Kaposi's sarcoma

Kaposi's sarcoma, multiple haemorrhagic sarcoma
Other names: Kaposi sarcoma
Kaposi sarcoma. Characteristic purple lesions on the nose in an HIV-positive female.[1]
Pronunciation
  • /kæˈpsiz/,[2] /ˈkɑːpəsiz, ˈkæpə-/[3]
SpecialtyOncology
SymptomsPurple colored skin lesions[4]
TypesClassic, endemic, immunosuppression therapy-related, epidemic[4][5]
Risk factorsHuman herpesvirus 8 (HHV8), poor immune function[4][6]
Diagnostic methodTissue biopsy, medical imaging[6][4]
Differential diagnosisBlue rubber bleb nevus syndrome, pyogenic granuloma, melanocytic nevi, melanoma[6]
TreatmentSurgery, chemotherapy, radiation therapy, biologic therapy[4]
Frequency42,000 (new cases, 2018)[7]
Deaths20,000 (2018)[7]

Kaposi's sarcoma (KS) is a type of cancer that can form masses in the skin, lymph nodes, or other organs.[4] The skin lesions are usually purple in color.[4] They can occur singularly, in a limited area, or be widespread.[8] It may worsen either gradually or quickly.[6] Lesions may be flat or raised.[6] Human herpesvirus 8 (HHV8) is found in the lesions of all those who are affected.[4] Risk factors include poor immune function, either as a result of disease or specific medications, and chronic lymphedema.[4][6]

Four sub-types are described: classic, endemic, immunosuppression therapy-related, and epidemic.[4] Classic KS tends to affect older men, be slow growing, and affect the legs.[4] Endemic KS occurs in young adult males in Africa and can be more aggressive.[4] Immunosuppression therapy-related KS generally occurs in people following organ transplantation and mostly affects the skin.[4] Epidemic KS occurs in people with AIDS and many parts of the body can be affected.[4] The diagnosis is by tissue biopsy while the extent of disease may be determined by medical imaging.[4][6]

Treatment is based on the sub-type, whether the condition is localized or widespread, and the person's immune function.[6] Localized skin lesions may be treated by surgery, injections of chemotherapy into the lesion, or radiation therapy.[6] Widespread disease may be treated with chemotherapy or biologic therapy.[6][4] In those with HIV/AIDS highly active antiretroviral therapy (HAART) prevents and often treats KS.[9] In certain cases the addition of chemotherapy may be required.[9] With widespread disease, death may occur.[6]

The condition is relatively common in people with HIV/AIDS and following organ transplant as of 2017.[6][9] Over 35% of people with AIDS may be affected.[10] It was first described by Moritz Kaposi in 1872.[8][11] It became more widely known as one of the AIDS-defining illnesses in the 1980s.[8] The virus associated with this cancer was discovered in 1994.[8][12]

Signs and symptoms

KS lesions are nodules or blotches that may be red, purple, brown, or black, and are usually papular.

They are typically found on the skin, but spread elsewhere is common, especially the mouth, gastrointestinal tract and respiratory tract. Growth can range from very slow to explosively fast, and is associated with significant mortality and morbidity.[13]

The lesions are painless, but become cosmetically disfiguring or interruptive to organs.[14]

Skin

Commonly affected areas include the lower limbs, back, face, mouth, and genitalia. The lesions are usually as described above, but may occasionally be plaque-like (often on the soles of the feet) or even involved in skin breakdown with resulting fungating lesions. Associated swelling may be from either local inflammation or lymphoedema (obstruction of local lymphatic vessels by the lesion). Skin lesions may be quite disfiguring for the sufferer, and a cause of much psychosocial pathology.

Mouth

An HIV-positive person presenting with a Kaposi's sarcoma lesion with an overlying candidiasis infection in their mouth

The mouth is involved in about 30% of cases, and is the initial site in 15% of AIDS-related KS. In the mouth, the hard palate is most frequently affected, followed by the gums.[16] Lesions in the mouth may be easily damaged by chewing and bleed or suffer secondary infection, and even interfere with eating or speaking.

