Infiltration (medical)

Infiltration in a medical context is the process of cells or substances moving across a barrier, typically a tissue barrier, into a place they are not normally found, or in which they are typically found in lower concentrations. Infiltration may refer to normal physiological processes, such as the infiltration of certain immune cells into peripheral tissues. Infiltration may also refer to pathological processes, such as malignant tumor cells infiltrating new areas of the human body, or small particles infiltrating tissues, where they may cause damage or inflammation.

Types of Infiltration

The term 'infiltration' is frequently used to describe various pathologic and physiologic processes, including but not limited to:

Immune Infiltration

This occurs when immune cells like lymphocytes and macrophages migrate into tissues in response to infection, injury, or inflammation, aiding in defense and healing but potentially contributing to autoimmune diseases if misdirected.[1] Immune cells (especially lymphocytes) also infiltrate into malignant tumors and other neoplasms.[2]

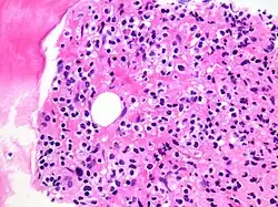
Malignant Infiltration

Hairy cell leukemia infiltrating bone marrow, an example of malignant infiltration

Malignant infiltration involves cancerous cells invading surrounding healthy tissues by breaching normal cellular boundaries, which allows tumors to grow locally and facilitates metastasis to distant organs. This is especially relevant for cancers that cross the blood-brain barrier and cause secondary brain tumors.[3]

Pulmonary Infiltration

This term refers to the accumulation of substances such as fluids, immune cells, bacteria, proteins, foreign particulate matter, and other things within the lung tissue, often detected as non-distinct infiltrates on imaging studies. Tissue biopsy and other tests are frequently used to determine the nature of pulmonary infiltrates, as there are many possible causes.[4]

Immune Complex Infiltration

Antibody-antigen immune complexes can sometimes precipitate out of serum and infiltrate tissues surrounding capillaries and other small blood vessels. Pathologically, this is often relevant in lung disease and kidney disease. These typically interact with local complement proteins or induce other immune system responses, resulting in a Type III hypersensitivity reaction.[5]

Fatty Infiltration

Also known as steatosis, where excessive fat accumulates within cells of organs like the liver or muscle fibers. It is often linked to hyperlipidemia, among other risk factors.[6][7][8]

Anesthetic Infiltration

A medical technique involving the injection of local anesthetics into tissues to provide numbness for minor surgical procedures or pain relief.[9]

References

  1. Lebiedziński, Filip; Lisowska, Katarzyna Aleksandra (2023-07-17). "Impact of Vitamin D on Immunopathology of Hashimoto's Thyroiditis: From Theory to Practice". Nutrients. 15 (14): 3174. doi:10.3390/nu15143174. ISSN 2072-6643. PMC 10385100. PMID 37513592.
  2. Sokratous, Giannis; Polyzoidis, Stavros; Ashkan, Keyoumars (2017-03-31). "Immune infiltration of tumor microenvironment following immunotherapy for glioblastoma multiforme". Human Vaccines & Immunotherapeutics. 13 (11): 2575–2582. doi:10.1080/21645515.2017.1303582. ISSN 2164-5515. PMC 5703406. PMID 28362548.
  3. Maria, Bernard L.; Eskin, Thomas A.; Quisling, Ronald G. (October 1993). "Topical Review Article: Brainstem and Other Malignant Gliomas: II. Possible Mechanisms of Brain Infiltration by Tumor Cells". Journal of Child Neurology. 8 (4): 292–305. doi:10.1177/088307389300800402. ISSN 0883-0738. PMID 8228024.
  4. Kolejwa, Monika Urszula; Adesanya, Oludolapo; Parr, David (2022-06-23). "Diagnosing the cause of pulmonary infiltrates in an acutely unwell patient". BMJ Case Reports. 15 (6) e251130. doi:10.1136/bcr-2022-251130. ISSN 1757-790X. PMC 9234907. PMID 35750425.
  5. Kwant, Lianne E.; Vegting, Yosta; Tsang-a-Sjoe, Michel W.P.; Kwakernaak, Arjan J.; Vogt, Liffert; Voskuyl, Alexandre E.; van Vollenhoven, Ronald F.; de Winther, Menno P.J.; Bemelman, Frederike J.; Anders, Hans-Joachim; Hilhorst, Marc L. (December 2022). "Macrophages in Lupus Nephritis: Exploring a potential new therapeutic avenue". Autoimmunity Reviews. 21 (12) 103211. doi:10.1016/j.autrev.2022.103211. PMID 36252930.
  6. Ferraioli, Giovanna; Soares Monteiro, Livia Beatriz (2019-10-28). "Ultrasound-based techniques for the diagnosis of liver steatosis". World Journal of Gastroenterology. 25 (40): 6053–6062. doi:10.3748/wjg.v25.i40.6053. ISSN 1007-9327. PMC 6824276. PMID 31686762.
  7. Rana, Khizar; Tiwari, Shubham; Seto, Liwen; Kraczkowska, Amber; Patel, Sandy; To, Minh-Son; Selva, Dinesh (2024-09-12). "Fatty infiltration of extraocular muscles on magnetic resonance imaging". Orbit. 44 (2): 145–149. doi:10.1080/01676830.2024.2391909. ISSN 0167-6830. PMID 39264319.
  8. Wilson, Ailsa; MacLean, Simon BM (October 2022). "Fatty infiltration in the intact supraspinatus tendon; a normal physiological response with increasing age and female gender". Shoulder & Elbow. 14 (5): 510–514. doi:10.1177/17585732211024504. ISSN 1758-5732. PMC 9527490. PMID 36199502.
  9. Meechan, John G. (September 2011). "The use of the mandibular infiltration anesthetic technique in adults". The Journal of the American Dental Association. 142: 19S – 24S. doi:10.14219/jada.archive.2011.0343. PMID 21881058.