Cerebral folate deficiency
| Cerebral folate deficiency | |
|---|---|
| Other names: Cerebral folate deficiency syndrome, neurodegeneration due to cerebral folate transport deficiency, cerebral folate transport deficiency, FOLR1 deficiency[1][2] | |
![]() | |
| 5-methyltetrahydrofolate is decreased in concentration in the human brain | |
| Causes | Genetic disorder,[2] autoantibodies |
| Diagnostic method | Lumbar puncture |
| Medication | Folinic acid |
| Frequency | FOLR1 mutation, <20 described cases[2] |
Cerebral folate deficiency is a condition in which concentrations of 5-methyltetrahydrofolate are low in the brain as measured in the cerebral spinal fluid despite being normal in the blood.[3] Symptoms typically appear at about 5 to 24 months of age.[3][2] Without treatment there may be poor muscle tone, trouble with coordination, trouble talking, and seizures.[3]
One cause of cerebral folate deficiency is a mutation in a gene responsible for folate transport, specifically FOLR1.[2][4] This is inherited from a person's parents in an autosomal recessive manner.[2] Other causes appear to be Kearns–Sayre syndrome[5] and autoantibodies to the folate receptor.[6][7][8]
For people with the FOLR1 mutation, even when the systemic deficiency is corrected by folate, the cerebral deficiency remains and must be treated with folinic acid. Success depends on early initiation of treatment and treatment for a long period of time.[9][3] Fewer than 20 people with the FOLR1 defect have been described in the medical literature.[2]
Signs and symptoms
Children with the FOLR1 mutation are born healthy. Symptoms typically appear at about 5 to 24 months of age. The symptoms get worse with time. Without treatment there may be poor muscle tone, trouble with coordination, trouble talking, and seizures.[2][3] In addition, signs of psychomotor retardation, sleep disturbances, cerebellar ataxia, and delayed development of head growth can occur. At around age three, visual disturbances can develop, and sensorineural hearing loss can occur at around age six.[10] In children with cerebral folate deficiency, the cerebrospinal fluid shows low levels of 5MTHF, and a loss of white matter in the brain (leukodystrophy) may occur. As a result of the decreased levels of 5MTHF, the child experiences low levels of Vitamin B folate.[11] There is inability for the 5MTHF to be transported across the blood-brain barrier, resulting in symptoms of seizures, delayed cognitive and motor processing, and autistic features. [12]
Causes
One cause of cerebral folate deficiency is due to a genetic mutation in the FOLR1 gene. It is inherited from a person's parents in an autosomal recessive manner.[2] The mutation of the FOLR1 gene causes an inability to produce the FRA protein. [11] More commonly, CFD involves the malfunction and disruption of the folate receptor alpha (FRA). One way the FRA can be disrupted is by the attachment of the autoantibodies, causing dysfunction in the receptor. Also, a mitochondrial disease can impact the functioning of the folate receptor alpha. In order for the receptor to function properly, energy from the mitochondria is required. Folate must be actively transported into the brain, so ATP from the mitochondria is essential. If the individual has a mitochondrial disease, the FRA could be lacking adequate energy, resulting in the deficiency of folate in the brain. [11]
Other causes appear to be Kearns–Sayre syndrome[5] and autoantibodies to the folate receptor.[6][7][8] Furthermore, secondary cerebral folate deficiency can develop in patients suffering from other conditions. For example, it can develop in AADC deficiency through the depletion of methyl donors, such as SAM and 5-MTHF, by O-methylation of the excessive amounts of L-dopa present in patients.[13][14]

Diagnosis
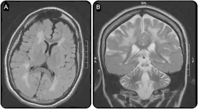
The diagnosis of this condition, Cerebral folate deficiency is done via the following manner:[11]
- Neurological exam
- MRI ( brain )
- Cerebrospinal fluid test (spinal tap),
- Electroencephalography (EEG)
- Hearing exam
- Ophthalmological exam
- Genetic test
-
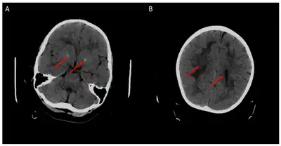
a)Extensive white matter disease b) atrophy of frontal hemispheres and cerebellum -
Cerebral CT-scan at 4 years old. Red arrows show brain calcifications (A) and diffuse white matter abnormalities (B). From Mafi et al., 2020[15]
Treatment
For people with the FOLR1 mutation, even when the systemic deficiency is corrected by folate, the cerebral deficiency remains, and must be treated with folinic acid. Folinic acid is a metabolically active form of folate that can be easily introduced into the folate cycle. A typical dose that is administered to children is 0.5-1 mg/kg daily, but the dose can be increased depending on the severity of symptoms and the age of the child. Over time, the treatment with folinic acid has shown to reduce a variety of symptoms of CFD. The treatment of folinic acid can lead to improvements in walking, speech, interpersonal skills and reduction in seizures.[16] Success depends on early initiation of treatment.[9] Starting the folinic acid treatment before the age of six is more advantageous for the child with CFD. If the treatment is started after the age of six, its results are not as effective.[16] Treatment requires taking folinic acid for a significant period of time.[3] Fewer than 20 people with the FOLR1 defect have been described in the medical literature.[2] Treatment with pharmacologic doses of folinic acid has also led to reversal of some symptoms in children diagnosed with cerebral folate deficiency and testing positive for autoantibodies to folate receptor alpha.[17]
See also
- Hereditary folate malabsorption
- 5,10-methenyltetrahydrofolate synthetase deficiency - microcephaly, short stature, developmental delay, hypomyelination
- Folate deficiency
References
- ↑ "Cerebral folate deficiency". rarediseases.info.nih.gov. Archived from the original on 8 January 2019. Retrieved 7 January 2019.
