Megalencephalic leukoencephalopathy with subcortical cysts
| Megalencephalic leukoencephalopathy with subcortical cysts | |
|---|---|
| Other names: Vacuolating megalencephalic leukoencephalopathy with subcortical cysts | |
![]() | |
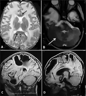
| Megalencephalic leukoencephalopathy with subcortical cysts- a) Bilateral confluent symmetrical diffuse white matter involvement arrow (b) and cerebellar white matter involvement arrow c,d) subcortical cysts in temporal, frontal,parietal areas arrow | |
Megalencephalic leukoencephalopathy with subcortical cysts (MLC, or Van der Knaap disease) is a form of hereditary CNS demyelinating disease. It belongs to a group of disorders called leukodystrophies.
Signs and symptoms
The clinical presentation of this condition is consistent with the following:[1]
- Macrocephaly
- Motor developmental delay
- Seizures
- Ataxia
- Spasticity
Genetics
It is associated with MLC1.[2][3]
Diagnosis
The diagnosis of this condition, Megalencephalic leukoencephalopathy with subcortical cysts is based on the following:[1]
- Clinical features
- MRI
- Genetic test
Treatment
In terms of the management of this condition the following is indicated:[1]
- Physical therapy
- Speech therapy
- Special education
- Antiepileptic drug
History
A series of cases with megalencephalic leukodystrophy were described by the Indian neurologist Bhim Sen Singhal (1933-)in 1991.[4][5][6] However, it is sometimes referred to as Van der Knaap disease after the Dutch neurologist Marjo van der Knaap who described another series of cases with clinical and radiological features in 1995.[7][8][9]
References
- ↑ 1.0 1.1 1.2 van der Knaap, Marjo S.; Abbink, Truus EM; Min, Rogier (1993). "Megalencephalic Leukoencephalopathy with Subcortical Cysts". GeneReviews®. University of Washington, Seattle. Archived from the original on 19 January 2022. Retrieved 4 February 2022. Archived 19 January 2022 at the Wayback Machine
- ↑ Ilja Boor PK, de Groot K, Mejaski-Bosnjak V, et al. (June 2006). "Megalencephalic leukoencephalopathy with subcortical cysts: an update and extended mutation analysis of MLC1". Hum. Mutat. 27 (6): 505–12. doi:10.1002/humu.20332. PMID 16652334. S2CID 3174994.
- ↑ "Megalencephalic leukoencephalopathy with subcortical cysts - Genetics Home Reference". Archived from the original on 2009-03-05. Retrieved 2009-03-11. Archived 2009-03-05 at the Wayback Machine
- ↑ Singhal, BS; Gursahani, RD; Udani, VP; Biniwale, AA (May 1996). "Megalencephalic leukodystrophy in an Asian Indian ethnic group". Pediatric Neurology. 14 (4): 291–6. doi:10.1016/0887-8994(96)00048-3. PMID 8805171.
- ↑ Batla, A; Pandey, S; Nehru, R (January 2011). "Megalencephalic leukoencephalopathy with subcortical cysts: A report of four cases". Journal of Pediatric Neurosciences. 6 (1): 74–7. doi:10.4103/1817-1745.84416 (inactive 31 October 2021). PMC 3173924. PMID 21977097.
{{cite journal}}: CS1 maint: DOI inactive as of October 2021 (link) CS1 maint: unflagged free DOI (link) - ↑ Singhal BS, Gursahani RD, Biniwale AA, Udani VP. Tokyo, Japan: In Proceedings of the 8th Asian and Oceanian Congress of Neurology; 1991. Megalencephalic leukodystrophy in India; p. 72.
- ↑ van der Knaap, Marjo S.; Wevers, Ron A.; Kure, Shigeo; Gabreëls, Fons J. M.; Verhoeven, Nanda M.; van Raaij-Selten, Bertie; Jaeken, Jaak (2 July 2016). "Increased Cerebrospinal Fluid Glycine: A Biochemical Marker for a Leukoencephalopathy With Vanishing White Matter". Journal of Child Neurology. 14 (11): 728–731. doi:10.1177/088307389901401108. PMID 10593550. S2CID 25535446.
- ↑ van der Knaap, MS; Barth, PG; Stroink, H; van Nieuwenhuizen, O; Arts, WF; Hoogenraad, F; Valk, J (March 1995). "Leukoencephalopathy with swelling and a discrepantly mild clinical course in eight children". Annals of Neurology. 37 (3): 324–34. doi:10.1002/ana.410370308. PMID 7695231. S2CID 29580717.
- ↑ van der Knaap, Marjo S; Boor, Ilja; Estévez, Raúl (November 2012). "Megalencephalic leukoencephalopathy with subcortical cysts: chronic white matter oedema due to a defect in brain ion and water homoeostasis". The Lancet Neurology. 11 (11): 973–985. doi:10.1016/S1474-4422(12)70192-8. PMID 23079554. S2CID 31690619.
External links
| Classification | |
|---|---|
| External resources |
|
- GeneReview/NIH/UW entry on Megalencephalic Leukoencephalopathy with Subcortical Cysts Archived 2022-01-19 at the Wayback Machine
