Deoxycholic acid
| Skeletal formula of deoxycholic acid | |
| |
| |
| Names | |
|---|---|
| IUPAC name
(3α,5β,12α,20R)-3,12-Dihydroxycholan-24-oic acid
| |
| Preferred IUPAC name
(4R)-4-[(1R,3aS,3bR,5aR,7R,9aS,9bS,11S,11aR)-7,11-Dihydroxy-9a,11a-dimethylhexadecahydro-1H-cyclopenta[a]phenanthren-1-yl]pentanoic acid | |
| Other names
Deoxycholate
| |
| Identifiers | |
CAS Number
|
|
3D model (JSmol)
|
|
| 3DMet | |
| ChEBI | |
| ChEMBL | |
| ChemSpider | |
| DrugBank | |
| KEGG | |
PubChem CID
|
|
| UNII | |
InChI
| |
SMILES
| |
| Properties | |
Chemical formula
|
C24H40O4 |
| Molar mass | 392.580 g·mol−1 |
| Melting point | 174–176 °C (345–349 °F; 447–449 K) |
Solubility in water
|
0.024%[1] |
| Acidity (pKa) | 6.58[2] |
Magnetic susceptibility (χ)
|
-272.0·10−6 cm3/mol |
| Pharmacology | |
| D11AX24 (WHO) | |
| |
| Legal status | |
Except where otherwise noted, data are given for materials in their standard state (at 25 °C [77 °F], 100 kPa). | |
| Infobox references | |
| Names | |
|---|---|
| Trade names | Kybella, Belkyra |
| External links | |
| AHFS/Drugs.com | Monograph |
| Legal | |
| License data | |
| Identifiers | |
| PDB ligand | |
Deoxycholic acid, also known as cholanoic acid, and sold under the brand name Kybella among others, is a bile acid. Deoxycholic acid is one of the secondary bile acids, which are metabolic byproducts of intestinal bacteria. The two primary bile acids secreted by the liver are cholic acid and chenodeoxycholic acid. Bacteria metabolize chenodeoxycholic acid into the secondary bile acid lithocholic acid, and they metabolize cholic acid into deoxycholic acid. There are additional secondary bile acids, such as ursodeoxycholic acid. Deoxycholic acid is soluble in alcohol and acetic acid. When pure, it comes in a white to off-white crystalline powder form.
Deoxycholic acid is available as a generic medication in the United States as of April 2021.[7]
Applications
Deoxycholic acid has been used since its discovery in various fields of human medicine. In the human body deoxycholic acid is used in the emulsification of fats for absorption in the intestine. It has, in some countries (including Switzerland) been licensed as an emulsifier in food industry,[8] but it is no longer common. Outside the body it is used in experimental basis of cholagogues and is also in use to prevent and dissolve gallstones.
In research deoxycholic acid is used as a mild detergent for the isolation of membrane associated proteins. The critical micelle concentration for deoxycholic acid is approximately 2.4–4 mM.[9]
Sodium deoxycholate, the sodium salt of deoxycholic acid, is often used as a biological detergent to lyse cells and solubilise cellular and membrane components.[10] Sodium deoxycholate mixed with phosphatidylcholine, is used in mesotherapy injections to produce lipolysis, and has been used as an alternative to surgical excision in the treatment of lipomas.[11]
Deoxycholates and bile acid derivatives in general are actively being studied as structures for incorporation in nanotechnology.[12] They also have found application in microlithography as photoresistant components.[13]
In the United States, deoxycholic acid, under the brand name Kybella, is approved by the Food and Drug Administration for reducing moderate-to-severe fat below the chin.[5][14] When injected into submental fat, deoxycholic acid helps destroy fat cells.[14] Kybella is produced by Kythera Biopharmaceuticals.[15][16]
Research in immunology
Its function as a detergent and isolating agent for membrane proteins also suits it for production of outer membrane protein (OMP) vaccines such as MenB, a Norwegian vaccine developed in the early 1990s.[17] The MeNZB vaccine was produced using the same method.[18]
Deoxycholic acid binds and activates the membrane enzyme NAPE-PLD, which catalyzes the release of the endogenous cannabinoid anandamide and other N-acylethanolamines. These bioactive signaling molecules play important roles in several physiological pathways including stress and pain response, appetite, and lifespan.[19]
Some publications point towards the effect of deoxycholic acid as an immunostimulant[20][21] of the innate immune system, activating its main actors, the macrophages. According to these publications, a sufficient amount of deoxycholic acid in the human body would correspond with a good immune reaction of the non-specific immune system. Clinical studies conducted in the 1970s and 1980s confirm the expectation that deoxycholic acid is involved in the natural healing processes of local inflammations,[22][23] different types of herpes,[24][25] and possibly cancer.[26][27]
Research in cancer
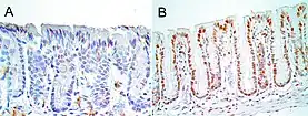
Deoxycholate and other secondary bile acids cause DNA damage.[28] Secondary bile acids increase intracellular production of reactive oxygen and reactive nitrogen species resulting in increased oxidative stress and DNA damage.[29][30] As shown in the figure in this section, deoxycholate added to the diet of mice increased the level of 8-oxo-dG, an oxidative DNA damage, in the colonic epithelium of mice. When the level of deoxycholate-induced DNA damage is high, DNA repair enzymes that ordinarily reverse DNA damage may not be able to keep up.
