Antisynthetase syndrome
| Anti-synthetase syndrome | |
|---|---|
| Other names: Anti-Jo1 syndrome[1] | |
| Specialty | Immunology |
Anti-synthetase syndrome is an autoimmune disease associated with interstitial lung disease, dermatomyositis, and polymyositis.[2][3]
Signs and symptoms
As a syndrome, this condition is poorly defined. Diagnostic criteria require one or more antisynthetase antibodies (which target tRNA synthetase enzymes), and one or more of the following three clinical features: interstitial lung disease, inflammatory myopathy, and inflammatory polyarthritis affecting small joints symmetrically. Other supporting features may include fever, Raynaud's phenomenon and "mechanics hands"-thick, cracked skin usually on the palms and radial surfaces of the digits.[4][5]
The disease, rare as it is, is more prevalent in women than in men. Early diagnosis is difficult, and milder cases may not be detected. Also, interstitial lung disease may be the only manifestation of the disease. Severe disease may develop over time, with intermittent relapses.[6]
-
Antisynthetase syndrome -
Antisynthetase syndrome -
Antisynthetase syndrome
Pathogenesis
It is postulated that autoantibodies are formed against aminoacyl-tRNA synthetases. The synthethases may be involved in recruiting antigen-presenting and inflammatory cells to the site of muscle or lung injury. The specific molecular pathway of the process awaits elucidation.[6]
Antisynthetase antibodies
The most common antibody is "Anti-Jo-1" named after John P, a patient with polymyositis and interstitial lung disease detected in 1980.[7] This anti-histidyl tRNA Synthetase antibody is commonly seen in patients with pulmonary manifestations of the syndrome. The following are other possible antibodies that may be seen in association with antisynthetase syndrome: Anti-PL-7, Anti-PL-12, Anti-EJ, Anti-OJ, Anti-KS, Anti-Zo, Anti-Ha-YRS, and Anti-SRP.[8]
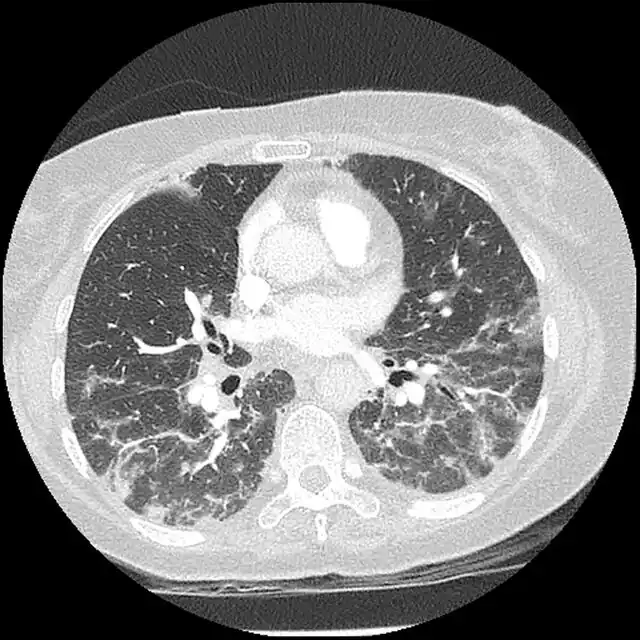
Diagnosis
.jpg)
In the presence of suspicious symptoms a number of test are helpful in the diagnosis:[6]
- Muscle enzymes are often elevated, i.e. creatine kinase
- Anti-Jo-1 antibody testing
- Electromyography
- Muscle biopsy
- Pulmonary function testing
- Lung biopsy
- Imaging such as High Resolution computed tomography [9]
In certain situations, testing of other antibodies, specific imaging (MRI, thoracic high resolution computed tomography), and swallowing evaluation may be needed.
Treatment
Unfortunately, treatment for the anti-synthetase syndrome is limited, and usually involves immunosuppressive drugs such as glucocorticoids. For patients with pulmonary involvement, the most serious complication of this syndrome is pulmonary fibrosis and subsequent pulmonary hypertension.
Additional treatment with azathioprine and/or methotrexate may be required in advanced cases.[6]
Prognosis
Prognosis is largely determined by the extent of pulmonary damage.
References
- ↑ "Antisynthetase syndrome". Orphanet. Archived from the original on 30 July 2017. Retrieved 20 March 2019.
- ↑ Bergoin, C.; Bure M; Tavernier JY; Lamblin C; Maurage CA; Remy-Jardin M; Wallaert B (June 2002). "The anti-synthetase syndrome". Revue des Maladies Respiratoires (in French). 19 (3): 371–374. PMID 12161705.
{{cite journal}}: CS1 maint: unrecognized language (link) - ↑ Hervier, B.; Wallaert, B.; Hachulla, E.; Adoue, D.; Lauque, D.; Audrain, M.; Camara, B.; Fournie, B.; Couret, B.; Hatron, P. Y.; Dubucquoi, S.; Hamidou, M. (2010). "Clinical manifestations of anti-synthetase syndrome positive for anti-alanyl-tRNA synthetase (anti-PL12) antibodies: a retrospective study of 17 cases". Rheumatology. 49 (5): 972–976. doi:10.1093/rheumatology/kep455. ISSN 1462-0324. PMID 20156976.
- ↑ A man with fevers, arthrhalgias, and pulmonary infiltrates, L Christopher-Stine et al. NEJM 367: 2134-2147.
- ↑ Chan, Airiss R.; Osman, Mohamed; Yacyshyn, Elaine; Gniadecki, Robert (9 May 2024). "Cutaneous manifestations of anti‐synthetase syndrome: Case series and literature review". JEADV Clinical Practice. doi:10.1002/jvc2.443. ISSN 2768-6566. Archived from the original on 14 June 2024. Retrieved 14 June 2024.
- ↑ 6.0 6.1 6.2 6.3 Chatterjee S, Prayson R, Fraver C (2013). "Antisynthetase syndrome:Not just an inflammatory myopathy". Cleveland Clinic Journal of Medicine. 80 (10): 655–666. doi:10.3949/ccjm.80a.12171. PMID 24085811. S2CID 32508284.
- ↑ Nishikai M, Reichlin M (1980). "Heterogeneity of precipitating antibodies in polymyositis and dermatomyositis". Arthritis Rheum. 23 (8): 881–888. doi:10.1002/art.1780230802. PMID 7406938.
- ↑ Lazarou IN, Guerne PA. Classification, diagnosis, and management of idiopathic inflammatory myopathies. J Rheumatol. 2013 May;40(5):550-64
- ↑ ANTISYNTHETASE SYNDROME AND ITS ASSOCIATION WITH INTERSTITIAL LUNG DISEASE-A CLINICAL AND RADIOLOGICAL REVIEW Naresh Kumar,Bhavya Basetti, Rajoo Ramachandran, Prabhu Radhan,Venkata Sai P.M. http://ijomcr.net/radiology/ Archived 2021-01-21 at the Wayback Machine Archived 2021-01-21 at the Wayback Machine
External links
| Classification |
|
|---|---|
| External resources |
|