Little League elbow
| Little League elbow | |
|---|---|
| Other names: Medial epicondyle apophysitis (MEA); pitcher's elbow | |
![]() | |
| Baseball pitcher | |
| Specialty | Orthopedics |
| Symptoms | Pain at inside of the elbow[1] |
| Complications | Early growth plate closure, fracture nonunion[2][3] |
| Usual onset | Gradual; 6 to 15 yrs old[4][2] |
| Causes | Repetitive overhead throwing[2] |
| Risk factors | Playing on multiple teams, early specialization, year-round play[2] |
| Diagnostic method | Based on symptoms[5] |
| Differential diagnosis | UCL injury, medial epicondylitis, ulnar neuropathy[2] |
| Treatment | Not throwing (5 wks), physical therapy, return to throwing with proper technique[5] |
| Prognosis | Few months, generally good[5][2] |
| Frequency | Common in certain sports[2] |
Little League elbow, also known as medial epicondyle apophysitis, is an elbow issue that results from a repetitive overhand throwing motion in children.[1][2] Symptoms include gradual onset of pain and tenderness at the inside of the elbow.[1][4] It often results in a decrease in the speed and accuracy people can throw.[5] Complications may include early growth plate closure or fracture nonunion.[2][3]
Commonly involved sports include baseball pitchers, tennis, and volleyball.[2] The underlying mechanism involves excessive stress at the growth plate at the medial epicondyle.[4] Diagnosis is generally based on symptoms.[5] Thought; often normal, X-rays occasionally show slight widening or an avulsion fracture.[4][3] Once growth plates have closed ulnar collateral ligament injury of the elbow more commonly occurs.[6][3]
Management typically involves around five weeks of not throwing, together with physical therapy, and return to throwing with proper technique.[5] NSAIDs and acetaminophen may be used for pain.[2] If an avulsion fracture is present, a cast for around 3 weeks followed by splinting or surgery maybe recommended.[2] Recovery often takes a few months.[5]
Over half of children competing in Little League Baseball regional and national championship events had evidence of being affected at some point in time.[2] It most commonly affects those 6 to 15 years of age.[2] Males are believed to be affected more often than females.[2] It was named by Brogdon and Crow in 1960.[7] In 2007, Little League Baseball began recommending a maximum number of pitches per day.[8]
Signs and symptoms
Little League elbow, or apophysitis of the elbow causes children to feel aching, sharp pain, with or without swelling of the inside of their elbow after pitching. Over time, these symptoms can appear and reappear without warning, even when restricting the athlete to lower velocity pitching.[9] Decreased throwing velocity may also be noted.[10]
Mechanism
Repetitive overhead throws damage the epiphyseal plate at the boney elbow joint. It presents the same whether due to of delayed plate closure, widening, or acute fracture.[11]
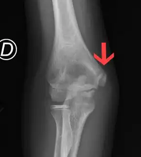
Diagnosis
.jpg)
Diagnosis is generally based on physical exam and history, as X-rays are typically normal. Often there is repetitive, high volume, overhand throwing. There may be tenderness, swelling, limited extension, and stiffness of the elbow on exam.[12] X-rays may be helpful to check if the growth plate is open, see if loose bone chips are present, and see if there are signs of early arthritis.[10] X-rays can also rule out other elbow issues, such as fractures of the medial epicondyle from a trauma.[12][9][10]
Prevention
In order to prevent Little League elbow, athletes should stay active and fit all year, with at least a 3-6 month break from throwing per year. For pitchers, Little League Pitch Count guidelines should be followed, with warmup and non-pitching throws taken into consideration.[13] Following a pitching outing, athletes should rest their arms for a day or two, and should avoid other high-demand throwing positions on the field (eg. catcher). Another key of prevention is proper throwing form and avoidance of "offspeed pitches" to minimize stress on the elbow.[9]
Treatment
An athlete with Little League elbow must rest, rehab, and then gradually return to throwing. Athletes should stop all overhead throwing activities for 4–6 weeks, and use ice to relieve pain and swelling.[12] NSAIDSs are often unnecessary when resting properly. Rehab consists of focused physical therapy to increase elbow range of motion and build muscle groups for throwing (arm, shoulder, back, and core). Athletes can resume throwing once they have regained full range of motion and strength without pain. Initially throwing should begin at a low volume and low intensity, before progressing through a pitching program to get them back to full speed.[12][9] Timelines of recovery vary, but athletes usually return to full strength in 8–12 weeks.[12] A lack of treatment can leave patients susceptible to long term issues.[9]
Outcomes
Without timely activity changes, children may get small fractures in the growth plate, loose bodies or bone chips, and they are more susceptible to early arthritis and bone spurs.[9][10]
Epidemiology
Little League elbow happens to children 8–16 years old who perform repetitive overhand throwing, most often baseball pitchers. The disorder is most common in athletes under age 10 who play year-round and throw excessive amounts.[12][13] Due to the varying degrees of stress placed on the elbow by different pitches, it is recommended to avoid "offspeed" pitches (curveballs and sliders) until high school age.[9][10]
Society and culture
The ailment even appeared in the comic strip Peanuts in 1963 when Charlie Brown received a diagnosis.[14]
See also
References
- ↑ 1.0 1.1 1.2 Rezaee, Amir; Knipe, Henry; Campos, Arlene (6 January 2019). "Little leaguer's elbow". Radiopaedia.org. Radiopaedia.org. doi:10.53347/rID-65363. Archived from the original on 9 July 2024. Retrieved 13 October 2025.
