Histiocytoma
| Histiocytoma | |
|---|---|
| Specialty | Oncology |
A histiocytoma is a tumour consisting of histiocytes.[1] Histiocytes are cells that are a part of the mononuclear phagocytic system, a part of the body's immune system that consists of phagocytic cells, which are responsible for engulfing solid particles by the cell membrane to form an internal phagosome by phagocytes and protists.
Types include:
- myxofibrosarcoma
- benign fibrous histiocytoma
- malignant fibrous histiocytoma
- histiocytoma (dog)
-
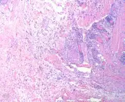
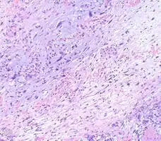
Myxofibrosarcoma-pathology -
Myxofibrosarcoma-pathology -
Myxofibrosarcoma-pathology -
Myxofibrosarcoma-pathology -
Myxofibrosarcoma-pathology -
Myxofibrosarcoma-pathology -
Myxofibrosarcoma-pathology -
Myxofibrosarcoma-pathology
References
External links
| Classification |
|
|---|