Gastrointestinal tract

Involvement can be common in those with transplant-related or AIDS-related KS, and it may occur in the absence of skin involvement. The gastrointestinal lesions may be silent or cause weight loss, pain, nausea/vomiting, diarrhea, bleeding (either vomiting blood or passing it with bowel movements), malabsorption, or intestinal obstruction.[17]

Respiratory tract

Involvement of the airway can present with shortness of breath, fever, cough, coughing up blood or chest pain, or as an incidental finding on chest x-ray.[18] The diagnosis is usually confirmed by bronchoscopy, when the lesions are directly seen and often biopsied. Kaposi's sarcoma of the lung has a poor prognosis.

Cause

Kaposi's sarcoma-associated herpesvirus (KSHV), also called HHV-8, is present in almost 100% of Kaposi sarcoma lesions, whether HIV-related, classic, endemic, or iatrogenic.[19] KSHV encodes oncogenes, microRNAs and circular RNAs that promote cancer cell proliferation and escape from the immune system.

Transmission

In Europe and North America, KSHV is transmitted through saliva. Thus, kissing is a theoretical risk factor for transmission. Higher rates of transmission among gay and bisexual men have been attributed to "deep kissing" sexual partners with KSHV.[20] Another alternative theory suggests that use of saliva as a sexual lubricant might be a major mode for transmission. Prudent advice is to use commercial lubricants when needed and avoid deep kissing with partners with KSHV infection or whose status is unknown.

KSHV is also transmissible via organ transplantation[21] and blood transfusion.[22] Testing for the virus before these procedures is likely to effectively limit iatrogenic transmission.

Pathology

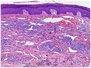
Micrograph of a Kaposi sarcoma showing the characteristic spindle cells, high vascularity and intracellular hyaline globs. H&E stain.

Despite its name, in general it is not considered a true sarcoma,[23][24] which is a tumor arising from mesenchymal tissue. The histogenesis of KS remains controversial.[25] KS may arise as a cancer of lymphatic endothelium[26] and forms vascular channels that fill with blood cells, giving the tumor its characteristic bruise-like appearance. KSHV proteins are uniformly detected in KS cancer cells.

KS lesions contain tumor cells with a characteristic abnormal elongated shape, called spindle cells. The most typical feature of Kaposi sarcoma is the presence of spindle cells forming slits containing red blood cells. Mitotic activity is only moderate and pleomorphism is usually absent.[27] The tumor is highly vascular, containing abnormally dense and irregular blood vessels, which leak red blood cells into the surrounding tissue and give the tumor its dark color. Inflammation around the tumor may produce swelling and pain. Variously sized PAS positive hyaline bodies are often seen in the cytoplasm or sometimes extracellularly.

The spindle cells of Kaposi sarcoma differentiate toward endothelial cells, probably of lymph vessel rather than blood vessel origin.[28] The consistent immunoreactivity for podoplanin supports the lymphatic nature of the lesion.

Diagnosis

Although KS may be suspected from the appearance of lesions and the patient's risk factors, definite diagnosis can be made only by biopsy and microscopic examination. Detection of the KSHV protein LANA in tumor cells confirms the diagnosis.

In differential diagnosis, arteriovenous malformations, pyogenic granuloma and other vascular proliferations can be microscopically confused with KS.[29]

Classification

HHV-8 is responsible for all varieties of KS. Since Moritz Kaposi first described this cancer, the disease has been reported in five separate clinical settings, with different presentations, epidemiology, and prognoses.[30]: 599  All of these forms are infected with KSHV and are different manifestations of the same disease but have differences in clinical aggressiveness, prognosis and treatment.

