Balanitis plasmacellularis

Balanitis plasmacellularis
Other names: Balanoposthitis chronica circumscripta plasmacellularis, Balanitis circumscripta plasmacellularis,[1] Plasma cell balanitis, Plasma cell vulvitis, Vulvitis circumscripta plasmacellularis, Zoon's balanitis, Zoon's erythroplasia, Zoon's vulvitis
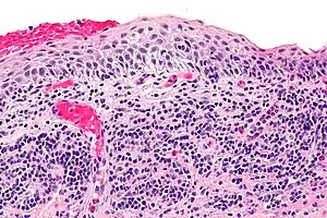
Micrograph of plasmacytosis mucosae. H&E stain.
SpecialtyDermatology

Balanitis plasmacellularis is a skin condition characterized by a benign inflammatory skin lesion characterized histologically by a plasma cell infiltrate.[1][2]: 657 [3]

A similar condition has been described in women (i.e. "Zoon's vulvitis"),[4] although its existence is controversial due to the possibility of diagnostic error in many of the cases that have been reported in the medical literature.[3]

It is named for J.J. Zoon, who characterized it in 1952.[5]

See also

References

  1. 1.0 1.1 Lepe, Kenia; Salazar, Francisco J. (27 August 2021). "Balanitis Circumscripta Plasmacellularis". StatPearls. StatPearls Publishing. Archived from the original on 23 September 2021. Retrieved 18 April 2022.
  2. James, William D.; Berger, Timothy G.; et al. (2006). Andrews' Diseases of the Skin: clinical Dermatology. Saunders Elsevier. ISBN 0-7216-2921-0.
  3. 3.0 3.1 Rapini, Ronald P.; Bolognia, Jean L.; Jorizzo, Joseph L. (2007). Dermatology: 2-Volume Set. St. Louis: Mosby. pp. Chapter 72. ISBN 978-1-4160-2999-1.
  4. Neri I, Patrizi A, Marzaduri S, Marini R, Negosanti M (October 1995). "Vulvitis plasmacellularis: two new cases". Genitourin Med. 71 (5): 311–3. doi:10.1136/sti.71.5.311. PMC 1195548. PMID 7490049.
  5. Zoon JJ (1952). "[Chronic benign circumscript plasmocytic balanoposthitis.]". Dermatologica. 105 (1): 1–7. doi:10.1159/000256880. PMID 12979576.

External links

External resources


Template:Epidermal-growth-stub