Collagenous spherulosis
| Collagenous spherulosis | |
|---|---|
| Other names: Mucinous spherulosis, spherulosis | |
![]() | |
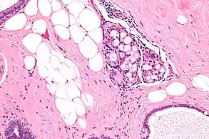
| Micrograph of collagenous spherulosis with the characteristic histomorphology - intratubular eosinophilic material with a spoke-like arrangement. H&E stain. | |
| Specialty | Pathology |
Collagenous spherulosis, or simple spherulosis, is a benign finding in breast pathology. It is almost always an incidental finding, though it is occasionally associated with calcifications, which may lead to a biopsy.
It is important to correctly identify, as it can be confused with atypical ductal hyperplasia, cribriform ductal carcinoma in situ (DCIS), and adenoid cystic carcinoma.[1]
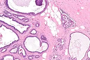
Collagenous spherulosis is characterized by a tubular/cribriform architecture with intratubular eosinophilic material that classically is arranged like the spokes of a wheel ("radial spikes"). There is usually no mitotic activity, and two cells populations (epithelial & myoepithelial) are present, like in benign breast glands.
The lesions are typically small (less than 50 spherules per lesion, less than 100 micrometers in size) and may be multifocal.
-
Cytological diagnosis of collagenous spherulosis of breast -
Intermed. mag. -
High mag.
See also
References
- ↑ Resetkova, E.; Albarracin, C.; Sneige, N. (Jan 2006). "Collagenous spherulosis of breast: morphologic study of 59 cases and review of the literature". Am J Surg Pathol. 30 (1): 20–7. doi:10.1097/01.pas.0000179237.91515.81. PMID 16330938. S2CID 1021118.
External links
- Histomorphologic criteria for collagenous spherulosis (Stanford School of Medicine) Archived 2022-05-20 at the Wayback Machine