  • Classic Kaposi sarcoma most commonly appears early on the toes and soles as reddish, violaceous, or bluish-black macules and patches that spread and coalesce to form nodules or plaques.[30]: 599  A small percentage of these patients may have visceral lesions. In most cases the treatment involves surgical removal of the lesion. The condition tends to be indolent and chronic, affecting elderly men from the Mediterranean region, Arabian countries[31] or of Eastern European descent. Countries bordering the Mediterranean basin have higher rates of KSHV/HHV-8 infection than the remainder of Europe.[32][33]
  • Endemic KS, which has two types. Although this may be present worldwide, it has been originally described later in young African people, mainly from sub-Saharan Africa. This variant is not related to HIV infection[34][35] and is a more aggressive disease that infiltrates the skin extensively.[34][36]
    • African lymphadenopathic Kaposi sarcoma is aggressive, occurring in children under 10 years of age, presenting with lymph node involvement, with or without skin lesions.[30]: 599 
    • African cutaneous Kaposi sarcoma presents with nodular, infiltrative, vascular masses on the extremities, mostly in men between the ages of 20 and 50, and is endemic in tropical Africa.[30]: 599 
  • Immunosuppression-associated Kaposi sarcoma had been described, but only rarely until the advent of calcineurin inhibitors (such as ciclosporines, which are inhibitors of T-cell function) for transplant patients in the 1980s, when its incidence grew rapidly. The tumor arises either when an HHV 8-infected organ is transplanted into someone who has not been exposed to the virus or when the transplant recipient already harbors pre-existing HHV 8 infection.[37][38] Unlike classic Kaposi sarcoma, the site of presentation is more variable.[30]: 600 
  • AIDS-associated Kaposi sarcoma typically presents with cutaneous lesions that begin as one or several red to purple-red macules, rapidly progressing to papules, nodules, and plaques, with a predilection for the head, back, neck, trunk, and mucous membranes. In more advanced cases, lesions can be found in the stomach and intestines, the lymph nodes, and the lungs.[30]: 599  Compared to other forms of KS, KS-AIDS stimulated more interest in KS research, as it was one of the first illnesses associated with AIDS and first described in 1981.[39][40][41] This form of KS is over 300 times more common in AIDS patients than in renal transplant recipients. In this case, HHV 8 is sexually transmitted among people also at risk for sexually transmitted HIV infection.[42]

Differential diagnosis

The differential diagnosis includes:[43]

  • Naevus
  • Histiocytoma
  • Cryptococcosis
  • Histoplasmosis
  • Leishmaniasis
  • Pneumocystis lesions
  • Dermatophytosis
  • Angioma
  • Bacillary angiomatosis
  • Pyogenic granuloma
  • Melanoma

Prevention

Blood tests to detect antibodies against KSHV have been developed and can be used to determine whether a person is at risk for transmitting infection to their sexual partner, or whether an organ is infected prior to transplantation. However, these tests are not available except as research tools, and, thus, there is little screening for persons at risk for becoming infected with KSHV, such as people following a transplant.

Treatment

Kaposi sarcoma is not curable, but it can often be treatable for many years. In KS associated with immunodeficiency or immunosuppression, treating the cause of the immune system dysfunction can slow or stop the progression of KS. In 40% or more of peoples with AIDS-associated Kaposi sarcoma, the Kaposi lesions will shrink upon first starting highly active antiretroviral therapy (HAART). Therefore, HAART is considered the cornerstone of therapy in AIDS-associated Kaposi sarcoma. However, in a certain percentage of such people, Kaposi sarcoma may recur after a number of years on HAART, especially if HIV is not completely suppressed.

People with a few local lesions can often be treated with local measures such as radiation therapy or cryosurgery.[44][45] Weak evidence suggests that antiretroviral therapy in combination with chemotherapy is more effective than either of those two therapies individually.[46] Limited basic and clinical evidence suggest that topical beta-blockers, such as timolol, may induce regression of localized lesions in classic as well as HIV-associated Kaposi sarcoma.[47][48] In general, surgery is not recommended, as Kaposi sarcoma can appear in wound edges. In general, more widespread disease, or disease affecting internal organs, is treated with systemic therapy with interferon alpha, liposomal anthracyclines (such as liposomal doxorubicin or daunorubicin), thalidomide, or paclitaxel.[49][50]

Alitretinoin, applied to the lesion, may be used when the lesion are not getting better with standard treatment of HIV/AIDS and chemotherapy or radiation therapy cannot be used.[51]

Epidemiology

With the decrease in the death rate among people with HIV/AIDS receiving new treatments in the 1990s, the rates and severity of epidemic KS also decreased. However, the number of people living with HIV/AIDS is increasing in the United States, and it is possible that the number of people with AIDS-associated Kaposi sarcoma will again rise as these people live longer with HIV infection.

Awareness

It has been reported that only 6% of men who have sex with men are aware that KS is caused by a virus different from HIV.[52] Thus, there is little community effort to prevent KSHV infection. Likewise, no systematic screening of organ donations is in place.

