Febrile infection-related epilepsy syndrome
| Febrile infection-related epilepsy syndrome | |
|---|---|
| Other names: Acute encephalitis with refractory repetitive partial seizures (AERRPS); devastating epileptic encephalopathy in school aged children (DESC); fever induced refractory epilepsy in school-aged children | |
![]() | |
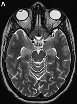
| MRI in FIRES showing changes in the mesiotemporal structures (arrow)[1] | |
| Specialty | Neurology |
| Symptoms | Severe seizures within two weeks of fever[2] |
| Complications | Intellectual disability, behavioral problems, ongoing seizures[3][2] |
| Usual onset | 2-17 yrs[2] |
| Causes | Unknown[2] |
| Differential diagnosis | Viral encephalitis, hypoxic-ischemic brain injury, mitochondrial disorders, autoimmune encephalitis[4][3] |
| Treatment | Benzodiazepines, barbiturates, ketogenic diet[3] |
| Prognosis | Poor[2] |
| Frequency | 1 in 1,000,000/yr (children)[3] |
| Deaths | 12% risk of death[3] |
Febrile infection-related epilepsy syndrome (FIRES) is onset of severe seizures (status epilepticus) following a febrile illness in someone who was previously healthy.[2] The seizures may initially be focal; however, often become tonic-clonic.[5] Complications often include intellectual disability, behavioral problems, and ongoing seizures.[2][3]
The underlying cause is unclear.[2] Often there is an upper respiratory tract or gastroenteritis one day to two weeks before onset.[2] Diagnosis involves extensive testing to rule out other possible causes.[3][6] It may also be supported by MRI.[7] It is a type of new-onset refractory status epilepticus (NORSE).[6]
The seizures are often resistant to treatment.[3] High doses of benzodiazepines or barbiturates are often used, with care taking place in the intensive care unit.[3] A ketogenic diet may help in some cases.[2] The medications anakinra or tocilizumab have been tried.[3] The risk of death, despite treatment is about 12%.[3]
The condition newly affects about one in a million children per year.[3] Onset is generally in children between the ages of 2 and 17.[2] Males appear to be more commonly affected than females.[3] Cases consistent with the condition were first described in 1961, with the current name coming into use in 2010.[6]
Signs and symptoms
FIRES starts with a febrile illness up to two weeks before seizure onset. These seizures damage the frontal lobe's cognitive brain function such as memory and sensory abilities. This can result in learning disabilities,[8] behavioral disorders, memory issues, sensory changes, and possibly death. Children continue to have seizures throughout their lives. The term was previously used only for cases that occur in children but was redefined to include all ages.[9]
Cause
The cause is not known.[10] There are some common symptoms, such as onset after a nonspecific febrile illness, gastrointestinal illness, or upper respiratory infection. This prior illness is often cleared 1–14 days prior to the person's first seizures. There are theories of an immunological source, a genetic predisposition, and an inflammation-mediated process, but the definite cause is unknown. It is more common in boys more than girls.[11][12]
Diagnosis
FIRES is difficult to diagnose due to its rarity and lack of definitive biomarker. It is often diagnosed by ruling out other options such as infectious, toxic, metabolic, and genetic causes. FIRES will consist of two phases - acute and chronic. The acute phase consists of highly recurrent focal seizures, rapidly evolving into refractory status epilepticus. The chronic phase consists of drug-resistant epilepsy with cognitive impairment.
EEG
EEG findings suggest FIRES is a focal process with focal onset seizures. In a 2011 study of 77 FIRES patients, 58 had focal seizures. Of the 58, 50 had secondarily generalizing seizures (seizures that evolve from focal to generalized).[8][13] On a 10-20 scalp electrode EEG, the ictal activity commonly begins temporally and spreads hemispherically and/or bilaterally.[14] Interictally, patients may have slowing that may be considered an encephalopathic pattern.[15] A recent study of 12 FIRES patients demonstrated diffuse delta-theta background slowing interictally in all 12 cases.[16]
Treatment

- Barbiturates maybe effective in status epileticus.[19]
- Ketogenic diet maybe helpful in some cases[2][8][20][21]
History
FIRES was named in 2010 by Andreas van Baalen and colleagues.[6][22] Previous names include AERRPS (acute encephalitis with refractory, repetitive partial seizures), DESC (Devastating Epilepsy in School-aged Children),[23] and NORSE (New-Onset Refractory Status Epilepticus).[23]
References
- ↑ Di Dier, Kelly; Dekesel, Lucas; Dekeyzer, Sven (29 June 2023). "The Claustrum Sign in Febrile Infection-Related Epilepsy Syndrome (FIRES)". Journal of the Belgian Society of Radiology. 107 (1). doi:10.5334/jbsr.3142.
