Melnick–Needles syndrome
| Melnick–Needles syndrome | |
|---|---|
| Other names: Melnick–Needles osteodysplasty | |
![]() | |
| This condition is inherited in an X-linked dominant manner. | |
| Differential diagnosis | Multiple epiphyseal dysplasia |
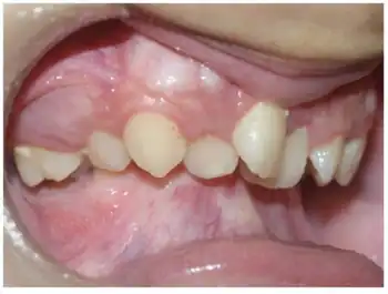
Melnick–Needles syndrome (MNS), also known as Melnick–Needles osteodysplasty, is an extremely rare congenital disorder that affects primarily bone development. Patients with Melnick–Needles syndrome have typical faces (exophthalmos, full cheeks, micrognathia and malalignment of teeth), flaring of the metaphyses of long bones, s-like curvature of bones of legs, irregular constrictions in the ribs, and sclerosis of base of skull.[1]
In males, the disorder is nearly always lethal in infancy. Lifespan of female patients might not be affected.
Melnick–Needles syndrome is associated with mutations in the FLNA gene[2][3] and is inherited in an X-linked dominant manner. As with many genetic disorders, there is no known cure to MNS.
The disorder was first described by John C. Melnick and Carl F. Needles in 1966 in two multi-generational families.[4]
Signs and symptoms

Craniofacial
Melnick-Needles syndrome causes distinctive craniofacial abnormalities. These include full cheeks, a prominent forehead, severe micrognathia and retrognathia. The later two features can cause patients to have difficulty eating and speaking. Other complications that can arise from micrognathia include obstructive sleep apnea, upper airway restriction, increased susceptibility to pneumonia and occasionally even respiratory failure[5]
Skeletal
Individuals with Melnick-Needles typically have a small rib cage and narrow shoulders. The ribs themselves are "ribbon" like and the clavicles are unusually short. The lower portion of the chest appears hollow. Spinal abnormalities may also occur (pectus excavatum).[6] Kyphoscoliosis is common.[7]
S-like curvature of the leg bones is another feature of Melnick-Needles syndrome.[1] The connection between the femur and hip bone may be misaligned, causing an unusual gait. The ilium can be flared and the unusually shape of the pelvis in patients with Melnick-Needles syndrome can make childbirth difficult for affected females.[8]
Other
Other abnormalities associated with Melnick-Needles syndrome include blue sclera, strabismus, bilateral exophthalmus, conductive hearing loss, mitral valve prolapse, tricuspid valve prolapse, bowel malrotation and hydronephrosis. Prune belly syndrome and omphalocele have been observed in lethally affected males.[9]
Cause
The cause of this condition is a mutation in FLNA gene which in turn instructs filamin A protein to change its regulation process in skeletal development. This condition is inherited in an X-linked dominant manner[10]
Diagnosis

The diagnosis of this condition is done via the following:[10]
- Clinical exam
- Radiologic studies
- Family history
- Genetic testing
Treatment
In terms of the management for Melnick-Needles syndrome we find the following:[10]
Prognosis
Females with Melnick-Needles syndrome may display various clinical characteristics of the disease. Symptoms can vary widely even between members of the same family.[11]
Males with Melnick-Needles syndrome experience considerably more severe symptoms than females. As a result they are often stillborn or die shortly after birth.[12] However, survival is possible in males if mosaicism is present.[13]
See also
References
- ↑ 1.0 1.1 Online Mendelian Inheritance in Man (OMIM): 309350
- ↑ Robertson, S. P.; Twigg, S. R. F.; Sutherland-Smith, A. J.; Biancalana, V. R.; Gorlin, R. J.; Horn, D.; Kenwrick, S. J.; Kim, C. A.; Morava, E.; Newbury-Ecob, R.; Orstavik, K. H.; Quarrell, O. W. J.; Schwartz, C. E.; Shears, D. J.; Suri, M.; Kendrick-Jones, J.; Wilkie, C.; OPD-spectrum Disorders Clinical Collaborative Group; Becker, K.; Clayton-Smith, J.; Giovannucci-Uzielli, M.; Goh, D.; Grange, D.; Krajewska-Welasek, M.; Lacombe, D.; Morris, C.; Odent, S.; Savarirayan, R.; Stratton, R.; Superti-Furga, A.; Verloes, A. (2003). "Localized mutations in the gene encoding the cytoskeletal protein filamin A cause diverse malformations in humans" (PDF). Nature Genetics. 33 (4): 487–491. doi:10.1038/ng1119. PMID 12612583. S2CID 25224183. Archived (PDF) from the original on 2015-04-01. Retrieved 2021-11-01. Archived 2015-04-01 at the Wayback Machine
- ↑ Foley, C.; Roberts, K.; Tchrakian, N.; Morgan, T.; Fryer, A.; Robertson, S. P.; Tubridy, N. (2010). "Expansion of the Spectrum of FLNA Mutations Associated with Melnick-Needles Syndrome". Molecular Syndromology. 1 (3). S. Karger AG: 121–126. doi:10.1159/000320184. PMC 2957847. PMID 21031081.
- ↑ Melnick, J. C.; Needles, C. F. (1966). "An Undiagnosed Bone Dysplasia". American Journal of Roentgenology. 97 (1): 39–48. doi:10.2214/ajr.97.1.39. PMID 5938049.
- ↑ "Melnick-Needles Syndrome". Orphanet. Archived from the original on July 9, 2021. Retrieved July 3, 2021. Archived July 9, 2021, at the Wayback Machine
- ↑ "Melnick Needles Syndrome". National Organisation for Rare Disorders. Archived from the original on July 9, 2021. Retrieved July 3, 2021. Archived July 9, 2021, at the Wayback Machine
- ↑ "Melnick-Needles Syndrome". Orphanet. Archived from the original on July 9, 2021. Retrieved July 3, 2021. Archived July 9, 2021, at the Wayback Machine
- ↑ "Melnick Needles Syndrome". Archived from the original on July 9, 2021. Retrieved July 4, 2021. Archived July 9, 2021, at the Wayback Machine
- ↑ "Melnick-Needles Syndrome". Orphanet. Archived from the original on July 9, 2021. Retrieved July 3, 2021. Archived July 9, 2021, at the Wayback Machine
- ↑ 10.0 10.1 10.2 "Melnick-Needles syndrome | Genetic and Rare Diseases Information Center (GARD) – an NCATS Program". rarediseases.info.nih.gov. Archived from the original on 11 April 2021. Retrieved 27 January 2022. Archived 11 April 2021 at the Wayback Machine
- ↑ Foley, C.; Roberts, K.; Tchrakian, N.; Morgan, T.; Fryer, A.; Robertson, S. P.; Tubridy, N. (2010). "Expansion of the Spectrum of FLNA Mutations Associated with Melnick-Needles Syndrome". Molecular Syndromology. 1 (3). S. Karger AG: 121–126. doi:10.1159/000320184. PMC 2957847. PMID 21031081.
- ↑ "Melnick-Needles Syndrome". MedlinePlus. Archived from the original on July 9, 2021. Retrieved July 3, 2021. Archived July 9, 2021, at the Wayback Machine
- ↑ "Melnick-Needles Syndrome". Orphanet. Archived from the original on July 9, 2021. Retrieved July 3, 2021. Archived July 9, 2021, at the Wayback Machine
External links
| Classification | |
|---|---|
| External resources |
|
.svg.png)