In people with AIDS, Kaposi sarcoma is considered an opportunistic infection, a disease that is able to gain a foothold in the body because the immune system has been weakened. With the rise of HIV/AIDS in Africa, where KSHV is widespread, KS has become the most frequently reported cancer in some countries.

Because of their highly visible nature, external lesions are sometimes the presenting symptom of AIDS. Kaposi sarcoma entered the awareness of the general public with the release of the film Philadelphia, in which the main character was fired after his employers found out he was HIV-positive due to visible lesions. By the time KS lesions appear, it is likely that the immune system has already been severely weakened.

References

  1. Sand, M; Sand, D; Thrandorf, C; Paech, V; Altmeyer, P; Bechara, FG (4 June 2010). "Cutaneous lesions of the nose". Head & Face Medicine. 6: 7. doi:10.1186/1746-160X-6-7. PMC 2903548. PMID 20525327.{{cite journal}}: CS1 maint: unflagged free DOI (link)
  2. Collins English Dictionary – Complete and Unabridged, 12th Edition 2014. S.v. "Kaposi's sarcoma." Retrieved August 15, 2017 from http://www.thefreedictionary.com/Kaposi's+sarcoma Archived 2017-04-14 at the Wayback Machine
  3. Random House Kernerman Webster’s College Dictionary. S.v. "Kaposi's sarcoma." Retrieved August 15, 2017 from http://www.thefreedictionary.com/Kaposi's+sarcoma Archived 2017-04-14 at the Wayback Machine
  4. 4.00 4.01 4.02 4.03 4.04 4.05 4.06 4.07 4.08 4.09 4.10 4.11 4.12 4.13 4.14 4.15 "Kaposi Sarcoma Treatment". National Cancer Institute. 16 June 2017. Archived from the original on 22 December 2017. Retrieved 18 December 2017.
  5. Schneider JW, Dittmer DP (August 2017). "Diagnosis and Treatment of Kaposi Sarcoma". American Journal of Clinical Dermatology. 18 (4): 529–539. doi:10.1007/s40257-017-0270-4. PMC 5509489. PMID 28324233.
  6. 6.00 6.01 6.02 6.03 6.04 6.05 6.06 6.07 6.08 6.09 6.10 6.11 Schwartz RA, Micali G, Nasca MR, Scuderi L (August 2008). "Kaposi sarcoma: a continuing conundrum". Journal of the American Academy of Dermatology. 59 (2): 179–206, quiz 207–8. doi:10.1016/j.jaad.2008.05.001. PMID 18638627.
  7. 7.0 7.1 The Global Cancer Observatory (2019). "Kaposi sarcoma" (PDF). Archived (PDF) from the original on 19 March 2020. Retrieved 14 March 2020.
  8. 8.0 8.1 8.2 8.3 "Kaposi Sarcoma Treatment". National Cancer Institute. 1 October 2015. Archived from the original on 1 December 2017. Retrieved 18 December 2017.
  9. 9.0 9.1 9.2 Hoffmann C, Sabranski M, Esser S (2017). "HIV-Associated Kaposi's Sarcoma". Oncology Research and Treatment. 40 (3): 94–98. doi:10.1159/000455971. PMID 28259888.
  10. Ferri, Fred F. (2017). Ferri's Clinical Advisor 2018 E-Book: 5 Books in 1. Elsevier Health Sciences. p. 735. ISBN 9780323529570. Archived from the original on 2018-03-09. Retrieved 2017-12-18.
  11. Kaposi, M (1872). "Idiopathisches multiples Pigmentsarkom der Haut". Archiv für Dermatologie und Syphilis. 4 (2): 265–273. doi:10.1007/BF01830024. Archived from the original on 2020-02-19. Retrieved 2019-07-03.
  12. Chang Y, Cesarman E, Pessin MS, Lee F, Culpepper J, Knowles DM, Moore PS (December 1994). "Identification of herpesvirus-like DNA sequences in AIDS-associated Kaposi's sarcoma". Science. 266 (5192): 1865–9. Bibcode:1994Sci...266.1865C. doi:10.1126/science.7997879. PMID 7997879. Archived from the original on 2020-09-22. Retrieved 2019-07-03.