DNA damage has frequently been proposed as a major cause of cancer.[31][32] DNA damage can give rise to cancer by causing mutations.
When deoxycholate was added to the food of mice so that their feces contained deoxycholate at about the same level present in feces of human on a high fat diet, 45% to 56% of the mice developed colon cancer over the next 10 months, while none of the mice on a diet without deoxycholate developed cancer.[33][34] Thus, exposure of the colon to deoxycholate may cause cancer in mice. However, this same study reported that, when chlorogenic acid was added to the diet alongside deoxycholate, only 18% of the mice developed colon cancer. Chlorogenic acid is a component of common foods and beverages; coffee contains an average of 53.8 mg chlorogenic acid per 100 ml.[35] Therefore, to consume the level of chlorogenic acid used in the study, a human on a "standard" 2000-calorie daily diet (416 g/d; 250g carbs, 100g protein, 66g fat) would need to consume roughly 55 mL of coffee each day, or just under 2 fluid ounces.
In humans, higher levels of colonic deoxycholate are associated with higher frequencies of colon cancer. As an example, the fecal deoxycholate concentrations in African Americans (who eat a relatively high fat diet) is more than five times higher than fecal deoxycholate of Native Africans in South Africa (who eat a low fat diet).[36] Male African Americans have a high incidence of colon cancer of 72 per 100,000,[37] while Native Africans in South Africa have a low incidence rate of colon cancer of less than 1 per 100,000,[38] a more than 72-fold difference in rates of colon cancer.
Factors affecting deoxycholate levels
A number of factors, including diet, obesity, and exercise, affect the level of deoxycholate in the human colon. When humans were switched from their usual diet to a meat, egg and cheese based diet for five days, deoxycholate in their feces increased by factors of 2 to 10 fold.[39] Rats fed diets with 30% beef tallow (high fat) had almost 2-fold more deoxycholate in their feces than rats fed 5% beef tallow (low fat).[40] In the same study, adding the further dietary elements of curcumin or caffeic acid to the rats' high fat (30% beef tallow) diet reduced the deoxycholate in their feces to levels comparable to levels seen in the rats on a low fat diet. Curcumin is a component of the spice turmeric, and caffeic acid is a component high in some fruits and spices.[41] Caffeic acid is also a digestive break-down product of chlorogenic acid, high in coffee and some fruits and vegetables.[42]
_and_with_tumorigenesis_(B)._Brown_shows_8-oxo-dG.jpg)
In addition to fats, the type or amount of protein in the diet may also affect bile acid levels. Switching from a diet with protein provided by casein to a diet with protein provided by salmon protein hydrolysate led to as much as a 6-fold increase in levels of bile acids in the blood plasma of rats.[43] In humans, adding high protein to a high fat diet raised the level of deoxycholate in the plasma by almost 50%.[44]
Obesity has been linked to cancer,[45] and this link is in part through deoxycholate.[46][47][48] In obese people, the relative proportion of Firmicutes (Gram-positive bacteria) in gut microbiota is increased resulting in greater conversion of the non-genotoxic primary bile acid, cholic acid, to carcinogenic deoxycholate.[46]
Exercise decreases deoxycholate in the colon. Humans whose level of physical activity placed them in the top third had a 17% decrease in fecal bile acid concentration compared to those whose level of physical activity placed them in the lowest third.[49] Rats provided with an exercise wheel had a lower ratio of secondary bile acids to primary bile acids than sedentary rats in their feces.[50] There is a positive association of exercise and physical activity with cancer prevention, tolerance to cancer-directed therapies (radiation and chemotherapy), reduction in recurrence, and improvement in survival.[51]
References
- ↑ "Deoxycholic acid" (PDF). Sigma Aldrich. Archived from the original (PDF) on 2020-06-06. Retrieved 2021-07-15.
