseth, Gary S.; Barohn, Richard J. (12 July 2000). "Practice parameter: Thymectomy for autoimmune myasthenia gravis (an evidence-based review): Report of the Quality Standards Subcommittee of the American Academy of Neurology". Neurology. 55 (1): 7–15. doi:10.1212/wnl.55.1.7. PMID 10891896.
  44. Mehrizi, Mehyar (August 2012). Medications and Myasthenia Gravis (A Reference for Health Care Professionals) (PDF) (Thesis). Department of Neurology, Indiana University School of Medicine. Archived from the original (PDF) on 29 August 2019. Retrieved 29 August 2019.
  45. Valk J (September 1987). "[Clinical and neuropsychological symptoms of normal pressure hydrocephalus]". Nederlands Tijdschrift voor Geneeskunde. 131 (36): 1584–1585. PMC 3670444. PMID 23766745.
  46. Burman, Joachim; Tolf, Andreas; Hägglund, Hans; Askmark, Håkan (February 2018). "Autologous haematopoietic stem cell transplantation for neurological diseases". Journal of Neurology, Neurosurgery & Psychiatry. 89 (2): 147–155. doi:10.1136/jnnp-2017-316271. PMC 5800332. PMID 28866625.
  47. 47.0 47.1 47.2 Mehndiratta MM, Pandey S, Kuntzer T (October 2014). "Acetylcholinesterase inhibitor treatment for myasthenia gravis". The Cochrane Database of Systematic Reviews (10): CD006986. doi:10.1002/14651858.CD006986.pub3. PMID 25310725.
  48. "Atropine – Myasthenia-gravis medicines and drugs". NHS Choices. 2014. Archived from the original on 12 July 2015. Retrieved 11 July 2015. Archived 12 July 2015 at the Wayback Machine
  49. 49.0 49.1 49.2 49.3 49.4 49.5 49.6 49.7 Kumar V, Kaminski HJ (February 2011). "Treatment of myasthenia gravis". Current Neurology and Neuroscience Reports. 11 (1): 89–96. doi:10.1007/s11910-010-0151-1. PMID 20927659.
  50. Mehndiratta, Man Mohan; Pandey, Sanjay; Kuntzer, Thierry (13 October 2014). "Acetylcholinesterase inhibitor treatment for myasthenia gravis". Cochrane Database of Systematic Reviews. doi:10.1002/14651858.CD006986.pub3. PMID 25310725.
  51. Tandan R, Hehir MK, Waheed W, Howard DB (August 2017). "Rituximab treatment of myasthenia gravis: A systematic review". Muscle & Nerve. 56 (2): 185–196. doi:10.1002/mus.25597. PMID 28164324.
  52. Juel VC (March 2004). "Myasthenia gravis: management of myasthenic crisis and perioperative care". Seminars in Neurology. 24 (1): 75–81. doi:10.1055/s-2004-829595. PMID 15229794.
  53. Cea G, Benatar M, Verdugo RJ, Salinas RA (October 2013). "Thymectomy for non-thymomatous myasthenia gravis". The Cochrane Database of Systematic Reviews (10): CD008111. doi:10.1002/14651858.CD008111.pub2. PMID 24122674.
  54. Wolfe GI, Kaminski HJ, Aban IB, Minisman G, Kuo HC, Marx A, et al. (August 2016). "Randomized Trial of Thymectomy in Myasthenia Gravis". The New England Journal of Medicine. 375 (6): 511–522. doi:10.1056/NEJMoa1602489. hdl:2318/1601939. PMC 5189669. PMID 27509100.
  55. Cup EH, Pieterse AJ, Ten Broek-Pastoor JM, Munneke M, van Engelen BG, Hendricks HT, van der Wilt GJ, Oostendorp RA (November 2007). "Exercise therapy and other types of physical therapy for patients with neuromuscular diseases: a systematic review". Archives of Physical Medicine and Rehabilitation. 88 (11): 1452–1464. doi:10.1016/j.apmr.2007.07.024. PMID 17964887.
  56. Mehrizi, Mehyar; Pascuzzi, Robert M. (September 2014). "Complications of radiologic contrast in patients with myasthenia gravis". Muscle & Nerve. 50 (3): 443–444. doi:10.1002/mus.24254. PMID 24677227.
  57. Sieb JP (March 2014). "Myasthenia gravis: an update for the clinician". Clinical and Experimental Immunology. 175 (3): 408–418. doi:10.1111/cei.12217. PMC 3927901. PMID 24117026.
  58. Cea G, Benatar M, Verdugo RJ, Salinas RA (October 2013). "Thymectomy for non-thymomatous myasthenia gravis". The Cochrane Database of Systematic Reviews (10): CD008111. doi:10.1002/14651858.CD008111.pub2. PMID 24122674.
  59. Losen M, Martínez-Martínez P, Phernambucq M, Schuurman J, Parren PW, De Baets MH (2008). "Treatment of myasthenia gravis by preventing acetylcholine receptor modulation". Annals of the New York Academy of Sciences. 1132 (1): 174–179. Bibcode:2008NYASA1132..174L. doi:10.1196/annals.1405.034. PMID 18567867.
  60. Conti-Fine BM, Milani M, Kaminski HJ (November 2006). "Myasthenia gravis: past, present, and future". The Journal of Clinical Investigation. 116 (11): 2843–2854. doi:10.1172/JCI29894. PMC 1626141. PMID 17080188.
  61. Vrinten C, van der Zwaag AM, Weinreich SS, Scholten RJ, Verschuuren JJ (December 2014). "Ephedrine for myasthenia gravis, neonatal myasthenia and the congenital myasthenic syndromes". The Cochrane Database of Systematic Reviews. 12 (12): CD010028. doi:10.1002/14651858.CD010028.pub2. PMID 25515947.
  62. Steinbeck JA, Jaiswal MK, Calder EL, Kishinevsky S, Weishaupt A, Toyka KV, Goldstein PA, Studer L (January 2016). "Functional Connectivity under Optogenetic Control Allows Modeling of Human Neuromuscular Disease". Cell Stem Cell. 18 (1): 134–143. doi:10.1016/j.stem.2015.10.002. PMC 4707991. PMID 26549107.

Further reading

  • Narayanaswami, Pushpa; Sanders, Donald B.; Wolfe, Gil; Benatar, Michael; Cea, Gabriel; Evoli, Amelia; Gilhus, Nils Erik; Illa, Isabel; Kuntz, Nancy L.; Massey, Janice; Melms, Arthur; Murai, Hiroyuki; Nicolle, Michael; Palace, Jacqueline; Richman, David; Verschuuren, Jan (3 November 2020). "International Consensus Guidance for Management of Myasthenia Gravis". Neurology. 96 (3): 114–122. doi:10.1212/WNL.0000000000011124.
  • "NCBI – Diagnostic". www.ncbi.nlm.nih.gov. Archived from the original on 10 December 2017. Retrieved 11 July 2015. Archived 10 December 2017 at the Wayback Machine

External links

Classification
External resources