  13. Dezube BJ (October 1996). "Clinical presentation and natural history of AIDS--related Kaposi's sarcoma". Hematology/Oncology Clinics of North America. 10 (5): 1023–9. doi:10.1016/S0889-8588(05)70382-8. PMID 8880194.
  14. "Kaposi's Sarcoma". Taber's Cylcopedic Medical Dictionary. 21. F. A. Davis company: 1256. 2009.
  15. 15.0 15.1 15.2 15.3 Soyer, H. Peter; Jakob, Lena; Metzler, Gisela; Chen, Ko-Ming; Garbe, Claus (2011). "Non-AIDS Associated Kaposi's Sarcoma: Clinical Features and Treatment Outcome". PLoS ONE. 6 (4): e18397. Bibcode:2011PLoSO...618397J. doi:10.1371/journal.pone.0018397. ISSN 1932-6203. PMC 3075253. PMID 21533260.{{cite journal}}: CS1 maint: unflagged free DOI (link)
  16. Nichols CM, Flaitz CM, Hicks MJ (November 1993). "Treating Kaposi's lesions in the HIV-infected patient". Journal of the American Dental Association. 124 (11): 78–84. doi:10.14219/jada.archive.1993.0231. PMID 8227776. Archived from the original on 2007-09-29. Retrieved 2007-06-11.
  17. Danzig JB, Brandt LJ, Reinus JF, Klein RS (June 1991). "Gastrointestinal malignancy in patients with AIDS". The American Journal of Gastroenterology. 86 (6): 715–8. PMID 2038993.
  18. Garay SM, Belenko M, Fazzini E, Schinella R (January 1987). "Pulmonary manifestations of Kaposi's sarcoma". Chest. 91 (1): 39–43. doi:10.1378/chest.91.1.39. PMID 3792084. Archived from the original on 2021-08-28. Retrieved 2019-11-18.
  19. Ablashi DV, Chatlynne LG, Whitman JE, Cesarman E (July 2002). "Spectrum of Kaposi's sarcoma-associated herpesvirus, or human herpesvirus 8, diseases". Clinical Microbiology Reviews. 15 (3): 439–64. doi:10.1128/cmr.15.3.439-464.2002. PMC 118087. PMID 12097251.
  20. Pauk J, Huang ML, Brodie SJ, Wald A, Koelle DM, Schacker T, Celum C, Selke S, Corey L (November 2000). "Mucosal shedding of human herpesvirus 8 in men". The New England Journal of Medicine. 343 (19): 1369–77. doi:10.1056/NEJM200011093431904. PMID 11070101.
  21. Parravicini C, Olsen SJ, Capra M, Poli F, Sirchia G, Gao SJ, Berti E, Nocera A, Rossi E, Bestetti G, Pizzuto M, Galli M, Moroni M, Moore PS, Corbellino M (October 1997). "Risk of Kaposi's sarcoma-associated herpes virus transmission from donor allografts among Italian posttransplant Kaposi's sarcoma patients". Blood. 90 (7): 2826–9. PMID 9326251.
  22. Hladik W, Dollard SC, Mermin J, Fowlkes AL, Downing R, Amin MM, Banage F, Nzaro E, Kataaha P, Dondero TJ, Pellett PE, Lackritz EM (September 2006). "Transmission of human herpesvirus 8 by blood transfusion". The New England Journal of Medicine. 355 (13): 1331–8. doi:10.1056/NEJMoa055009. PMID 17005950.
  23. Coffin JM, Hughes SH, Varmus HE (1997). Retroviruses. Cold Spring Harbor, NY: Cold Spring Harbor Laboratory Press. ISBN 978-0-87969-571-2. Archived from the original on 2020-01-09. Retrieved 2017-09-02.
  24. Ensoli B, Sirianni MC (1998). "Kaposi's sarcoma pathogenesis: a link between immunology and tumor biology". Critical Reviews in Oncogenesis. 9 (2): 107–24. doi:10.1615/CritRevOncog.v9.i2.20. PMID 9973245.
