Endometrial stromal nodule

Endometrial stromal tumors
SpecialtyOncology, gynecology
FrequencyRare[1]

An endometrial stromal nodule is a noncancerous tumor of the uterus.[2]

It is a subtype of endometrial stromal tumor belonging to the mesenchymal tumors of the main body of the uterus.[1] The appearance of the cells is identical to normal endometrial stromal cells.[1] This can only be differentiated from low-grade endometrial stromal sarcoma by confirming lack of infiltration.

The differential includes cellular leiomyoma. Diagnosis may be aided by immunostaining; endometrial stromal nodules are positive for CD10; leiomyomas are positive for caldesmon and desmin (and sometimes CD10).

It is rare.[1]

Diagnosis

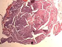
Endometrial Stromal Nodule

See also

References

  1. 1.0 1.1 1.2 1.3 WHO Classification of Tumours Editorial Board, ed. (2020). "6. Tumours of the uterine corpus". Female genital tumours: WHO Classification of Tumours. Vol. 4 (5th ed.). Lyon (France): International Agency for Research on Cancer. p. 286. ISBN 978-92-832-4504-9. Archived from the original on 2022-06-17. Retrieved 2022-07-30.
  2. Howitt, Brooke E.; Nucci, Marissa R. (2019). "1. Uterine mesenchymal lesions". In Zheng, Wenxin; Fadare, Oluwole; Quick, Charles Matthew; Shen, Danhua; Guo, Donghui (eds.). Gynecologic and Obstetric Pathology. Vol. 2. Springer: Springer. pp. 1–2. ISBN 978-981-13-3018-6. Archived from the original on 2022-08-01. Retrieved 2022-07-30.