Folliculosebaceous cystic hamartoma
| Folliculosebaceous cystic hamartoma | |
|---|---|
| Adnexoblastic (folliculosebaceous) trichoid hamartoma | |
| Specialty | Dermatology |
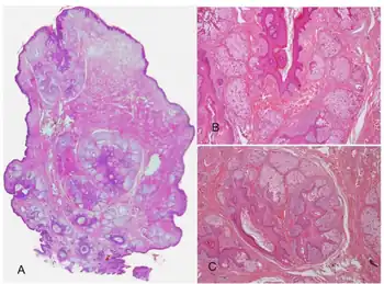
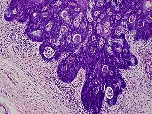
Folliculosebaceous cystic hamartoma abbreviated as (FSCH) is a rare cutaneous hamartoma consisting of dilated folliculosebaceous units invested in mesenchymal elements.[1]: 676 it typically affects adults, have a predilection for the central face or scalp, with less than 1.5 cm dimension.[2] Clinically, the lesions are asymptomatic, rubbery to firm in consistency, and usually occur on or above the neck in (> 90%) of cases, Histopathologically, FSCH shares several similar features to sebaceous trichofolliculoma, but it is usually possible to differentiate these two tumors.[3]

See also
References
- ↑ James, William D.; Berger, Timothy G.; et al. (2006). Andrews' Diseases of the Skin: Clinical Dermatology. Saunders Elsevier. ISBN 0-7216-2921-0.
- ↑ Cole P, Kaufman Y, Dishop M, Hatef DA, Hollier L (October 2008). "Giant, congenital folliculosebaceous cystic hamartoma: a case against a pathogenetic relationship with trichofolliculoma". Am J Dermatopathol. 30 (5): 500–3. doi:10.1097/DAD.0b013e318183eb07. PMID 18806500.
- ↑ Tanimura S, Arita K, Iwao F, et al. (January 2006). "Two cases of folliculosebaceous cystic hamartoma". Clin. Exp. Dermatol. 31 (1): 68–70. doi:10.1111/j.1365-2230.2005.01974.x. PMID 16309487.
Template:Epidermal-growth-stub