Meconium peritonitis
| Meconium peritonitis | |
|---|---|
![]() | |
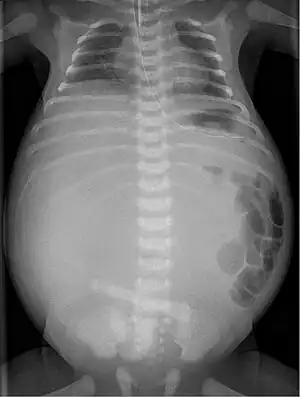
| X-ray of a newborn with meconium pseudocyst resulting from bowel perforation. In this case the cause was atresia of the terminal ileum. There is a fine rim of calcification surrounding the big pseudocyst which shifts the other intestinal structures outwards. | |
Meconium peritonitis refers to rupture of the bowel prior to birth, resulting in fetal stool (meconium) escaping into the surrounding space (peritoneum) leading to inflammation (peritonitis). Despite the bowel rupture, many infants born after meconium peritonitis in utero have normal bowels and have no further issues.
Infants with cystic fibrosis are at increased risk for meconium peritonitis.
Signs and symptoms
In terms of the clinical presentation often it is abdominal distension (at birth)[1]
Cause
The cause of Meconium peritonitis is intrauterine perforation of the bowel which eventuates peritonitis[2]
Diagnosis

Twenty percent of infants born with meconium peritonitis will have vomiting and dilated bowels on x-rays which necessitates surgery.
Meconium peritonitis is sometimes diagnosed on prenatal ultrasound[3] where it appears as calcifications[4] within the peritoneum.
Treatment
Adhesiolysis partial resection of pseudocyst covering enterostomy.
History
Meconium peritonitis was first described in 1838 by Carl von Rokitansky.
References
- ↑ Niramis, R.; Watanatittan, S.; Anuntakosol, M.; Rattanasuwan, T.; Buranakitjaroen, V. (November 1999). "Meconium peritonitis". Journal of the Medical Association of Thailand = Chotmaihet Thangphaet. 82 (11): 1063–1070. ISSN 0125-2208. Archived from the original on 15 September 2022. Retrieved 29 August 2022. Archived 15 September 2022 at the Wayback Machine
- ↑ Pilu, Gianluigi; Nicolaides, Kypros H; Meizner, Israel; Romero, Roberto; Sepulveda, Waldo (1 January 2009). "Chapter 10 - Prenatal diagnosis of fetal anomalies". Ultrasound in Obstetrics and Gynaecology. Elsevier. pp. 157–208. ISBN 978-0-444-51829-3. Archived from the original on 20 April 2021. Retrieved 29 August 2022. Archived 20 April 2021 at the Wayback Machine
- ↑ Tseng JJ, Chou MM, Ho ES (June 2003). "Meconium peritonitis in utero: prenatal sonographic findings and clinical implications". J Chin Med Assoc. 66 (6): 355–9. PMID 12889504.
- ↑ Dirkes, K; Crombleholme, TM; Craigo, SD; Latchaw, LA; Jacir, NN; Harris, BH; D'Alton, ME (July 1995). "The natural history of meconium peritonitis diagnosed in utero". Journal of Pediatric Surgery. 30 (7): 979–82. doi:10.1016/0022-3468(95)90325-9. PMID 7472957.
External links
| Classification |
|---|