  25. Gurzu S, Ciortea D, Munteanu T, Kezdi-Zaharia I, Jung I (2008). "Mesenchymal-to-endothelial transition in Kaposi sarcoma: a histogenetic hypothesis based on a case series and literature review". PLOS ONE. 8 (8): e71530. Bibcode:2013PLoSO...871530G. doi:10.1371/journal.pone.0071530. PMC 3735554. PMID 23936513.{{cite journal}}: CS1 maint: unflagged free DOI (link)
  26. Beckstead JH, Wood GS, Fletcher V (May 1985). "Evidence for the origin of Kaposi's sarcoma from lymphatic endothelium". The American Journal of Pathology. 119 (2): 294–300. PMC 1887903. PMID 2986460.
  27. Rosai J (2011). Rosai and Ackerman's Surgical Pathology (10th ed.). Mosby. ISBN 978-0-8089-2433-3.
  28. Weninger W, et al. "Expression of vascular endothelial growth factor receptor-3 and podoplanin suggest a lymphatic endothelial origin of Kaposi's sarcoma tumor cells". Lab Invest. 1999 (79): 243–251.
  29. Blumenfeld W, et al. "Differential diagnosis of Kaposi's Sarcoma". Arch Pathol Lab Med. 1985 (109): 123–127.
  30. 30.0 30.1 30.2 30.3 30.4 30.5 James, William; Berger, Timothy; Elston, Dirk (2005). Andrews' Diseases of the Skin: Clinical Dermatology (10th ed.). Saunders. ISBN 978-0-7216-2921-6..
  31. Kumar P (2011). "Classic Kaposi's sarcoma in Arabs--widening ethnic involvement". Journal of Cancer Research and Therapeutics. 7 (1): 92–4. doi:10.4103/0973-1482.80456. PMID 21546753.
  32. Iscovich J, Boffetta P, Winkelmann R, Brennan P, Azizi E (October 1998). "Classic Kaposi's sarcoma in Jews living in Israel, 1961-1989: a population-based incidence study". AIDS. 12 (15): 2067–72. doi:10.1097/00002030-199815000-00019. PMID 9814876.
  33. Fenig E, Brenner B, Rakowsky E, Lapidoth M, Katz A, Sulkes A (October 1998). "Classic Kaposi sarcoma: experience at Rabin Medical Center in Israel". American Journal of Clinical Oncology. 21 (5): 498–500. doi:10.1097/00000421-199810000-00016. PMID 9781608.
  34. 34.0 34.1 Cook-Mozaffari P, Newton R, Beral V, Burkitt DP (December 1998). "The geographical distribution of Kaposi's sarcoma and of lymphomas in Africa before the AIDS epidemic". British Journal of Cancer. 78 (11): 1521–8. doi:10.1038/bjc.1998.717. PMC 2063225. PMID 9836488.
  35. Olsen SJ, Chang Y, Moore PS, Biggar RJ, Melbye M (October 1998). "Increasing Kaposi's sarcoma-associated herpesvirus seroprevalence with age in a highly Kaposi's sarcoma endemic region, Zambia in 1985". AIDS. 12 (14): 1921–5. doi:10.1097/00002030-199814000-00024. PMID 9792393. Archived from the original on 2020-08-02. Retrieved 2019-11-18.
  36. Olsen SJ, Chang Y, Moore PS, Biggar RJ, Melbye M (October 1998). "Increasing Kaposi's sarcoma-associated herpesvirus seroprevalence with age in a highly Kaposi's sarcoma endemic region, Zambia in 1985". AIDS. 12 (14): 1921–5. doi:10.1097/00002030-199814000-00024. PMID 9792393. Archived from the original on 2020-08-02. Retrieved 2019-11-18.
  37. Qunibi W, Al-Furayh O, Almeshari K, Lin SF, Sun R, Heston L, Ross D, Rigsby M, Miller G (February 1998). "Serologic association of human herpesvirus eight with posttransplant Kaposi's sarcoma in Saudi Arabia". Transplantation. 65 (4): 583–5. doi:10.1097/00007890-199802270-00024. PMID 9500639.
  38. Luppi M, Barozzi P, Schulz TF, Setti G, Staskus K, Trovato R, Narni F, Donelli A, Maiorana A, Marasca R, Sandrini S, Torelli G (November 2000). "Bone marrow failure associated with human herpesvirus 8 infection after transplantation". The New England Journal of Medicine. 343 (19): 1378–85. doi:10.1056/NEJM200011093431905. PMID 11070102.