- ↑ 2.00 2.01 2.02 2.03 2.04 2.05 2.06 2.07 2.08 2.09 "Cerebral folate transport deficiency". Genetics Home Reference. Archived from the original on 13 April 2019. Retrieved 7 January 2019.
- ↑ 3.0 3.1 3.2 3.3 3.4 3.5 Gordon, N (2009). "Cerebral folate deficiency". Developmental Medicine and Child Neurology. 51 (3): 180–182. doi:10.1111/j.1469-8749.2008.03185.x. PMID 19260931.
- ↑ Serrano M, Pérez-Dueñas B, Montoya J, Ormazabal A, Artuch R (2012). "Genetic causes of cerebral folate deficiency: clinical, biochemical and therapeutic aspects". Drug Discovery Today. 17 (23–24): 1299–1306. doi:10.1016/j.drudis.2012.07.008. PMID 22835503.
- ↑ 5.0 5.1 Baumgartner, MR (2013). Vitamin-responsive disorders: cobalamin, folate, biotin, vitamins B1 and E. Vol. 113. pp. 1799–1810. doi:10.1016/B978-0-444-59565-2.00049-6. ISBN 9780444595652. PMID 23622402.
{{cite book}}:|journal=ignored (help) - ↑ 6.0 6.1 Hyland K, Shoffner J, Heales SJ (2010). "Cerebral folate deficiency". Journal of Inherited Metabolic Disease. 33 (5): 563–570. doi:10.1007/s10545-010-9159-6. PMID 20668945. S2CID 25555372.
- ↑ 7.0 7.1 Agadi S, Quach MM, Haneef Z (2013). "Vitamin-responsive epileptic encephalopathies in children". Epilepsy Research and Treatment. 2013: 510529. doi:10.1155/2013/510529. PMC 3745849. PMID 23984056.
{{cite journal}}: CS1 maint: unflagged free DOI (link) - ↑ 8.0 8.1 Phillip L. Pearl, MD (4 October 2012). Inherited Metabolic Epilepsies. Demos Medical Publishing. pp. 3–. ISBN 978-1-61705-056-5. Archived from the original on 27 January 2020. Retrieved 10 January 2022.
- ↑ 9.0 9.1 Zhao R, Aluri S, Goldman ID (2017). "The proton-coupled folate transporter (PCFT-SLC46A1) and the syndrome of systemic and cerebral folate deficiency of infancy: Hereditary folate malabsorption". Molecular Aspects of Medicine. 53: 57–72. doi:10.1016/j.mam.2016.09.002. PMC 5253092. PMID 27664775.
- ↑ Gordon, Neil (2009). "Cerebral folate deficiency". Developmental Medicine & Child Neurology. 51 (3): 180–182. doi:10.1111/j.1469-8749.2008.03185.x. ISSN 1469-8749. Archived from the original on 2023-12-18. Retrieved 2022-01-10.
- ↑ 11.0 11.1 11.2 11.3 "Cerebral Folate Deficiency". NORD (National Organization for Rare Disorders). Archived from the original on 2021-01-18. Retrieved 2021-04-06.
- ↑ McFarland, Robert (2012-07-01). "Cerebral folate deficiency—mishaps and misdirection". Brain. 135 (7): 2002–2003. doi:10.1093/brain/aws166. ISSN 0006-8950. Archived from the original on 2022-02-10. Retrieved 2022-01-10.
- ↑ Wassenberg, et al. (2017). "Consensus guideline for the diagnosis and treatment of aromatic l-amino acid decarboxylase (AADC) deficiency". Orphanet J Rare Dis. 12 (1): 12. doi:10.1186/s13023-016-0522-z. PMC 5241937. PMID 28100251.
{{cite journal}}: CS1 maint: unflagged free DOI (link) - ↑ Pope S, Artuch R, Heales S, Rahman S (July 2019). "Cerebral folate deficiency: Analytical tests and differential diagnosis" (PDF). Journal of Inherited Metabolic Disease. 42 (4): 655–672. doi:10.1002/jimd.12092. PMID 30916789. S2CID 85533164. Archived (PDF) from the original on 2020-06-28. Retrieved 2022-01-10.
- ↑ 15.0 15.1 Mafi S, Laroche-Raynaud C, Chazelas P, Lia AS, Derouault P, Sturtz F, Baaj Y, Froget R, Rio M, Benoist JF, Poumeaud F, Favreau F, Faye PA (October 2020). "Pharmacoresistant Epilepsy in Childhood: Think of the Cerebral Folate Deficiency, a Treatable Disease". Brain Sciences. 10 (11). doi:10.3390/brainsci10110762. PMC 7690394. PMID 33105619.
- ↑ 16.0 16.1 Hyland, Keith; Shoffner, John; Heales, Simon J. (2010). "Cerebral folate deficiency". Journal of Inherited Metabolic Disease. 33 (5): 563–570. doi:10.1007/s10545-010-9159-6. ISSN 1573-2665.
- ↑ Desai A, Sequeira JM, Quadros EV (2016). "The metabolic basis for developmental disorders due to defective folate transport". Biochimie. 126: 31–42. doi:10.1016/j.biochi.2016.02.012. PMID 26924398.
External links
- Cerebral Folate Deficiency Archived 2021-01-18 at the Wayback Machine - description (2019) on the website of the National Organization for Rare Disorders (NORD).
