Alcoholic cardiomyopathy
| Alcoholic cardiomyopathy | |
|---|---|
![]() | |
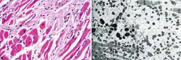
| Alcoholic cardiomyopathy a) Left ventricle from a person with chronic alcohol abuse b)demonstrating myofibrillar reduction and variable mitochondriae in size | |
Alcoholic cardiomyopathy is a disease in which the chronic long-term heavy use of alcohol (i.e., ethanol) leads to heart failure.[1] Alcoholic cardiomyopathy is a type of dilated cardiomyopathy typically found in people with alcohol use disorder. Due to the direct toxic effects of alcohol on heart muscle, the heart is unable to pump blood efficiently, leading to heart failure. It can affect other parts of the body if the heart failure is severe. It is most common in males between the ages of 35 and 50.
Signs and symptoms
Signs and symptoms presented by the occurrence of alcoholic cardiomyopathy are the result of the heart failing and usually occur after the disease has progressed to an advanced stage. Therefore, the symptoms have a lot in common with other forms of cardiomyopathy. These symptoms can include the following:[2]
- Ankle, feet, and leg swelling (edema)
- Overall swelling
- Loss of appetite
- Shortness of breath (dyspnea), especially with activity
- Breathing difficulty while lying down
- Fatigue, weakness, faintness
- Decreased alertness or concentration
- Cough containing mucus, or pink, frothy material
- Decreased urine output (oliguria)
- Need to urinate at night (nocturia)
- Heart palpitations (irregular heart beat)
- Rapid pulse (tachycardia)
Diagnosis
Abnormal heart sounds, murmurs, ECG abnormalities, and enlarged heart on chest x-ray may lead to the diagnosis. Echocardiogram abnormalities and cardiac catheterization or angiogram to rule out coronary artery blockages, along with a history of heavy alcohol use can confirm the diagnosis.
Treatment
Treatment for alcoholic cardiomyopathy involves lifestyle changes, including complete abstinence from alcohol use, a low sodium diet, and fluid restriction, as well as medications. Medications may include ACE inhibitors, beta blockers, and diuretics which are commonly used in other forms of cardiomyopathy to reduce the strain on the heart. Persons with congestive heart failure may be considered for surgical insertion of an ICD or a pacemaker which can improve heart function. In cases where the heart failure is irreversible and worsening, heart transplant may be considered.
Treatment will possibly prevent the heart from further deterioration, and the cardiomyopathy is largely reversible if complete abstinence from alcohol is maintained.
References
- ↑ Piano MR (May 2002). "Alcoholic cardiomyopathy: incidence, clinical characteristics, and pathophysiology". Chest. 121 (5): 1638–50. doi:10.1378/chest.121.5.1638. PMC 1923411. PMID 12006456.
- ↑ "List of Alcoholic Cardiomyopathy Medications". Archived from the original on 2012-06-30. Retrieved 2021-12-18. Archived 2012-06-30 at the Wayback Machine
External links
| Classification | |
|---|---|
| External resources |

