Marinesco–Sjögren syndrome

Marinesco–Sjögren syndrome
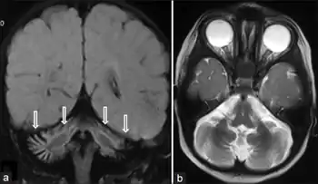
SIL1-negative Marinesco-Sjögren syndrome a,b) MRI coronal and axial image shows cerebellar vermian and hemispheric atrophy
SpecialtyNeurology

Marinesco–Sjögren syndrome (MSS), sometimes spelled Marinescu–Sjögren syndrome, is a rare autosomal recessive disorder.

Signs and symptoms

The syndrome causes cerebellar ataxia (balance and coordination problems), intellectual disability, congenital cataracts in early childhood, muscle weakness, inability to chew food, thin brittle fingernails, and sparse hair.[1]: 578 

Small stature, mild to severe intellectual disability and dysarthria (slow, imprecise speech) are usually present. Various skeletal abnormalities (e.g., curvature of the spine) and hypergonadotropic hypogonadism often occur. Muscle weakness is progressive, but life expectancy is near normal.

Cause

The etiology for this condition is that mutations in SIL1 gene cause problems with its normal protein folding function ,hence there is impaired protein folding[2]

Diagnosis

a)MSS individual with SIL1 mutation has rimmed vacuoles arrow b) no vacuole without SIL1 mutation

Diagnosis of MSS is based on clinical symptoms, magnetic resonance imaging (MRI) of the brain (cerebellar atrophy particularly involving the cerebellar vermis), and muscle biopsy.

It can be associated with mutations of the SIL1 gene,[3][4] and a mutation can be found in about 50% of cases

Differential diagnosis

DDx includes Congenital Cataracts Facial Dysmorphism Neuropathy (CCFDN), Marinesco–Sjögren like syndrome with chylomicronemia, carbohydrate deficient glycoprotein syndromes, Lowe syndrome, and mitochondrial disease.

Treatment

Treatment for MSS is symptomatic and supportive including physical and occupational therapy, speech therapy, and special education. Cataracts must be removed when vision is impaired, generally in the first decade of life. Hormone replacement therapy is needed if hypogonadism is present.

Eponym

It is named for Gheorghe Marinescu and Torsten Sjögren.[5]

See also

References

  1. James, William; Berger, Timothy; Elston, Dirk (2005). Andrews' Diseases of the Skin: Clinical Dermatology. (10th ed.). Saunders. ISBN 0-7216-2921-0.
  2. "Marinesco-Sjögren syndrome: MedlinePlus Genetics". medlineplus.gov. Archived from the original on 16 April 2021. Retrieved 27 December 2021. Archived 16 April 2021 at the Wayback Machine
  3. Senderek J, et al. (2005). "Mutations in SIL1 cause Marinesco–Sjögren syndrome, a cerebellar ataxia with cataract and myopathy". Nat Genet. 37 (12): 1312–4. doi:10.1038/ng1678. PMID 16282977. S2CID 28860307.
  4. Anttonen A, et al. (2005). "The gene disrupted in Marinesco–Sjögren syndrome encodes SIL1, an HSPA5 cochaperone". Nat Genet. 37 (12): 1309–11. doi:10.1038/ng1677. PMID 16282978. S2CID 33094308.
  5. synd/1676 at Who Named It?

Further reading

External links

Classification
External resources