{{cite journal}}:|access-date=requires|url=(help)CS1 maint: unflagged free DOI (link) - ↑ 2.00 2.01 2.02 2.03 2.04 2.05 2.06 2.07 2.08 2.09 2.10 2.11 "Febrile infection related epilepsy". www.epilepsydiagnosis.org. ILAE. Archived from the original on 2 August 2023. Retrieved 9 September 2023.
- ↑ 3.00 3.01 3.02 3.03 3.04 3.05 3.06 3.07 3.08 3.09 3.10 3.11 3.12 Nabbout, Rima. "Orphanet: Febrile infection related epilepsy syndrome". www.orpha.net. Archived from the original on 31 March 2023. Retrieved 9 September 2023.
- ↑ "Febrile infection related epilepsy". www.epilepsydiagnosis.org. Archived from the original on 11 August 2022. Retrieved 9 September 2023.
- ↑ "FEBRILE INFECTION RELATED EPILEPSY". www.epilepsydiagnosis.org. Archived from the original on 11 August 2022. Retrieved 9 September 2023.
- ↑ 6.0 6.1 6.2 6.3 Specchio, Nicola; Pietrafusa, Nicola (August 2020). "New‐onset refractory status epilepticus and febrile infection‐related epilepsy syndrome". Developmental Medicine & Child Neurology. 62 (8): 897–905. doi:10.1111/dmcn.14553.
- ↑ Sharma, Rohit. "Febrile infection-related epilepsy syndrome (FIRES)". Radiopaedia. Retrieved 9 May 2025.
- ↑ 8.0 8.1 8.2 Kramer, U; Chi, CS; Lin, KL; Specchio, N; Sahin, M; Olson, H; Nabbout, R; Kluger, G; Lin, JJ; van Baalen, A (November 2011). "Febrile infection-related epilepsy syndrome (FIRES): pathogenesis, treatment, and outcome: a multicenter study on 77 children". Epilepsia. 52 (11): 1956–65. doi:10.1111/j.1528-1167.2011.03250.x. PMID 21883180.
- ↑ Hirsch, LU; Gaspard, N; van Baalen, A; Nabbout, R; Demeret, S; Loddenkemper, T; Navarro, N; Specchio, N; Lagae, L; Rossetti, A; Hocker, S; Gofton, TE; Abend, NS; Gilmore, EJ; Hahn, C; Khosravani, H; Rosenow, F; Trinka, E (April 2018). "Proposed consensus definitions for new‐onset refractory status epilepticus (NORSE), febrile infection‐related epilepsy syndrome (FIRES), and related conditions". Epilepsia. 59 (4): 739–744. doi:10.1111/epi.14016. PMID 29399791. S2CID 4495659.
- ↑ "FEBRILE INFECTION RELATED EPILEPSY". www.epilepsydiagnosis.org. Archived from the original on 12 October 2014. Retrieved 7 October 2014.
- ↑ Appenzeller, S; Helbig, I; Stephani, U; Haeusler, M; Kluger, G; Bungeroth, M; Müller, S; Kuhlenbäumer, G; Van Baalen, A (2012). "Febrile infection-related epilepsy syndrome (FIRES) is not caused by SCN1A, POLG, PCDH19 mutations or rare copy number variations". Developmental Medicine & Child Neurology. 54 (12): 1144–1148. doi:10.1111/j.1469-8749.2012.04435.x. PMID 23066759. S2CID 19954159.
- ↑ van Baalen, A; Häusler, M; Boor, R; Rohr, A; Sperner, J; Kurlemann, G; Panzer, A; Stephani, U; Kluger, G (2010). "Febrile infection-related epilepsy syndrome (FIRES): a nonencephalitic encephalopathy in childhood". Epilepsia. 51 (7): 1323–1328. doi:10.1111/j.1528-1167.2010.02535.x. PMID 20345937. S2CID 27421912.
