Jordans' anomaly

Jordans' anomaly
Other namesJordan anomaly, Jordans bodies
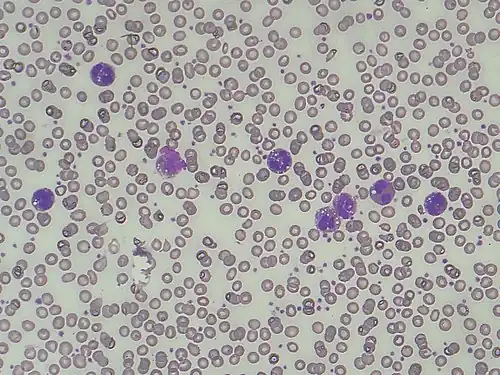
Jordans' anomaly in Chanarin-Dorfman syndrome
Jordans' anomaly in Chanarin-Dorfman syndrome
SpecialtyHematology
SymptomsPersistent vacuolation of white blood cells
Diagnostic methodBlood smear examination

Jordans' anomaly (also known as Jordan anomaly and Jordans bodies) is a familial abnormality of white blood cell morphology. Individuals with this condition exhibit persistent vacuolation of granulocytes and monocytes in the peripheral blood and bone marrow. Jordans' anomaly is associated with neutral lipid storage diseases.[1][2][3]

Genetics

Jordans' anomaly is a characteristic finding in Chanarin-Dorfman syndrome and other neutral lipid storage diseases.[2][4] The anomaly is associated with mutations in the PNPLA2 gene, which produces the enzyme adipose triglyceride lipase (ATGL), and the ABHD5 gene, which encodes a cofactor of ATGL. These mutations lead to defective triglyceride breakdown and accumulation of lipid droplets in cells throughout the body.[3][5][4]

Histopathology

The vacuoles of Jordans' anomaly contain neutral lipids that stain positive with Sudan staining techniques.[2][4]

History

The anomaly was first described in 1953, by Dr. G. H. Jordans, who identified abnormal vacuolation in the white blood cells of two brothers with congenital muscular dystrophy. Using special staining, Jordans demonstrated that the vacuoles contained lipids.[1][6] In 1966, two further cases of persistent lipid vacuoles were reported in sisters presenting with ichthyosis.[7] The Chanarin-Dorfman syndrome, comprising Jordans' anomaly, ichthyosis and lipid storage abnormalities, was defined in the 1970s, definitively connecting Jordans' anomaly to lipid storage disease.[8][4] Jordans' anomaly was linked to genetic mutations affecting triglyceride metabolism in 2006.[5]

References

  1. 1 2 John P. Greer; Sherrie L. Perkins (December 2008). "Chapter 62: Qualitative disorders of leukocytes". Wintrobe's Clinical Hematology. Vol. 1 (12th ed.). Philadelphia, PA: Lippincott Williams & Wilkins. p. 1552. ISBN 978-0-7817-6507-7.
  2. 1 2 3 Barbara J. Bain (11 November 2014). "Chapter 3: Morphology of blood cells". Blood Cells: A Practical Guide (5 ed.). Wiley. pp. 112–113. ISBN 978-1-118-81729-2.
  3. 1 2 Redaelli, Chiara; Coleman, Rosalind A; Moro, Laura; Dacou-Voutetakis, Catherine; Elsayed, Solaf MOHAMED; Prati, Daniele; Colli, Agostino; Mela, Donatella; Colombo, Roberto; Tavian, Daniela (2010). "Clinical and genetic characterization of Chanarin-Dorfman Syndrome patients: first report of large deletions in the ABHD5 gene". Orphanet Journal of Rare Diseases. 5 (1): 33. doi:10.1186/1750-1172-5-33. ISSN 1750-1172. PMC 3019207. PMID 21122093.
  4. 1 2 3 4 Li, Ming; Hirano, Ken-ichi; Ikeda, Yoshihiko; Higashi, Masahiro; Hashimoto, Chikako; Zhang, Bo; Kozawa, Junji; Sugimura, Koichiro; Miyauchi, Hideyuki; Suzuki, Akira; et al. (2019). "Triglyceride deposit cardiomyovasculopathy: a rare cardiovascular disorder". Orphanet Journal of Rare Diseases. 14 (1): 134. doi:10.1186/s13023-019-1087-4. ISSN 1750-1172. PMC 6560904. PMID 31186072.
  5. 1 2 Fischer, Judith; Lefèvre, Caroline; Morava, Eva; Mussini, Jean-Marie; Laforêt, Pascal; Negre-Salvayre, Anne; Lathrop, Mark; Salvayre, Robert (2006). "The gene encoding adipose triglyceride lipase (PNPLA2) is mutated in neutral lipid storage disease with myopathy". Nature Genetics. 39 (1): 28–30. doi:10.1038/ng1951. ISSN 1061-4036. PMID 17187067. S2CID 23679419.
  6. Jordans, G.H. (1953). "The familial occurrence of fat containing vacuoles in the leukocytes diagnosed in two brothers suffering from dystrophia musculorum progressiva (ERB.)". Acta Medica Scandinavica. 145 (6): 419–23. doi:10.1111/j.0954-6820.1953.tb07038.x. PMID 13079655.
  7. Rosenszajn, L.; Klajman, A.; Yaffe, D.; Efrati, P. (1966). "Jordans' Anomaly in White Blood Cells". Blood. 28 (2): 258–265. doi:10.1182/blood.V28.2.258.258. PMID 5330405.
  8. Chanarin I, Patel A, Slavin G, Wills EJ, Andrews TM, Stewart G (1975). "Neutral-lipid storage disease: a new disorder of lipid metabolism". Br Med J. 1 (5957): 553–5. doi:10.1136/bmj.1.5957.553. PMC 1672681. PMID 1139147.{{cite journal}}: CS1 maint: multiple names: authors list (link)