Intestinal spirochetosis
| Intestinal spirochetosis | |
|---|---|
| Other names: Intestinal spirochetes, colonic spirochetosis, colonic spirochetes, brachyspirosis | |
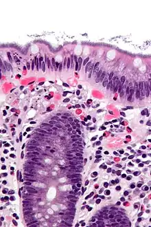
![]() | |
| Histopathology of intestinal spirochetosis, showing basophilic, fringe-like, end-on-end attachment of filamentous densely packed spirochetes on the surface epithelium of the intestinal mucosa.[1] H&E stain. | |
| Specialty | Infectious disease |
Human intestinal spirochetosis, often called just intestinal spirochetosis when the human context is implicit, is an infection of the colonic-type mucosa with certain species of spirochetal bacteria. Similar infections sometimes occur in pigs, dogs, and birds; porcine intestinal spirochaetosis is an economically important disease of livestock.
Signs and symptoms
No clear association exists with complaints. However, potential associations include abdominal pain and watery diarrhea, which may be seen with blood; however, these findings are not specific and may be due to a number of other causes.[2]
Cause
Human intestinal spirochetosis is caused by Brachyspira pilosicoli and Brachyspira aalborgi.[3] Porcine and avian intestinal spirochetosis are caused by Brachyspira hyodysenteriae and Brachyspira pilosicoli.
Diagnosis
It is diagnosed by examination of tissue, i.e. biopsy.
-
Human intestinal spirochetosis in transmission electron microscopy -
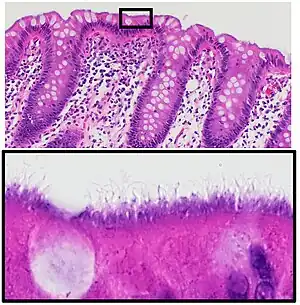
Micrograph showing intestinal spirochetosis
Management
Symptomatic individuals can be treated with oral metronidazole.
See also
References
- ↑ Image by Mikael Häggström, MD. Reference for description: Elliot Weisenberg, M.D. "Intestinal spirochetosis". Pathology Outlines. Archived from the original on 2022-09-01. Retrieved 2022-09-12. Last author update: 1 May 2017. Last staff update: 3 May 2022
- ↑ URL: http://www.jhasim.com/files/articlefiles/pdf/XASIM_Master_6_5_May_Vignette.pdf Archived 2016-03-03 at the Wayback Machine. Accessed on: 25 April 2011.
- ↑ Amat Villegas I, Borobio Aguilar E, Beloqui Perez R, de Llano Varela P, Oquiñena Legaz S, Martínez-Peñuela Virseda JM (January 2004). "[Colonic spirochetes: an infrequent cause of adult diarrhea]". Gastroenterol Hepatol (in español). 27 (1): 21–3. doi:10.1016/s0210-5705(03)70440-3. PMID 14718105.