- ↑ Lide DR (1998). Handbook of Chemistry and Physics (87 ed.). Boca Raton, FL: CRC Press. p. 1287. ISBN 978-0-8493-0594-8.
- ↑ 3.0 3.1 "Belkyra (deoxycholic acid solution for injection) Product Information" (PDF). TGA. Archived from the original on 25 June 2021. Retrieved 23 June 2021.
- ↑ https://www.ebs.tga.gov.au/servlet/xmlmillr6?dbid=ebs/PublicHTML/pdfStore.nsf&docid=6CC2E7A2D27AA7C5CA2585D80042A1CC&agid=(PrintDetailsPublic)&actionid=1
- ↑ 5.0 5.1 "Kybella- deoxycholic acid injection, solution". DailyMed. Archived from the original on 24 June 2021. Retrieved 20 June 2021.
- ↑ "Active substance: deoxycholic acid" (PDF). European Medicines Agency (EMA). 10 December 2020. Archived (PDF) from the original on 28 August 2021. Retrieved 15 July 2021.
- ↑ "Deoxycholic acid: FDA-Approved Drugs". U.S. Food and Drug Administration (FDA). Archived from the original on 24 June 2021. Retrieved 19 June 2021.
- ↑ Streuli H, et al. (1992). "Chapter 58". SLMB – Schweizer Lebensmittelbuch. 4 (3).
- ↑ Neugebauer JM (1990). "Detergents: an overview". Methods in Enzymology. 182: 239–53. doi:10.1016/0076-6879(90)82020-3. PMID 2314239.
- ↑ "Sodium deoxycholate". nzp.co.nz. Archived from the original on 7 February 2012.
- ↑ Duncan D, Rotunda AM (July 2011). "Injectable therapies for localized fat loss: state of the art". Clinics in Plastic Surgery. 38 (3): 489–501, vii. doi:10.1016/j.cps.2011.02.005. PMID 21824545.
- ↑ Christensen JB (2001). "A Simple Method for Synthesis of Active Esters of Isonicotinic and Picolinic Acids". Molecules. 6 (12): 47–51. CiteSeerX 10.1.1.362.1034. doi:10.3390/60100047.
- ↑ Kim JB, Lee BW, Yun HJ, Kwon YG (2000). "193-nm Photoresists Based on Norbornene Copolymers with Derivatives of Bile Acid". Chemistry Letters. 29 (4): 414–15. doi:10.1246/cl.2000.414.
- ↑ 14.0 14.1 "FDA approves treatment for fat below the chin". Food and Drug Administration. April 29, 2015. Archived from the original on May 1, 2015. Retrieved July 15, 2021.
- ↑ "ATX-101 – Kythera Biopharmaceuticals". Kythera.com. 2014-06-20. Archived from the original on 2016-10-31. Retrieved 2016-11-02.
- ↑ Christensen J (2015-05-01). "Double chin begone: It's an FDA yes for fat buster". CNN. Archived from the original on 2016-10-31. Retrieved 2016-11-02.
- ↑ Fredriksen JH, Rosenqvist E, Wedege E, Bryn K, Bjune G, Frøholm LO, et al. (December 1991). "Production, characterization and control of MenB-vaccine "Folkehelsa": an outer membrane vesicle vaccine against group B meningococcal disease". NIPH Annals. 14 (2): 67–79, discussion 79–80. PMID 1812438.
- ↑ "MeNZB – Use science not opinion!". scoop.co.nz. 10 June 2005. Archived from the original on 27 April 2021. Retrieved 15 July 2021.
- ↑ Magotti P, Bauer I, Igarashi M, Babagoli M, Marotta R, Piomelli D, Garau G (March 2015). "Structure of human N-acylphosphatidylethanolamine-hydrolyzing phospholipase D: regulation of fatty acid ethanolamide biosynthesis by bile acids". Structure. 23 (3): 598–604. doi:10.1016/j.str.2014.12.018. PMC 4351732. PMID 25684574.
- ↑ Vlček B (1972). "Potentiation of the immune response with DCA". Prakt. Lekar (in Czech). 52: 326–30.
{{cite journal}}: CS1 maint: unrecognized language (link) - ↑ Chyle M., Chyle P.: Regulation of the immune response with DCA (Czech, engl. summary), Sbornik lek. 84, 212–18 (1982)
- ↑ Vlček B (1972). "Deoxycholic acid as a potential cancerostatic and antiviral factor". Advances in Antimicrobial and Antineoplastic Chemotherapy. II (1). München: Urban & Schwarzenberg: 145–47.