- ↑ Fox, Kristy; Wells, Mary Ellen; Tennison, Michael; Vaughn, Bradley (July 11, 2017). "Febrile Infection-Related Epilepsy Syndrome (FIRES): A Literature Review and Case Study". The Neurodiagnostic Journal. 57 (3): 224–233. doi:10.1080/21646821.2017.1355181. PMID 28898171. S2CID 8944135. Archived from the original on August 9, 2021. Retrieved August 18, 2023.
- ↑ Howell, KB; Katanyuwong, K; Mackay, MT; Bailey, CA; Scheffer, IE; Freeman, JL; Berkovic, SF; Harvey, A (2012). "Long-term follow-up of febrile infection-related epilepsy syndrome". Epilepsia. 53 (1): 101–110. doi:10.1111/j.1528-1167.2011.03350.x. PMID 22191582. S2CID 9165846.
- ↑ Nabbout, R; Vezzani, A; Dulac, O; Chiron, C (2011). "Acute encephalopathy with inflammation-mediated status epilepticus". Lancet Neurol. 10 (1): 99–108. doi:10.1016/S1474-4422(10)70214-3. PMID 21163447. S2CID 206159592.
- ↑ Carabello, RH; Reyes, G; Avaria, MF; Buompadre, MC; Gonzalez, M; Fortini, S; Cersosimo, R (2013). "Febrile infection related epilepsy syndrome: a study of 12 patients". Seizure. 22 (7): 553–559. doi:10.1016/j.seizure.2013.04.005. PMID 23643626. S2CID 14416943.
- ↑ Rachfalska, Natalia; Pietruszewski, Jerzy; Paprocka, Justyna (2 August 2021). "Dramatic Course of Paediatric Cryptogenic Febrile Infection-Related Epilepsy Syndrome with Unusual Chronic Phase Presentation—A Case Report with Literature Study". Brain Sciences. 11 (8): 1030. doi:10.3390/brainsci11081030. ISSN 2076-3425. Retrieved 10 September 2023.
{{cite journal}}: CS1 maint: unflagged free DOI (link) - ↑ RESERVED, INSERM US14-- ALL RIGHTS. "Orphanet: Febrile infection related epilepsy syndrome". www.orpha.net. Retrieved 11 September 2023.
{{cite web}}: CS1 maint: numeric names: authors list (link) - ↑ Pranzatelli, MR; Nadi, NS (1995). "Mechanism of action of antiepileptic and antimyoclonic drugs". Advances in neurology. 67: 329–60. PMID 8848979.
- ↑ Mikaeloff, Y; Jambaqué, I; Hertz-Pannier, L; Zamfirescu, A; Adamsbaum, C; Pluin, P; Dulac, O; Chiron, C (2006). "Devastating epileptic encephalopathy in school-aged children (DESC): a pseudo encephalitis". Epilepsy Res. 69 (1): 67–79. doi:10.1016/j.eplepsyres.2006.01.002. PMID 16469483. S2CID 25351321.
- ↑ Nabbout, R; Mazzuca, M; Hubert, P; Peudennier, S; Allaire, C; Flurin, V; Aberastury, M; Silva, W; Dulac, O (2010). "Efficacy of ketogenic diet in severe refractory status epilepticus initiating fever induced refractory epileptic encephalopathy in school age children (FIRES)". Epilepsia. 51 (10): 2033–2037. doi:10.1111/j.1528-1167.2010.02703.x. PMID 20813015. S2CID 19453163.
- ↑ van Baalen, A; Häusler, M; Boor, R; Rohr, A; Sperner, J; Kurlemann, G; Panzer, A; Stephani, U; Kluger, G (July 2010). "Febrile infection-related epilepsy syndrome (FIRES): a nonencephalitic encephalopathy in childhood". Epilepsia. 51 (7): 1323–8. doi:10.1111/j.1528-1167.2010.02535.x. PMID 20345937. S2CID 27421912.
- ↑ 23.0 23.1 Simon Shorvon and Monica Ferlisi (2011-09-13). "The treatment of super-refractory status epilepticus: a critical review of available therapies and a clinical treatment protocol". Brain. 134 (Pt 10). Brain.oxfordjournals.org: 2802–2818. doi:10.1093/brain/awr215. PMID 21914716.
External links
| Classification | |
|---|---|
| External resources |
|
