Aortic rupture

Aortic rupture
Other names: Aortic transection
Segments of the aorta, with the thoracic aorta in green.
SpecialtyVascular surgery, cardiac surgery
SymptomsAbdominal pain, chest pain, back pain, shortness of breath, trouble swallowing[1][2]
Usual onsetSudden[2]
CausesAortic aneurysm, major trauma[1]
TreatmentSurgery[1]
PrognosisPoor[1]
Deaths80 to 90% of cases[3][2]

Aortic rupture is break through the entire wall of the aorta, the largest artery in the body.[4] Symptoms may include sudden and severe abdominal pain, chest pain, or back pain.[1][2] Other symptoms may include lightheadedness, shortness of breath, or trouble swallowing.[1][5]

Causes include trauma (either blunt or penetrating) or a complication of an aortic aneurysm (either abdominal or thoracic).[1] Diagnosis is by medical imaging, typically CT scan.[1] It is distinct from aortic dissection, which is a tear through only the inner wall of the aorta.[6]

Prevention includes the repair of aneurysms before rupture occurs.[7] Once rupture has occurred, for a chance of survival, immediate surgery is required.[1] Most (85%) die immediately, while of those who survive to hospital, about 30% subsequently die despite treatment.[1][3]

Aortic rupture is relatively common.[3] It contributes to up to 20% of deaths due to motor vehicle collisions.[1] Early descriptions date back to 1557 by Andreas Vesalius.[3]

Signs and symptoms

Symptoms

  • Tearing pain, located in the abdomen, flank, groin, or back
  • Loss of consciousness

Signs

Causes

The most common cause of aortic rupture is a ruptured aortic aneurysm. Other causes include trauma and procedure-related causes.

Mechanism

The wall of the aorta is an elastic structure which requires integrity. Rupture results from either loss of wall strength to the point at which systemic pressure is greater than wall strength, or external destruction of the wall of the aorta, by a tumor or traumatic means. The bleeding can be retroperitoneal or intraperitoneal, or the rupture can create an aortocaval (between the aorta and inferior vena cava) or aortoenteric (between the aorta and intestine) fistula.

Diagnosis

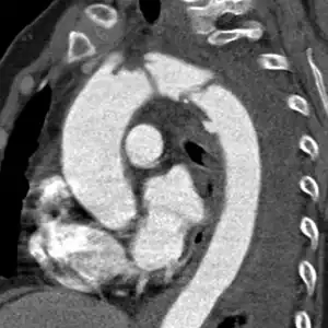
CT scan showing an extraluminal hematoma of the distal aortic arch containing an aortic rupture

The condition is often suspected in patients close to death with abdominal trauma or with relevant risk-factors. Diagnosis may be confirmed by ultrasound or CT scan.

Prevention

Prevention of aortic rupture begins with screening for disease of the aorta. If indicated, treatment with EVAR or open repair of the diseased aorta can limit the risk of aortic rupture.

Treatment

Aortic ruptures can be repaired surgically via open aortic surgery or using endovascular therapy (EVAR), regardless of cause, just as non-ruptured aortic aneurysms are repaired. An aortic occlusion balloon can be placed to stabilize the patient and prevent further blood loss prior to the induction of anesthesia.

Prognosis

An aortic rupture is a medical emergency which people rarely survive. Mortality from aortic rupture is up to 90%; 65–75% die before they arrive at hospital and up to 90% die before they reach the operating room.[8]

References

  1. 1.00 1.01 1.02 1.03 1.04 1.05 1.06 1.07 1.08 1.09 1.10 Lotfollahzadeh, S; Seligson, MT; Marx, WH (January 2023). "Aortic Rupture". Statpearls. PMID 29083613.
  2. 2.0 2.1 2.2 2.3 "Abdominal aortic aneurysm". www.nhsinform.scot. Archived from the original on 6 June 2023. Retrieved 12 June 2023.
  3. 3.0 3.1 3.2 3.3 O'Conor, CE (July 2004). "Diagnosing traumatic rupture of the thoracic aorta in the emergency department". Emergency medicine journal : EMJ. 21 (4): 414–9. PMID 15208221.
  4. "Aortic Dissection: Causes, Symptoms & Treatments". Cleveland Clinic. Archived from the original on 23 May 2023. Retrieved 12 June 2023.
  5. Jeanmonod, D; Yelamanchili, VS; Jeanmonod, R (January 2023). "Abdominal Aortic Aneurysm Rupture". StatPearls. PMID 29083705.
  6. "Ruptured Aortic Aneurysm Information Page. Causes". patient.info. 28 June 2020. Archived from the original on 8 March 2013. Retrieved 12 June 2023.
  7. "Aortic aneurysm, dissection and rupture". British Heart Foundation. Archived from the original on 8 June 2023. Retrieved 12 June 2023.
  8. Brown, LC; Powell, JT (September 1999). "Risk factors for aneurysm rupture in patients kept under ultrasound surveillance. UK Small Aneurysm Trial Participants". Annals of Surgery. 230 (3): 289–96, discussion 296-7. doi:10.1097/00000658-199909000-00002. PMC 1420874. PMID 10493476.