  39. Borkovic SP, Schwartz RA (December 1981). "Kaposi's sarcoma presenting in the homosexual man -- a new and striking phenomenon!". Arizona Medicine. 38 (12): 902–4. PMID 7332494.
  40. Hausen, Harald Zur (2006). "Rhadinoviruses". Infections Causing Human Cancer. Weinheim: Wiley-VCH.
  41. Drabell, Fredrick G (2006). "Kaposi's Sarcoma and Renal Diseases". New Topics in Cancer Research. New York: Nova Biomedical Books.
  42. Beral V, Peterman TA, Berkelman RL, Jaffe HW (January 1990). "Kaposi's sarcoma among persons with AIDS: a sexually transmitted infection?". Lancet. 335 (8682): 123–8. doi:10.1016/0140-6736(90)90001-L. PMID 1967430. Archived from the original on 2020-09-26. Retrieved 2018-08-19.
  43. Rook's textbook of dermatology (Ninth ed.). p. 31.29. ISBN 9781118441190.
  44. Tappero JW, Berger TG, Kaplan LD, Volberding PA, Kahn JO (1991). "Cryotherapy for cutaneous Kaposi's sarcoma (KS) associated with acquired immune deficiency syndrome (AIDS): a phase II trial". Journal of Acquired Immune Deficiency Syndromes. 4 (9): 839–46. doi:10.1097/00126334-199109000-00002. PMID 1895204.
  45. Zimmerman EE, Crawford P (December 2012). "Cutaneous cryosurgery". American Family Physician. 86 (12): 1118–24. PMID 23316984.
  46. Anglemyer A, Agrawal AK, Rutherford GW (January 2014). "Treatment of Kaposi sarcoma in children with HIV-1 infection". The Cochrane Database of Systematic Reviews. 1 (1): CD009826. doi:10.1002/14651858.CD009826.pub2. PMID 24464843.
  47. McAllister SC, Hanson RS, Manion RD (November 2015). "Propranolol Decreases Proliferation of Endothelial Cells Transformed by Kaposi's Sarcoma-Associated Herpesvirus and Induces Lytic Viral Gene Expression". Journal of Virology. 89 (21): 11144–9. doi:10.1128/JVI.01569-15. PMC 4621132. PMID 26269192.
  48. Abdelmaksoud A, Filoni A, Giudice G, Vestita M (January 2017). "Classic and HIV-related Kaposi sarcoma treated with 0.1% topical timolol gel". Journal of the American Academy of Dermatology. 76 (1): 153–155. doi:10.1016/j.jaad.2016.08.041. PMID 27986137.
  49. Gill PS, Tulpule A, Espina BM, Cabriales S, Bresnahan J, Ilaw M, Louie S, Gustafson NF, Brown MA, Orcutt C, Winograd B, Scadden DT (June 1999). "Paclitaxel is safe and effective in the treatment of advanced AIDS-related Kaposi's sarcoma". Journal of Clinical Oncology. 17 (6): 1876–83. doi:10.1200/jco.1999.17.6.1876. PMID 10561228.
  50. Sgadari C, Toschi E, Palladino C, Barillari G, Carlei D, Cereseto A, Ciccolella C, Yarchoan R, Monini P, Stürzl M, Ensoli B (July 2000). "Mechanism of paclitaxel activity in Kaposi's sarcoma". Journal of Immunology. 165 (1): 509–17. doi:10.4049/jimmunol.165.1.509. PMID 10861090.
  51. "Summary of Product Characteristics" (PDF). EMA. Archived (PDF) from the original on 23 May 2018. Retrieved 14 March 2020.
  52. Phillips AM, Jones AG, Osmond DH, Pollack LM, Catania JA, Martin JN (December 2008). "Awareness of Kaposi's sarcoma-associated herpesvirus among men who have sex with men". Sexually Transmitted Diseases. 35 (12): 1011–4. doi:10.1097/OLQ.0b013e318182c91f (inactive 2020-01-25). PMC 2593118. PMID 18665016.{{cite journal}}: CS1 maint: DOI inactive as of January 2020 (link)

External links

Classification
External resources