- ↑ Chyle M, Chyle P, Dolezal V (1988). Deoxycholic acid – Therapy of viral infections and a toxicological inquiry. 2nd Symp. on Prevention and Treatment of Viral Infections. Bechyne Castle: Institute f. Hygiene and Epidemiology, Prag. p. 56.
- ↑ Chýle M, Chýle P (October 1975). "[Deoxycholic acid in the therapy of herpes labialis (author's transl)]". Casopis Lekaru Ceskych (in Czech). 114 (40): 1226–9. PMID 1182754.
{{cite journal}}: CS1 maint: unrecognized language (link) - ↑ Bradna J, Poliklinik, Kutna Hora (1983). "Treatment of herpes zoster with deoxycholic acid". Rehabilitacia (in Czech). 16. Bratislava: 77–86.
{{cite journal}}: CS1 maint: unrecognized language (link) - ↑ Vlcek B, Reif A, Budský F (1970). "Toxicity of deoxycholate at pH below 7.3 as a potential cancerostatic property". Experientia. 26 (7): 776–8. doi:10.1007/BF02232545. PMID 5431154. S2CID 26829935.
- ↑ Vlcek B, Reif A, Seidlová B (May 1971). "Evidence of the participation of deoxycholate in cancer immunity". Zeitschrift für Naturforschung B. 26 (5): 419–24. doi:10.1515/znb-1971-0509. PMID 4398280.
- ↑ Bernstein H, Bernstein C, Payne CM, Dvorakova K, Garewal H (January 2005). "Bile acids as carcinogens in human gastrointestinal cancers". Mutation Research. 589 (1): 47–65. doi:10.1016/j.mrrev.2004.08.001. PMID 15652226.
- ↑ Tsuei J, Chau T, Mills D, Wan YJ (November 2014). "Bile acid dysregulation, gut dysbiosis, and gastrointestinal cancer". Experimental Biology and Medicine. 239 (11): 1489–504. doi:10.1177/1535370214538743. PMC 4357421. PMID 24951470.
- ↑ Ajouz H, Mukherji D, Shamseddine A (May 2014). "Secondary bile acids: an underrecognized cause of colon cancer". World Journal of Surgical Oncology. 12 (1): 164. doi:10.1186/1477-7819-12-164. PMC 4041630. PMID 24884764.
{{cite journal}}: CS1 maint: unflagged free DOI (link) - ↑ Ames BN (May 1979). "Identifying environmental chemicals causing mutations and cancer". Science. 204 (4393): 587–93. Bibcode:1979Sci...204..587A. doi:10.1126/science.373122. PMID 373122.
- ↑ Tudek B, Winczura A, Janik J, Siomek A, Foksinski M, Oliński R (May 2010). "Involvement of oxidatively damaged DNA and repair in cancer development and aging". American Journal of Translational Research. 2 (3): 254–84. PMC 2892402. PMID 20589166.
- ↑ 33.0 33.1 Prasad AR, Prasad S, Nguyen H, Facista A, Lewis C, Zaitlin B, et al. (July 2014). "Novel diet-related mouse model of colon cancer parallels human colon cancer". World Journal of Gastrointestinal Oncology. 6 (7): 225–43. doi:10.4251/wjgo.v6.i7.225. PMC 4092339. PMID 25024814.
{{cite journal}}: CS1 maint: unflagged free DOI (link) - ↑ Bernstein C, Holubec H, Bhattacharyya AK, Nguyen H, Payne CM, Zaitlin B, Bernstein H (August 2011). "Carcinogenicity of deoxycholate, a secondary bile acid". Archives of Toxicology. 85 (8): 863–71. doi:10.1007/s00204-011-0648-7. PMC 3149672. PMID 21267546.
- ↑ Jeon JS, Kim HT, Jeong IH, Hong SR, Oh MS, Yoon MH, Shim JH, Jeong JH, Abd El-Aty AM (May 2019). "Contents of chlorogenic acids and caffeine in various coffee-related products". Journal of Advanced Research. 17: 85–94. doi:10.1016/j.jare.2019.01.002. PMC 6526205. PMID 31193351.
- ↑ Ou J, DeLany JP, Zhang M, Sharma S, O'Keefe SJ (2012). "Association between low colonic short-chain fatty acids and high bile acids in high colon cancer risk populations". Nutrition and Cancer. 64 (1): 34–40. doi:10.1080/01635581.2012.630164. PMC 6844083. PMID 22136517.
- ↑ "Cancer Facts and Figures". American Cancer Society. 2009. Archived from the original on 2012-09-13. Retrieved 2021-07-15.
