Dysgerminoma of ovary
| Dysgerminoma of ovary | |
|---|---|
| Other names: Dysgerminoma, dysgerminoma of the ovary, germ cell dysgerminoma of ovary, germ cell dysgerminoma of the ovary, ovarian dysgerminoma, ovarian germ cell dysgerminoma, ovary dysgerminoma (disease)[1] | |
![]() | |
| Excision of a dysgerminoma | |
| Specialty | Oncology, gynecology |
| Symptoms | Tummy ache, localised enlargement[2] |
| Usual onset | Teenage, young adult[2] |
| Causes | Abnormalities in chromosome 12[2] |
| Risk factors | Young females[2] |
| Diagnostic method | Raised LDL[2] |
| Treatment | Surgery,[3] chemotherapy, radiotherapy[1] |
| Prognosis | 10-year survival >90%, 10% recur within 2-years[2] |
| Frequency | 1% of ovarian tumors overall[2] |
Dysgerminoma of ovary is a cancerous ovarian tumor of the germ cell type.[1] It typically presents with pain or localised enlargement in the tummy.[2] The tumor tends to grow slowly and occurs in young females in their teenage years and early adulthood.[4]
80% have abnormalities in chromosome 12.[2] It may occur in association with gonadoblastoma in people with gonadal dysgenesis.[2] A blood test typically shows a raised LDL.[2] Treatment is by surgery to remove the tumor.[3] It responds well to chemotherapy and radiotherapy.[1] 10-year survival rate is more than 90%, with 10% recurring typically within 2-years.[2]
Dysgerminoma of ovary is the most common cancerous germ cell tumor and accounts for around 1% of ovarian tumors overall.[2] It occurs in both ovaries in 10% of cases.[2]
Signs and symptoms
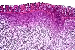
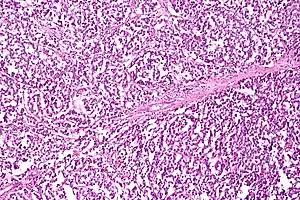
They are exceptionally associated with hypercalcemia. On gross examination, dysgerminomas present with a smooth, bosselated (knobby) external surface, and is soft, fleshy and either cream-coloured, gray, pink or tan when cut. Microscopic examination typically reveals uniform cells that resemble primordial germ cells. Typically, the stroma contains lymphocytes and about 20% of patients have sarcoid-like granulomas. Metastases are most often present in the lymph nodes.
Dysgerminoma usually occurs in adolescence and early adult life; about 5% occur in pre-pubertal children. Dysgerminoma is extremely rare after age 50.
Diagnosis
LDH tumour markers is elevated in 95% of the cases. A tumor of the identical histology but not occurring in the ovary may be described by an alternate name: seminoma in the testis[5] or germinoma in the central nervous system or other parts of the body.
-
Micrograph of a dysgerminoma, H&E stain -
Dysgerminoma characterized by uniform cells separated by fibrous septa with lymphocytes, H&E stain. -
Low-power view of a dysgerminoma infiltrating the colonic wall, H&E stain.
Treatment
Dysgerminomas, like other seminomatous germ cell tumors, are very sensitive to both chemotherapy and radiotherapy. For this reason, with treatment patients' chances of long-term survival, even cure, is excellent.[6]
See also
References
- ↑ 1.0 1.1 1.2 1.3 "Dysgerminoma of ovary (Concept Id: C0346185) - MedGen - NCBI". www.ncbi.nlm.nih.gov. National Institutes of health. Archived from the original on 2 July 2022. Retrieved 1 July 2022.
- ↑ 2.00 2.01 2.02 2.03 2.04 2.05 2.06 2.07 2.08 2.09 2.10 2.11 2.12 2.13 WHO Classification of Tumours Editorial Board, ed. (2020). "1. Tumours of the ovary: dysgerminoma". Female genital tumours: WHO Classification of Tumours. Vol. 4 (5th ed.). Lyon (France): International Agency for Research on Cancer. pp. 123–124. ISBN 978-92-832-4504-9. Archived from the original on 2022-06-17. Retrieved 2022-06-28.
- ↑ 3.0 3.1 "Ovarian Germ Cell Tumors Treatment (PDQ®)–Patient Version - NCI". www.cancer.gov. 23 May 2022. Archived from the original on 11 January 2022. Retrieved 1 July 2022.
- ↑ "Dysgerminoma". www.cancer.gov. National Cancer Institute. 2 February 2011. Archived from the original on 23 February 2022. Retrieved 30 June 2022.
- ↑ "dysgerminoma" at Dorland's Medical Dictionary
- ↑ Maoz A, Matsuo K, Ciccone MA, Matsuzaki S, Klar M, Roman LD, et al. (May 2020). "Molecular Pathways and Targeted Therapies for Malignant Ovarian Germ Cell Tumors and Sex Cord-Stromal Tumors: A Contemporary Review". Cancers. 12 (6): 1398. doi:10.3390/cancers12061398. PMC 7353025. PMID 32485873.
External links
| Classification |
|---|