- ↑ 2.00 2.01 2.02 2.03 2.04 2.05 2.06 2.07 2.08 2.09 2.10 2.11 2.12 2.13 2.14 Hodge, C; Schroeder, JD (January 2025). "Medial Epicondyle Apophysitis (Little League Elbow)". StatPearls. PMID 34033354.
- ↑ 3.0 3.1 3.2 3.3 Knipe, Henry. "Medial epicondyle apophysitis". Radiopaedia.org. Retrieved 13 October 2025.
- ↑ 4.0 4.1 4.2 4.3 Savoie FH, 3rd; O'Brien, MJ (February 2024). "Medial elbow injuries in the throwing athlete". Journal of shoulder and elbow surgery. 33 (2): 457–465. doi:10.1016/j.jse.2023.09.012. PMID 37844833.
{{cite journal}}: CS1 maint: numeric names: authors list (link) - ↑ 5.0 5.1 5.2 5.3 5.4 5.5 5.6 Lintner, LJ; Swisher, J; Sitton, ZE (December 2023). "Childhood and Adolescent Sports-Related Overuse Injuries". American family physician. 108 (6): 544–553. PMID 38215415.
- ↑ Purcell, Derek B.; Matava, Matthew J.; Wright, Rick W. (February 2007). "Ulnar collateral ligament reconstruction: a systematic review". Clinical Orthopaedics and Related Research. 455: 72–77. doi:10.1097/BLO.0b013e31802eb447. ISSN 0009-921X. PMID 17279038. S2CID 30674621.
- ↑ Awh, M.D., Mark H. (2 May 2005). "MRI Web Clinic — May 2005: Little League Elbow". Radsource. Retrieved 21 April 2015.
{{cite web}}: CS1 maint: url-status (link) - ↑ Writer, GENARO C. ARMAS Associated Press. "Little League implements new pitch count rule". Foster's Daily Democrat. Retrieved 13 October 2025.
- ↑ 9.0 9.1 9.2 9.3 9.4 9.5 9.6 "Little League Elbow". HealthyChildren.org. 21 November 2015. Archived from the original on 2023-12-11. Retrieved 2023-12-11.
- ↑ 10.0 10.1 10.2 10.3 10.4 Barco, Raul; Antuña, Samuel A. (August 2017). "Medial elbow pain". EFORT Open Reviews. 2 (8): 362–371. doi:10.1302/2058-5241.2.160006. ISSN 2058-5241. PMC 5590003. PMID 28932488.
- ↑ Saltzman, Bryan M.; Chalmers, Peter N.; Mascarenhas, Randy; Cole, Brian J.; Romeo, Anthony A. (September 2014). "Upper Extremity Physeal Injury in Young Baseball Pitchers". The Physician and Sportsmedicine. 42 (3): 100–111. doi:10.3810/psm.2014.09.2081. ISSN 0091-3847. PMID 25295772. S2CID 20598229.
- ↑ 12.0 12.1 12.2 12.3 12.4 12.5 Watkins, Rhonda A.; De Borja, Celina; Ramirez, Faustine (December 2022). "Common Upper Extremity Injuries in Pediatric Athletes". Current Reviews in Musculoskeletal Medicine. 15 (6): 465–473. doi:10.1007/s12178-022-09784-1. ISSN 1935-973X. PMC 9789231. PMID 35913666.
- ↑ 13.0 13.1 Bakshi, Neil K.; Inclan, Paul M.; Kirsch, Jacob M.; Bedi, Asheesh; Agresta, Cristine; Freehill, Michael T. (January 2020). "Current Workload Recommendations in Baseball Pitchers: A Systematic Review". The American Journal of Sports Medicine. 48 (1): 229–241. doi:10.1177/0363546519831010. ISSN 0363-5465. PMID 31013139. S2CID 129943556. Archived from the original on 2023-12-13. Retrieved 2025-06-19.
- ↑ Dean, Charles J. (December 3, 2014). "Good grief: doc who diagnosed 'Little League Elbow' also 'invented modern forensic radiology' (Connecting Alabama)". AL.com. Alabama Media Group. Archived from the original on 4 March 2016. Retrieved 21 April 2015.
External links
| Classification |
|---|