- ↑ O'Keefe SJ, Kidd M, Espitalier-Noel G, Owira P (May 1999). "Rarity of colon cancer in Africans is associated with low animal product consumption, not fiber". The American Journal of Gastroenterology. 94 (5): 1373–80. PMID 10235221.
- ↑ David LA, Maurice CF, Carmody RN, Gootenberg DB, Button JE, Wolfe BE, et al. (January 2014). "Diet rapidly and reproducibly alters the human gut microbiome". Nature. 505 (7484): 559–63. Bibcode:2014Natur.505..559D. doi:10.1038/nature12820. PMC 3957428. PMID 24336217.
- ↑ Han Y, Haraguchi T, Iwanaga S, Tomotake H, Okazaki Y, Mineo S, et al. (September 2009). "Consumption of some polyphenols reduces fecal deoxycholic acid and lithocholic acid, the secondary bile acids of risk factors of colon cancer". Journal of Agricultural and Food Chemistry. 57 (18): 8587–90. doi:10.1021/jf900393k. PMID 19711910.
- ↑ "Phenol-Explorer: Showing all foods in which the polyphenol Caffeic acid is found". Phenol-explorer.eu. Archived from the original on 2017-10-19. Retrieved 2016-11-02.
- ↑ Clifford M (1999). "Chlorogenic acids and other cinnamates – nature, occurrence and dietary burden". J. Sci. Food Agric. 79 (3): 362–72. doi:10.1002/(sici)1097-0010(19990301)79:3<362::aid-jsfa256>3.0.co;2-d.
- ↑ Liaset B, Hao Q, Jørgensen H, Hallenborg P, Du ZY, Ma T, et al. (August 2011). "Nutritional regulation of bile acid metabolism is associated with improved pathological characteristics of the metabolic syndrome". The Journal of Biological Chemistry. 286 (32): 28382–95. doi:10.1074/jbc.M111.234732. PMC 3151081. PMID 21680746.
{{cite journal}}: CS1 maint: unflagged free DOI (link) - ↑ Bortolotti M, Kreis R, Debard C, Cariou B, Faeh D, Chetiveaux M, et al. (October 2009). "High protein intake reduces intrahepatocellular lipid deposition in humans". The American Journal of Clinical Nutrition. 90 (4): 1002–10. doi:10.3945/ajcn.2008.27296. PMID 19710199.
- ↑ Ungefroren H, Gieseler F, Fliedner S, Lehnert H (January 2015). "Obesity and cancer". Hormone Molecular Biology and Clinical Investigation. 21 (1): 5–15. doi:10.1515/hmbci-2014-0046. PMID 25719336. S2CID 207452705.
- ↑ 46.0 46.1 Bradlow HL (January 2014). "Obesity and the gut microbiome: pathophysiological aspects". Hormone Molecular Biology and Clinical Investigation. 17 (1): 53–61. doi:10.1515/hmbci-2013-0063. PMID 25372730. S2CID 22924768.
- ↑ Devkota S, Turnbaugh PJ (July 2013). "Cancer: An acidic link". Nature. 499 (7456): 37–8. Bibcode:2013Natur.499...37D. doi:10.1038/nature12404. PMID 23803768. S2CID 12714870.
- ↑ Ohtani N, Yoshimoto S, Hara E (April 2014). "Obesity and cancer: a gut microbial connection". Cancer Research. 74 (7): 1885–9. doi:10.1158/0008-5472.CAN-13-3501. PMID 24638983.
- ↑ Wertheim BC, Martínez ME, Ashbeck EL, Roe DJ, Jacobs ET, Alberts DS, Thompson PA (May 2009). "Physical activity as a determinant of fecal bile acid levels". Cancer Epidemiology, Biomarkers & Prevention. 18 (5): 1591–8. doi:10.1158/1055-9965.EPI-08-1187. PMC 2743306. PMID 19383885.
- ↑ Hagio M, Matsumoto M, Yajima T, Hara H, Ishizuka S (September 2010). "Voluntary wheel running exercise and dietary lactose concomitantly reduce proportion of secondary bile acids in rat feces". Journal of Applied Physiology. 109 (3): 663–8. doi:10.1152/japplphysiol.00777.2009. PMID 20616226. S2CID 7982611.
- ↑ Jeon JY, Meyerhardt JA (June 2013). "Exercise after cancer diagnosis: time to get moving". Oncology. 27 (6): 585–6, 588. PMID 23909074.
External links
- "Deoxycholic acid". Drug Information Portal. U.S. National Library of Medicine.

