Chondrogenic tumors
| Chondrogenic tumor | |
|---|---|
| Other names: Cartilage tumors | |
![]() | |
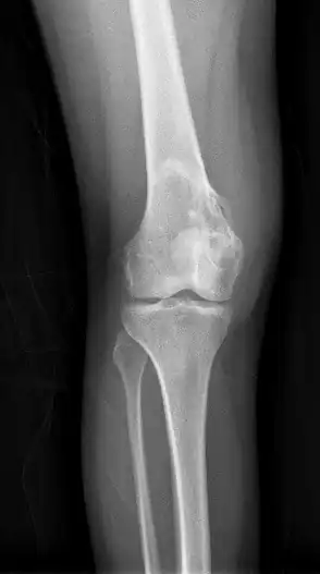
| Osteochondroma, a common type of non-cancerous chondrogenic tumors | |
| Specialty | Orthopedics |
| Types | Noncancerous (benign), cancerous (malignant) or intermediate locally aggressive[1] |
| Diagnostic method | Medical imaging[1] |
| Prognosis | Varies with type[1] |
| Frequency | Commonest type of primary bone tumor[1] |
Chondrogenic tumors, also known as cartilage tumors, are a type of bone tumor that develop in cartilage, and are classified into non-cancerous, cancerous and intermediate locally aggressive types.[1][2]
Diagnosis is made using medical imaging, often when investigating another problem.[3] Tests include X-ray, CT scan, Magnetic resonance imaging and Positron emission tomography.[1] The precise diagnosis is based on histology.[1]
They are the most common type of bone tumor that arises from bone itself.[1] The cancerous types represent around a quarter of all cancerous bone tumors, but are rare compared to other cancers.[1][3]
Classification
The 2020 World Health Organization (WHO) classification system divides chondrogenic tumors into non-cancerous, cancerous and intermediate locally aggressive types.[4][5]
| Type | Name | Image |
|---|---|---|
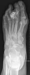
| Non-cancerous | Subungal exostosis[2] |
|
| Bizarre parosteal osteochondromatous proliferation[2] |
| |
| Periosteal chondroma[2] |
| |
| Enchondroma[2] |
| |
| Osteochondroma[2] |
| |
| Chondroblastoma[2] |
| |
| Chondromyxoid fibroma[2] |
| |
| Osteochondromyxoma[2] | ||
| Locally aggressive | Chondromatosis[2] |
|
| Atypical cartilaginous tumor (ACT)/Chondrosarcoma grade I in limbs[1][2] | ||
| Cancerous (Chondrosarcoma) | Conventional chondrosarcoma grade I (axial skeleton)-III[1][2] |
|
| Clear cell chondrosarcoma[2] | ||
| Mesenchymal chondrosarcoma[2] | ||
| Dedifferentiated chondrosarcoma[2] |
Diagnosis
Diagnosis includes medical imaging.[1] Distinguishing a large non-cancerous cartilage tumor, such as an enchondroma, from a chondrosarcoma grade I or atypical cartilaginous tumour is difficult.[6] Often, there are overlapping histological features.[7]
Treatment
Depending on whether the tumor is cancerous or non-cancerous, and where the tumor is located, management includes observation, scraping or surgically cutting the tumor out.[7]
Epidemiology
Chondrogenic tumors are the most common type of bone tumor that arise from bone itself.[1] Cancerous chondrogenic tumors represent around 25% of all cancerous bone tumors.[1] Osteochondroma and enchondroma are the most common non-cancerous types, and conventional chondrosarcoma is the most common cancerous type.[1]
Of all chondrogenic tumors, 28.5% are osteochondroma, 29.1% enchondroma, 21.7% conventional chondrosarcoma grade I-III, less than 5% are subungual exostosis and bizarre parosteal osteochondromatous proliferation combined, and the least common is mesenchymal chondrosarcoma at less than 1%, as reported by the WHO in 2020.[1]
See also
References
- ↑ 1.00 1.01 1.02 1.03 1.04 1.05 1.06 1.07 1.08 1.09 1.10 1.11 1.12 1.13 1.14 1.15 Engel, Hannes; Herget, Georg W.; Füllgraf, Hannah; Sutter, Reto; Benndorf, Matthias; Bamberg, Fabian; Jungmann, Pia M. (March 2021). "Chondrogenic Bone Tumors: The Importance of Imaging Characteristics". RoFo: Fortschritte Auf Dem Gebiete Der Rontgenstrahlen Und Der Nuklearmedizin. 193 (3): 262–275. doi:10.1055/a-1288-1209. ISSN 1438-9010. PMID 33152784. Archived from the original on 2021-07-09. Retrieved 2021-07-04.
- ↑ 2.00 2.01 2.02 2.03 2.04 2.05 2.06 2.07 2.08 2.09 2.10 2.11 2.12 2.13 2.14 Soft Tissue and Bone Tumours: WHO Classification of Tumours. International Agency for Research on Cancer. 2020. p. 338. ISBN 978-92-832-4502-5. Archived from the original on 2021-06-13. Retrieved 2021-07-04.
- ↑ 3.0 3.1 Bocklage, Therese J.; Quinn, Robert; Verschraegen, Claire; Schmit, Berndt (2014). "16. Cartilaginous tumours of bones and joints". Bone and Soft Tissue Tumors: A Multidisciplinary Review with Case Presentations. London: JP Medical Ltd. pp. 366–409. ISBN 978-1-907816-22-2. Archived from the original on 2021-07-09. Retrieved 2021-08-21.
- ↑ Choi, Joon Hyuk; Ro, Jae Y. (1 May 2021). "The 2020 WHO Classification of Tumors of Bone: An Updated Review". Advances in Anatomic Pathology. 28 (3): 119–138. doi:10.1097/PAP.0000000000000293. ISSN 1533-4031. PMID 33480599. Archived from the original on 23 May 2021. Retrieved 4 July 2021.
- ↑ Cleven, Arjen H. G.; Bovée, Judith V. M. G. (1 October 2020). "Clinicopathological features and differential diagnosis of chondrogenic tumours". Diagnostic Histopathology. 26 (10): 484–491. doi:10.1016/j.mpdhp.2020.07.006. ISSN 1756-2317. Archived from the original on 27 August 2021. Retrieved 6 July 2021.
- ↑ Ahlawat, Shivani; Fayad, Laura M. (10 August 2020). "Revisiting the WHO classification system of bone tumours: emphasis on advanced magnetic resonance imaging sequences. Part 2". Polish Journal of Radiology. 85: e409 – e419. doi:10.5114/pjr.2020.98686. ISSN 1733-134X. PMID 32999694. Archived from the original on 28 August 2021. Retrieved 7 July 2021.
- ↑ 7.0 7.1 Suster, David; Hung, Yin Pun; Nielsen, G. Petur (1 January 2020). "Differential Diagnosis of Cartilaginous Lesions of Bone". Archives of Pathology & Laboratory Medicine. 144 (1): 71–82. doi:10.5858/arpa.2019-0441-RA. ISSN 0003-9985. Archived from the original on 19 July 2021. Retrieved 17 July 2021.

.jpg)
.jpg)





.jpg)
.jpg)